- ⚫︎ デンタル
- ⚫︎ CT
- ⚫︎ レジン
- ⚫︎ ラバーダム
- ⚫︎ マイクロスコープ
- ⚫︎ マイクロオープナー
- ⚫︎ ハンドファイル
- ⚫︎ NI-TIファイル
- ⚫︎ マイクロオープナー
- ⚫︎ トライオート2
- ⚫︎ EDTA
- ⚫︎ NaOCl
- ⚫︎ 超音波
- ⚫︎ XPエンドフィニッシャー
- ⚫︎ エディー
- ⚫︎ MTAセメント
- ⚫︎ NI-TIハンドKファイル
- ⚫︎ ガッタパチャー
- ⚫︎ 水酸化カルシウム
- ⚫︎ ベースセメント
こんな“お悩み”ありませんか?
- 根の治療が終わらない
- 治療したのにまた痛みが出た
- 抜歯を勧められたが歯を残したい
精密根管治療で
そのお悩み解決
できます!
精密根管
治療とは?
精密根管治療とは、米国式根管治療(歯内療法)として無菌的に拡大視野で的確に光を届かせながら適切な道具を利用しつつ根管治療をする事です。諸説ありますが一本の歯に対して根管治療が出来る回数は3回ぐらいが限度と言われています。
特に1回目の治療で失敗するとその後の再治療の成功率を大いに下げてしまいます。なので何回も治療する悪い環境を避けるには1回目の治療でいかに感染させないように無菌的に治療する事が大切と言えます。また、穿孔や歯根破折などの見えにくい病態の早期発見。歯髄を適切に温存する為に直接覆髄と言う方法もあります。
他院で抜歯と言われた方、神経を取ると言われた方、一度ご相談ください。
ご相談、診断のみ
でもOK!
お気軽に
ご相談ください
当院では、患者様のお悩み、心配事などをしっかりとカウンセリングした上で検査を行っていきます。検査結果を元に治療の計画などご不明点がないように丁寧にご説明した上で、治療を進めるかどうかを決めていただきます。
まずはご相談、診断だけというのも承っておりますので、お気軽にご予約ください。
治療後も
痛みが出る原因を
ご存じですか?
-
不十分な根管治療
感染が残っている状態です。歯冠部のカリエスが残存している事や根管内壁の拡大不足(バクテリアの機械的除去が出来ていない)や薬液による洗浄が足りない(バクテリアの化学的除去が出来ていない)、残髄などが原因として考えられます。


-
根尖病変
細菌(バクテリア)の塊です。炎症によって骨が溶けた状態です。根尖病変を引き起こすと、炎症によって骨が溶けることがあります。根尖病変まで症状が進行してしまうと、通常の根管治療できちんと取り除くことは非常に難しく、精密根管治療で感染を取り除くことが重要になってきます。
● Before
● After
-
根管の見落とし
見落としの可能性を少しでも減らす為に顕微鏡を利用して拡大視野による直視と器具による触診や削合を行って探索していきます。

根管治療の成功率

根管治療の成功率を示したあるアメリカの論文です。
上記の表から歯を永続的に使っていただくために、当院は『精密な根管治療』と『精密な補綴処置』をお薦めしています。
※左にスクロールします。

