出っ歯を治したい、前歯が気になる【上下の部分矯正】
治療前

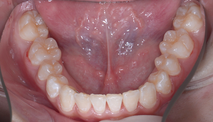
治療後

| 担当医 | |
|---|---|
| 主訴 | 前歯のガタツキが気になる 出っ歯を治したい |
| 期間 | 10ヶ月 |
| 費用 | 20万×2+tax (別途調整料) |
| 治療内容 | 上下顎ラビアル矯正(表側矯正) |
| 治療に伴うリスク | 後戻りの可能性がございます。 |


| 担当医 | |
|---|---|
| 主訴 | 前歯のガタツキが気になる 出っ歯を治したい |
| 期間 | 10ヶ月 |
| 費用 | 20万×2+tax (別途調整料) |
| 治療内容 | 上下顎ラビアル矯正(表側矯正) |
| 治療に伴うリスク | 後戻りの可能性がございます。 |
一般歯科・矯正歯科「 エムデンタルオフィス」は五反田駅から徒歩1分の歯科医院です。
なるべく削らない・やり直しのない精密治療・痛くない丁寧な治療を行なっています。
五反田で歯医者をお探しならお気軽にご相談ください。