03-3444-7770 ご予約・ご相談などお気軽にお電話下さい
(受付:10:00〜20:00、休診日:水・日・祝日)
LINE予約

なるべく削らない、
やり直しのない
精密な歯科治療

五反田の歯医者 エムデンタルオフィス

INFOR
MATION

診療時間

日・祝
10:00〜13:30
15:00〜20:00

※土曜日 10:00〜13:00 / 14:00〜17:00

地図

〒141-0022
東京都品川区東五反田1-14-11須賀ビル3階
五反田駅から徒歩1分

五反田駅の歯医者|エムデンタルオフィス

Google map
新型コロナウイルス感染症に関する当院の対応 新型コロナウイルス感染症に関する当院の対応 ご予約とキャンセルについて
CONCEPT

当院の診療方針

徹底したご説明と、
歯を最大限残す
やり直しのない治療

虫歯治療は歯を削る治療です。何度も歯を削っていると、
当然のことながら歯がどんどん無くなっていき、最終的には被せものや
抜歯をしなければいけなくなります。
当院ではマイクロスコープを使用し早い段階で虫歯の有無の確認を行い、
見落としを防ぎ、最小限の削除量かつ取り残しをしない治療を
行っています。

FEATURES

当院の特徴

  1. 01

    マイクロスコープを使用した
    精密虫歯治療

    マイクロスコープを使用することにより、最大20倍程度まで拡大して確認することが可能となります。それにより、通常の裸眼では見落としてしまうような小さな虫歯箇所や余計に歯を削ってしまうといった事を防ぐ事を徹底しております。

  2. 02

    ラバーダムを使用した
    徹底の2次感染防止

    治療をしたばかりなのに、再治療が必要と言われた経験はありませんか?
    当院では、ラバーダムを用いて菌が入らない状態で治療を行っており、やり直しの無い治療を心がけております。

  3. 03

    出来るだけ削らない治療

    虫歯治療を何度も繰り返してしまうと天然歯がどんどん無くなっていき、最終的には抜歯をしなければなくなります。
    当院では様々な角度から検査、カウンセリングを行い出来るだけ歯を削らなくて済む治療をご提案します。

  4. 04

    痛みに配慮した治療

    出来る限り患者さんが痛みを感じないよう、麻酔をしっかりと時間を置いてから治療に臨みます。
    また、麻酔自体も痛くないよう細心の注意を払って行います。

当院の特徴をみる
DOCTOR

ドクター紹介

院長紹介

院長
三留 弘之

経歴

  • 明海大学歯学部卒業
  • 自由が丘デンタルスタジオ勤務
  • 同法人系列の赤坂デンタルオフィスに分院長として勤務
  • M Dental Office開設

所属学会・参加勉強会等

  • 日本顕微鏡歯科学会 会員
  • 日本成人矯正学会 会員

不安を少しでもなくして頂く為に、
現状を写真や動画に撮って画面上で
わかりやすく説明させて頂きます。

歯医者というと“痛い・怖い・何をされているかわからない”というイメージがあるかもしれません。

そんな不安を少しでもなくして頂く為に、まずは現状を写真や動画に撮画面上でわかりやすく説明させて頂きます。

  • そしてどうして削らなければいけないのか
  • どうして抜かなければいけないのか
  • どうしてあえて治療しないのか

などを明らかにし、治療方法の種類・メリットデメリットなど事細かに説明し納得頂いた上で治療を始めていきます

スタッフ紹介を見る
TREATMENT

診療案内

  • 一般歯科 一般歯科 虫歯治療
  • 根管治療 根管治療 精密根管治療
  • 歯周病治療 歯周病治療 歯周病治療
  • 審美歯科 審美歯科 審美歯科
  • ホワイトニング ホワイトニング ホワイトニング
  • 矯正歯科 矯正歯科 矯正歯科
  • 予防歯科 予防歯科 予防歯科
  • 噛み合わせ 噛み合わせ 噛み合わせ
  • ブライダル矯正 ブライダル矯正 ブライダル矯正
  • ボトックスボトックスボトックス
  • 歯ぎしり歯ぎしり歯ぎしり
診療案内をみる

こんな「歯並びのお悩み」は
ございませんか?

部分矯正ブログ

※縦スクロールができます

「噛み合わせが悪い」
を放置しないで!
大人の噛み合わせ矯正の
費用相場は?
「噛み合わせが悪い」
原因と治療のメリット

「食事中に片側だけで噛んでしまう」「顎が疲れやすい」「肩こりや頭痛が慢性的に続いている」など、このような症状の原因が、実は噛み合わせの問題にあるケースも多いものです。 噛み合わせは歯...

詳しくみる

いつから始める?
結婚・転職・留学などライフイベント別に見る、
部分矯正の始め時とは?

人生の大きな転機となる結婚式、転職、留学といったライフイベントを控える中で、ご自身の歯並びを気にされる方は少なくありません。 特に比較的短期間で済む部分矯正は、イベントに合わせて自信...