根管治療の成功率を示したあるアメリカの論文です。
上記の表から歯を永続的に使っていただくために、当院は『精密な根管治療』と『精密な補綴処置』をお薦めしています。
やり直し、再発しない為の
精密根管治療
マイクロスコープの重要性
複雑な根管内をしっかり見ながら、
治療が可能
根管治療は歯の神経がある根管内どの程度まで見ることができるかが治療の成否を分けるといえます。当院では、マイクロスコープを使用し、目で根管内の細部まで確認しながら精密な根管治療を行うことができます。従来の治療では不可能な繊細な治療を可能にしています。根管治療の成功率を上げるためには絶対に欠かすことのできない機材といえます。
マイクロスコープの見え方
これまでの歯科治療は一般的に “裸眼” で行われてきました。しかし、裸眼での治療ではどうしても歯を削りすぎてしまったり、病気の部分を見逃してしまったりということが出てきます。
マイクロスコープを使うと、これまで裸眼では見えなかった病変部分が見えたり、歯のより細かなディティールを確認することができます。
また、歯を削る時にも拡大して見えることで、削る量を最小限に抑えることができます。歯科治療は何度も行えるわけではなく、治療のたびに歯が削られます。
そのため、治療を行う際にはできる限り健康な歯を削らないように、また、精密な治療を行うことによって再治療のリスクを減らす必要があります。
拡大すると見えなかったものが見えてきます。例えば、この一万円札には...
「NIPPONGINKO」と
いう文字が書かれています。肉眼では気がつかないものでも、拡大することで、はっきりと認識できます。
精密な診断
治療成功の鍵は、正確な検査、診断
根管治療は、感染源の取り残しが許されないデリケートな治療です。だからこそ、時間をかけてしっかりと行う必要があります。当院は、ゆとりある時間を確保して治療を実施しております。安心して治療にお臨みいただけます。「歯を残したい」、「再治療が多く一向に改善しない」などさまざまなお悩みを是非当院にご相談下さい
ラバーダムの必要性
無菌状態のまま治療を進められる
無菌的処置とは、細菌が含まれた唾液の患部への侵入をラバーダム(ゴム製のマスク)で防ぎ、細菌感染を可能な限り抑える方法です。薬剤が粘膜に誤って付着する事を防止し、また、 治療器具が患者さんの頬や舌に当たってしまうなどという危険を防ぐことも可能です。安全で、より精度の高い根管治療をご提供することができます。ます。
当院の
精密根管治療について
正確な診断
問診、デンタル、場合によってはCTやパノラマ撮影。視診、触診、打診、パルプチェックを行います。現在の状態を丁寧に患者様へ説明を行った上で治療方法についてご相談します。
専門的な機器・材料
マイクロスコープ、CTをはじめとしてラバーダムやNI-TIファイルなど様々な機器・材料を駆使して治療を行っていきます。
当院で使用している機器・材料
(クリックして全て表示する)
歯根端切除
最後の治療オプション、根管治療の最後の手段です。根先約3mm切除とともに根先病変の除去をすることで確実なバクテリアの排除を行います。その際に逆根管充填を行う事で根先の緊密な封鎖を作り再感染を防止していきます。
難症例やマイクロサージェリーなど必要に応じて澤田デンタルオフィスへご紹介させていただきます。
他院で通院中の方も
不安があれば
ご相談ください。
当院では、患者様のお悩み、心配事などをしっかりとカウンセリングした上で検査を行っていきます。検査結果を元に治療の計画などご不明点がないように丁寧にご説明した上で、治療を進めるかどうかを決めていただきます。
まずはご相談、診断だけというのも承っておりますので、お気軽にご予約ください。
ドクター紹介
エムデンタルオフィス 院長三留 弘之
経歴
- 明海大学歯学部卒業
- 自由が丘デンタルスタジオ勤務
- 同法人系列の赤坂デンタルオフィスに分院長として勤務
- M Dental Office開設
所属学会・参加勉強会等
- 日本顕微鏡歯科学会 会員
- 日本成人矯正学会 会員
不安を少しでもなくして頂く為に、
現状を写真や動画に撮って画面上で
わかりやすく説明させて頂ます。
歯科治療というと
“痛い・怖い・何をされているかわからない”というイメージがあるかもしれません。
そんな不安を少しでもなくして頂く為に、まずは現状を写真や動画に撮画面上でわかりやすく説明させて頂ます。
- そしてどうして削らなければいけないのか
- どうして抜かなければいけないのか
- どうしてあえて治療しないのか
などを明らかにし、治療方法の種類・メリットデメリットなど事細かに説明し納得頂いた上で治療を始めていきます
詳しくみる-
問診・カウンセリング
まずは患者さんのお悩みなどを丁寧におうかがいしていきます。その上で、各種検査を行っていきます。
-
検査・ご説明
症状のある箇所を確認させていただいた後に、保険診療の範囲内で各種検査(パノラマ撮影、歯周基本検査等)を行っていきます。検査結果を基にどのような治療が必要なのか等を患者さんが納得できるまで丁寧にご説明します。
-
根管治療開始
(1回-2回で終了)できる限り痛みを感じないよう麻酔をしっかりと時間をかけて行います。
-
メインテナンス
歯を長く残せるように、定期的なメインテナンスを行なっていきます。
治療費
| 精密根管治療 (ケースによってパーフォレーションリペア (20,000円税別)が必要になる可能性があります。) |
大臼歯 | 150,000円(税別) |
|---|---|---|
| 小臼歯 | 130,000円(税別) | |
| 前歯 | 110,000円(税別) | |
| ダイレクトボンディング | 40,000〜 80,000円(税別) |
|
| セラミック修復 | 60,000〜 200,000円(税別) |
|
| 直接覆髄 | MTAセメント20,000円(税別) +ダイレクトボンディング |
|
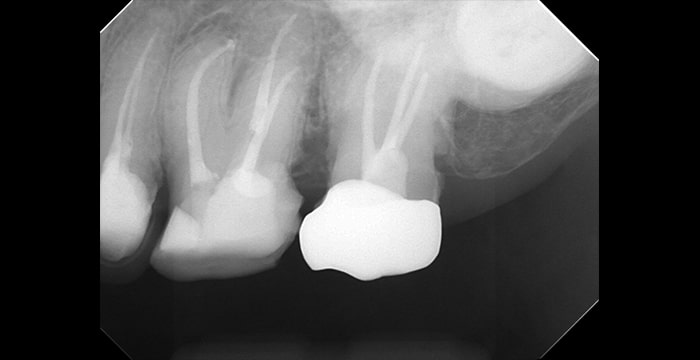
精密根管治療の症例
-
根管治療後のレジンビルドアップ
根の治療を行った後の歯にレジンという歯科用プラスチックを盛って、従来の歯の形態を回復しました。
適応ケースに限りはありますがご希望の方はご相談ください。
治療費 130,000円(税別)+40,000〜80,000円(税別)