詳しくみる

ブライダル矯正
として注目!
結婚式前に間に合う
部分矯正の治療期間と
費用について
詳しく解説

結婚式が決まると、ドレスやヘアメイクだけでなく歯並びについて考え始めるという方も多くなってきました。そのような中で注目を集めているのが、ブライダル前の部分矯正です。 全体矯正は2年...

詳しくみる

矯正前の精密検査とは?
矯正を始める前に
知っておきたい
「精密検査」の重要性と
正しい費用相場とは?

なぜ矯正前に精密検査が必要? すきっ歯、出っ歯、受け口、開咬など...さまざまな不正咬合(歯並びの問題)がありますが、患者様によってその原因や症状の程度はそれぞれ異なります。 ...

詳しくみる

部分矯正にかかる
期間の平均は?
ワイヤー部分矯正と
インビザライン部分矯正の
治療期間について詳しく解説

部分矯正にかかる期間の平均はどのくらい? 部分矯正にかかる治療期間の平均は、一般的な前歯の矯正で3ヶ月〜1年程度とお考えください。歯並びの症状の程度、使用する矯正装置、患者さまのご要...

詳しくみる

自力での歯列矯正は可能?
すきっ歯を自力で治すのは
危険!
理由や正しい治療法
について解説

すきっ歯の矯正を自力でするのは危険です 「すきっ歯を自力で治したい」「歯列矯正を自分でする方法ってあるの?」とお考えの方もいるかもしれませんが、歯並びを自分で治そうとすると危険を伴い...

詳しくみる

前歯一本だけ矯正できる?
費用・期間・注意点を
まとめて解説

歯並びの矯正って「前歯一本だけ」でも治せるの? 前歯などを「一本だけ矯正したい」というご相談も多くいただいております。 あわせて「歯列の矯正で一本だけ治療する値段や期間を知りたい...

詳しくみる

ワイヤー矯正の値段と期間|
種類別の費用相場、
自分に合った矯正方法の
選び方について解説

ワイヤー?マウスピース?自分に合った矯正方法を選ぶために 歯列矯正は主にワイヤー型の矯正装置とマウスピース型の矯正装置を用いた方法があります。 また、ワイヤー矯正の方法にもいくつ...

詳しくみる

大人の歯列矯正は
やめたほうがいい?
大人の歯列矯正で
後悔しないために
知っておくべき
ポイントについて解説

歯列矯正はやめたほうがいい?大人の矯正のメリット・デメリット 大人の歯列矯正には、歯並びの見た目を改善するだけでなく、噛み合わせの改善や、虫歯や歯周病の予防など多くのメリットが期待で...

詳しくみる

重度の出っ歯とは?重度の出っ歯は矯正で治る?
治療法と費用・期間の目安について解説

出っ歯とは 出っ歯(でっぱ)とは、上あごの前歯が下あごの前歯に比べて極端に前に飛び出している状態の歯並びのことです。専門的には「上顎前突(じょうがくぜんとつ)」とも呼ばれます。 ...

詳しくみる

大人の歯列矯正にかかる費用:治療法別の相場と安い費用に抑えるポイントを解説

大人の歯列矯正治療にかかる費用が気になる方へ 成人してから歯列矯正を検討しており、「治療にかかる費用の相場や内訳を知りたい」という方も多いかと思います。 今回は、矯正治療の種類(...

詳しくみる

インビザライン部分矯正の
メリット・デメリットとは?
全体矯正との違いや
適応症例についても解説

歯並びの部分矯正と全体矯正の違いとは? 部分矯正とは... 部分矯正とは、歯列全体ではなく1本または数本の歯並びを矯正する方法です。「すきっ歯」や「出っ歯」の前歯だけ矯正したい...

詳しくみる

すきっ歯の矯正を安い費用で済ませる方法とは?
【東京ですきっ歯の矯正が
安い・安心の
歯医者を
お探しの方へ】

すきっ歯の矯正でかかる費用相場はいくら? 前歯のすきっ歯を治療する方法として、、最も一般的なものが「歯列矯正」です。ワイヤーやマウスピースなどの装置をつけることで歯を少しずつ動かし、...

詳しくみる

すきっ歯は部分矯正で治せる?
すきっ歯になる原因や、
おすすめの治し方について
解説

すきっ歯(空隙歯列)ってどんな歯並びのこと? すきっ歯とは、歯がキレイに並びきらず歯と歯の間に隙間がある歯並びのことです。歯科で専門的には「空隙歯列弓(くうげきしれつきゅう)」と呼ば...

詳しくみる

歯ぎしりは矯正で治る?
ひどい歯ぎしりを根本から防ぐ。
マウスピース、矯正、
ボトックスなど
最新の治療法を解説

朝起きた時に顎が疲れている、家族から歯ぎしりを指摘された、奥歯がすり減ってきた気がする、そんな悩みを抱えていませんか。 歯ぎしりは単なる癖ではなく、放置すれば歯のすり減りや破折、顎関...

詳しくみる

部分矯正で
そのお悩み解決できます!

当院にお任せください!

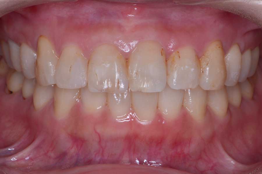
矯正治療実績多数!

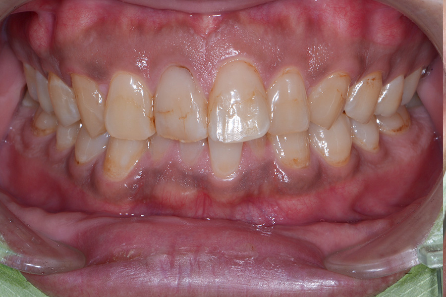
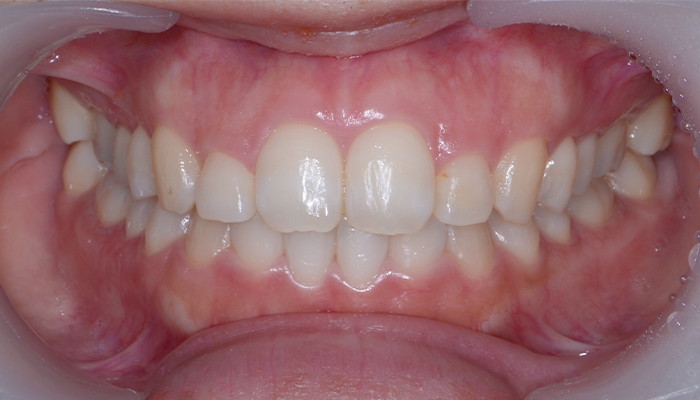
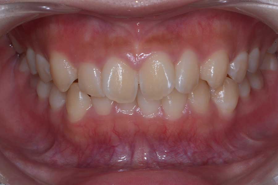
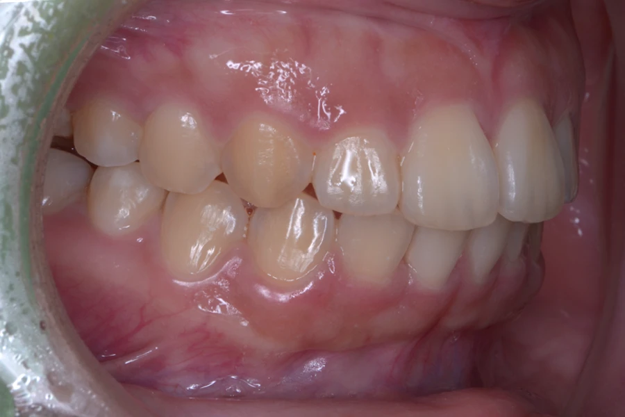
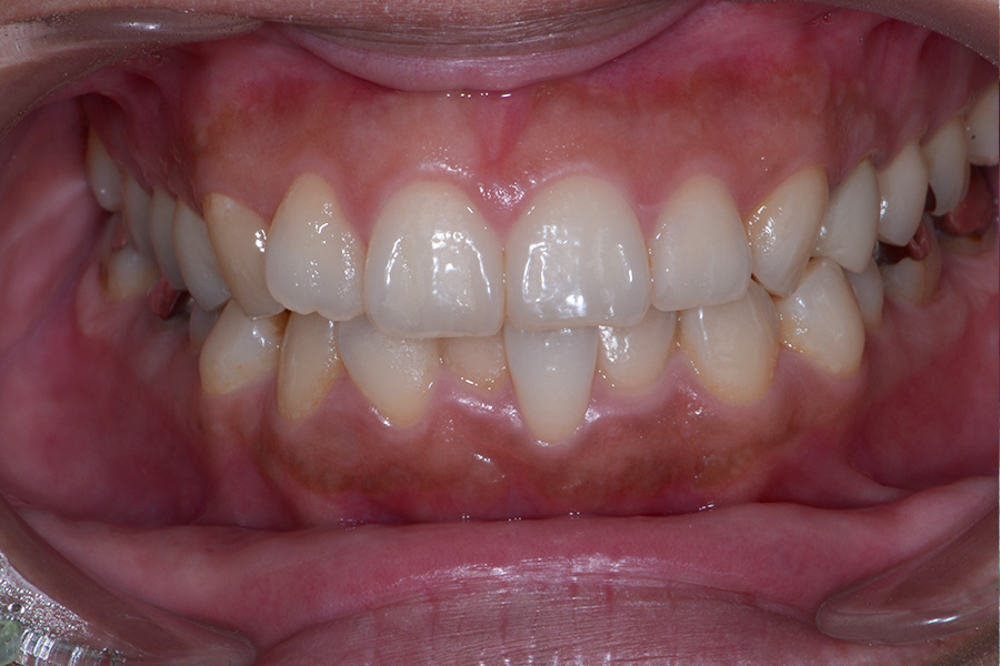
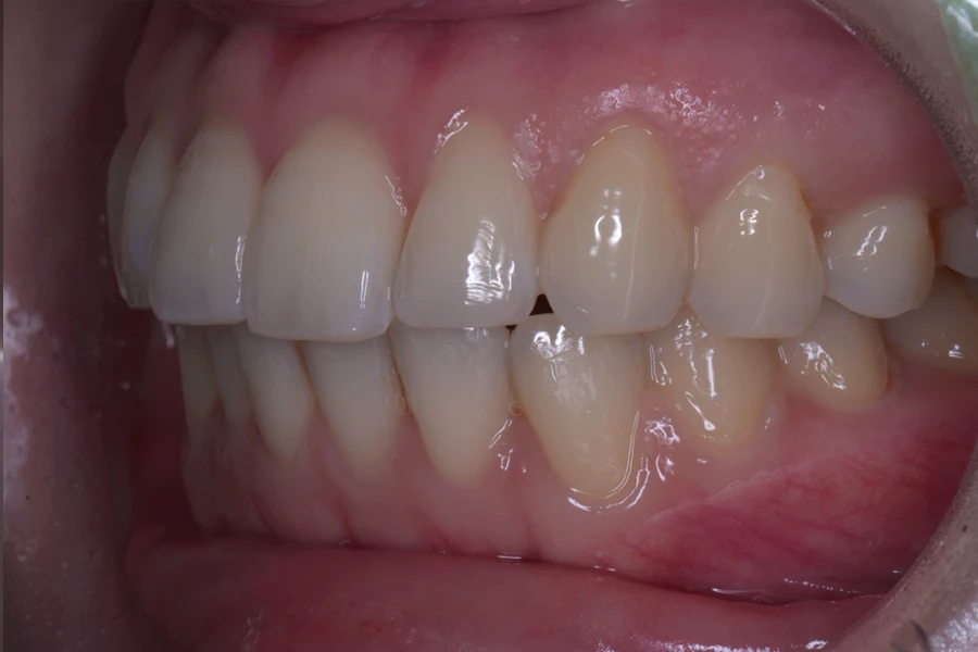
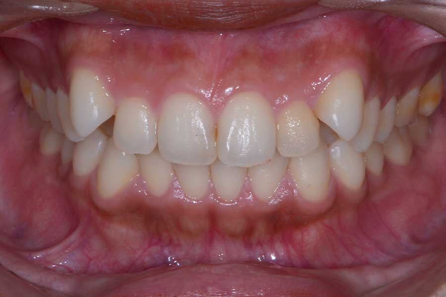
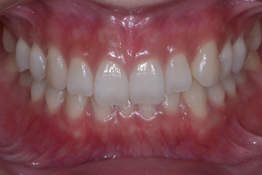
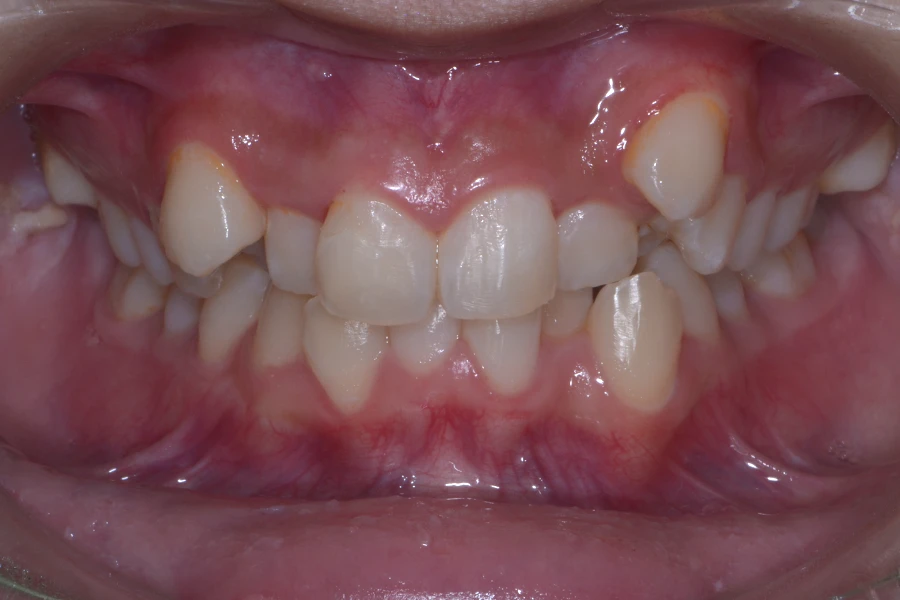
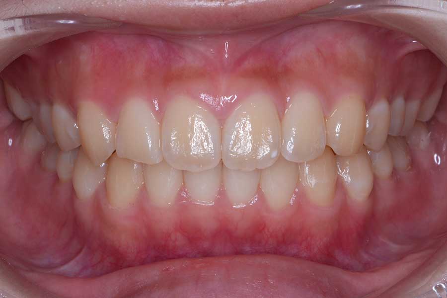
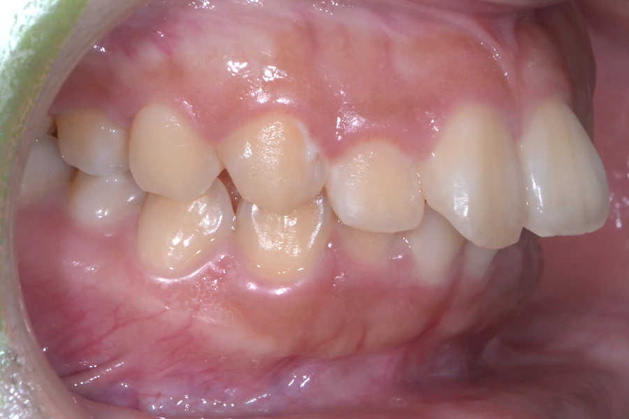
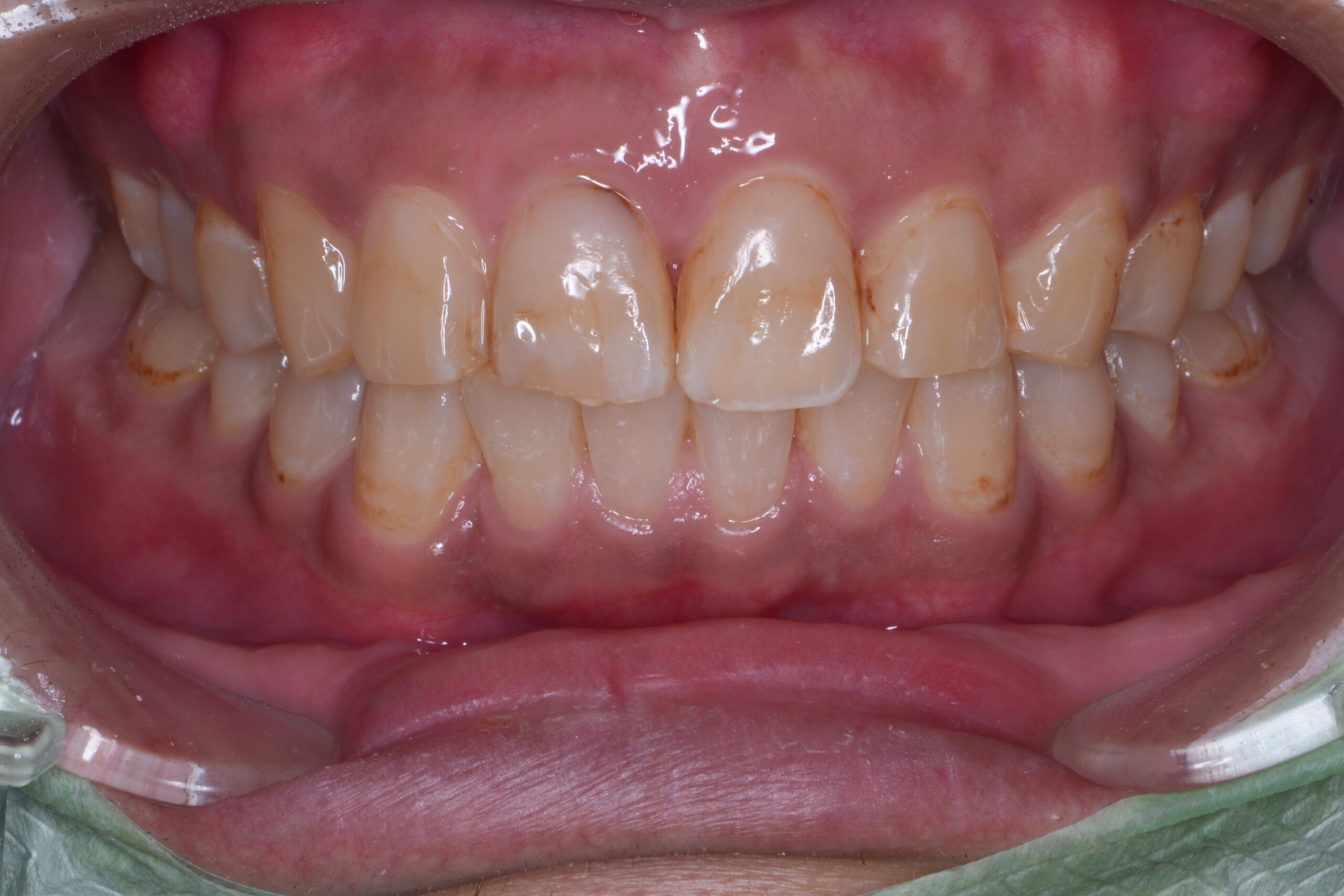
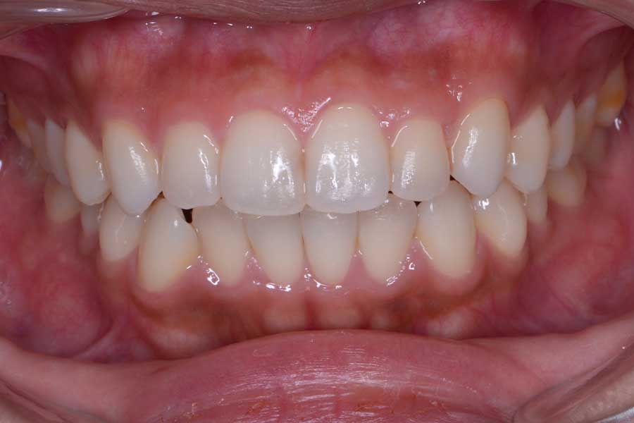
  • 治療前

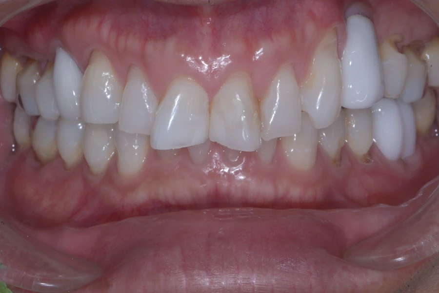
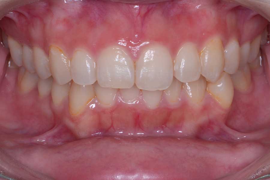
    治療後

    主訴 すきっぱと出っ歯を両方治したい

    治療内容 上顎ラビアル矯正(表側矯正)

    リスク 後戻り

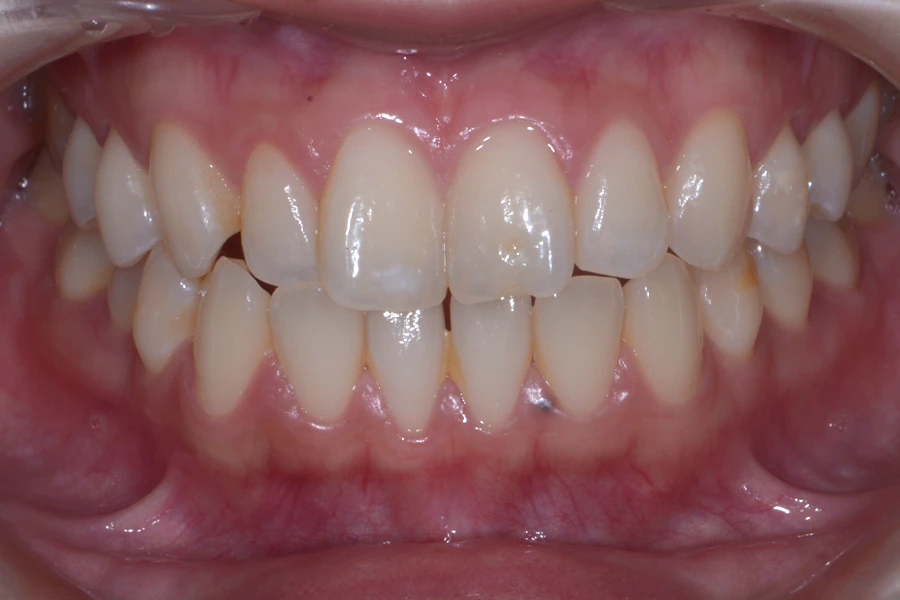
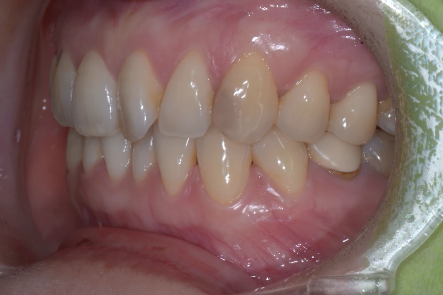
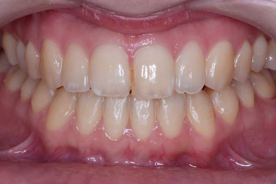
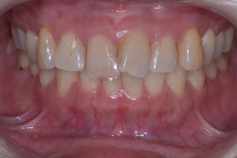
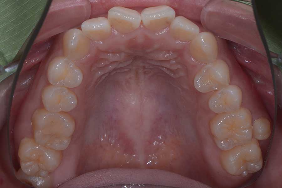
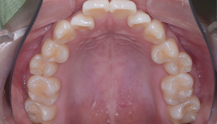
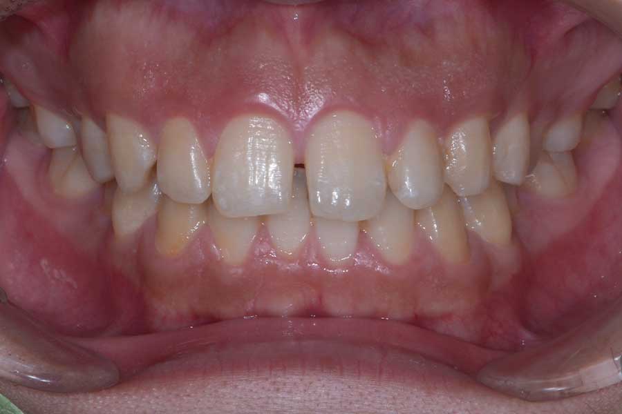
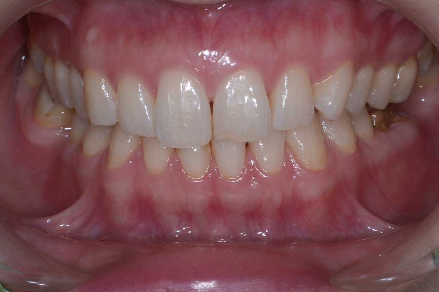
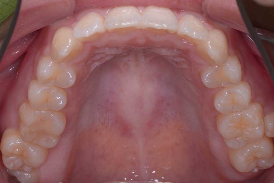
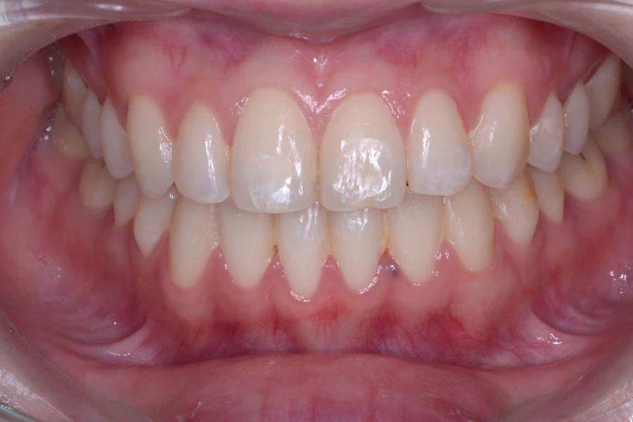
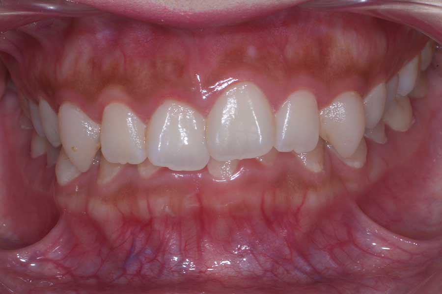
  • 治療前

    治療後

    主訴 咬み合わせとすきっぱを治したい

    治療内容 上下顎リンガル矯正(裏側矯正)

    リスク 後戻り

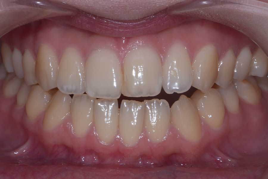
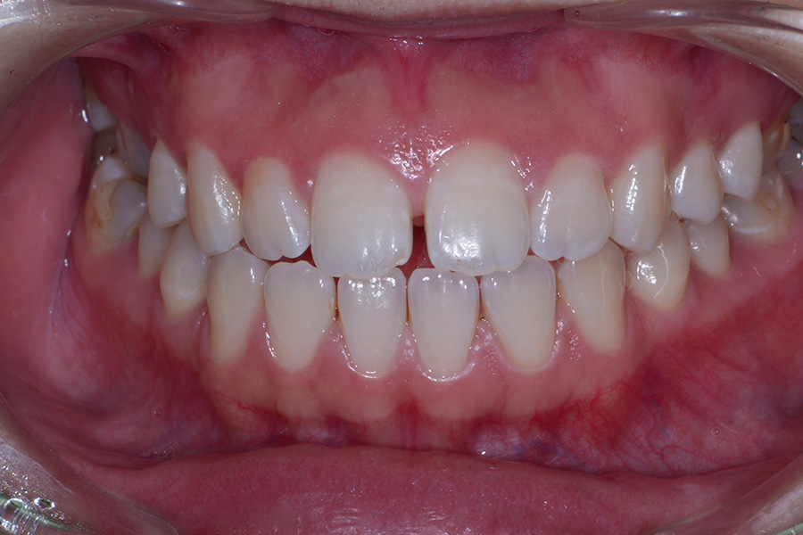
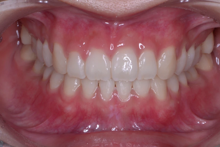
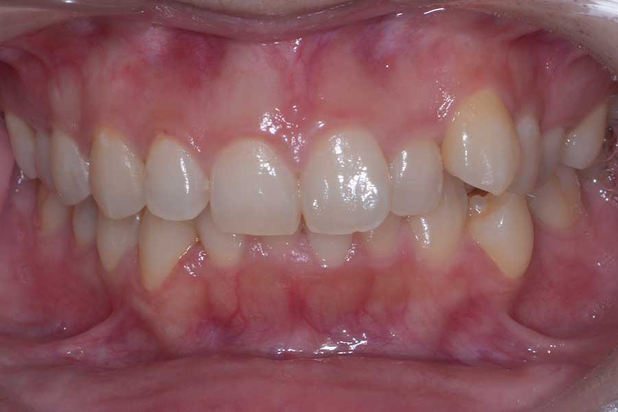
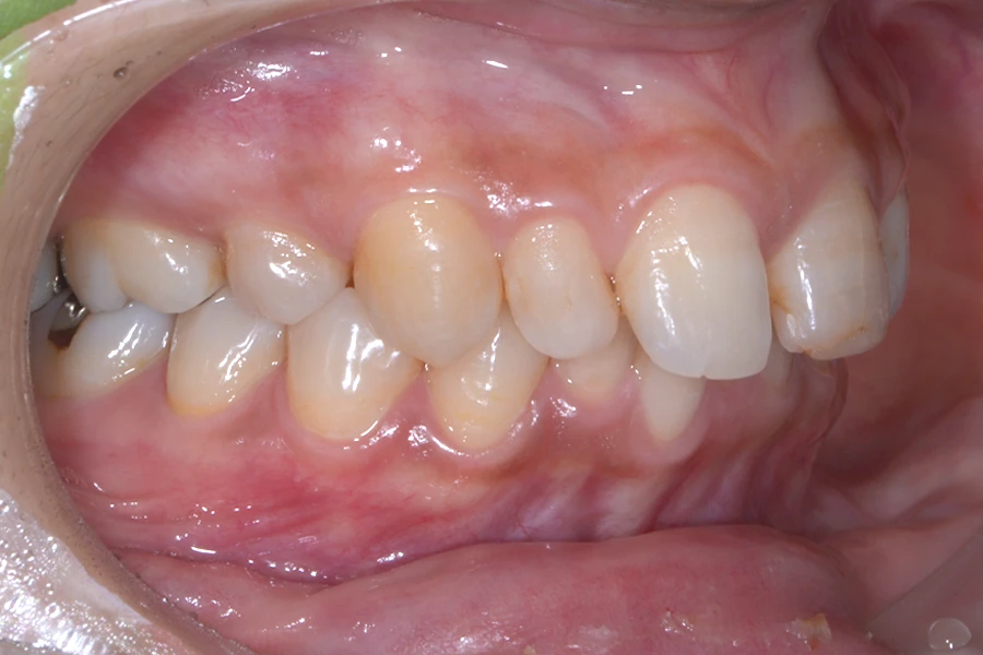
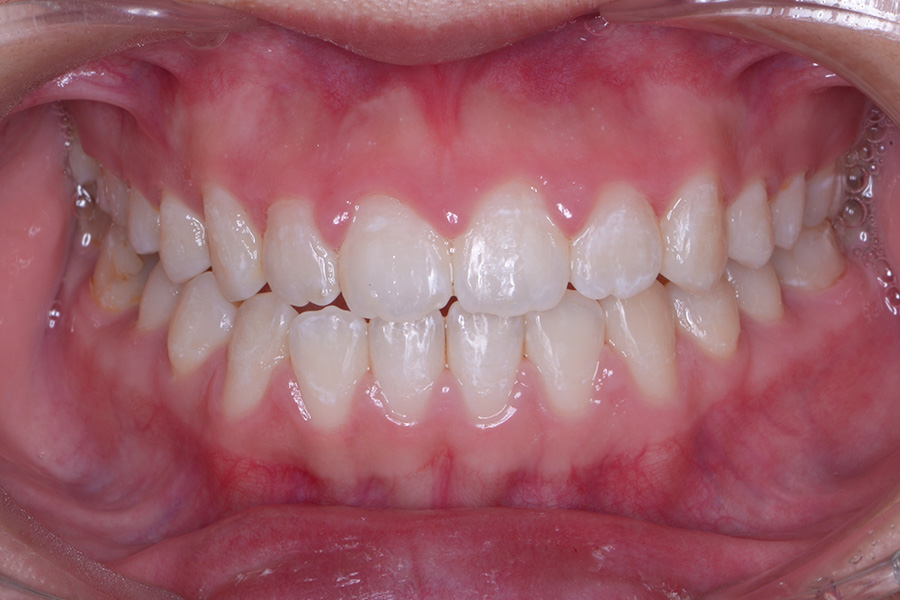
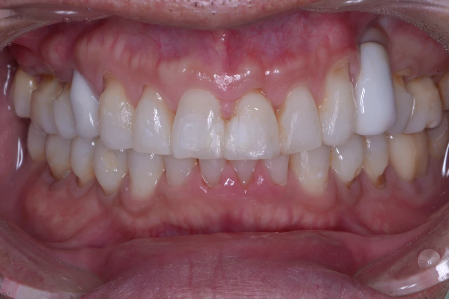
  • 治療前

    治療後

    主訴 一本引っ込んでる歯と下のガタツキを治したい

    治療内容 上下顎ラビアル矯正(表側矯正)

    リスク 後戻り

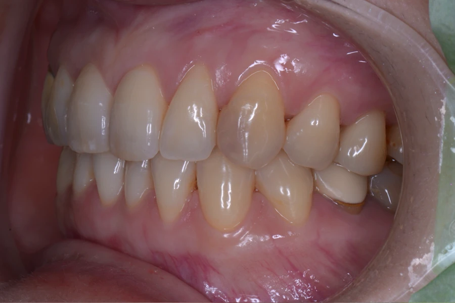
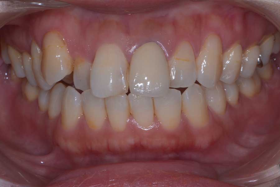
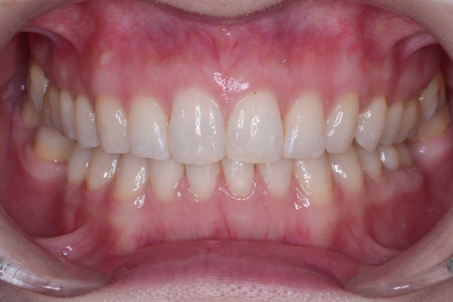
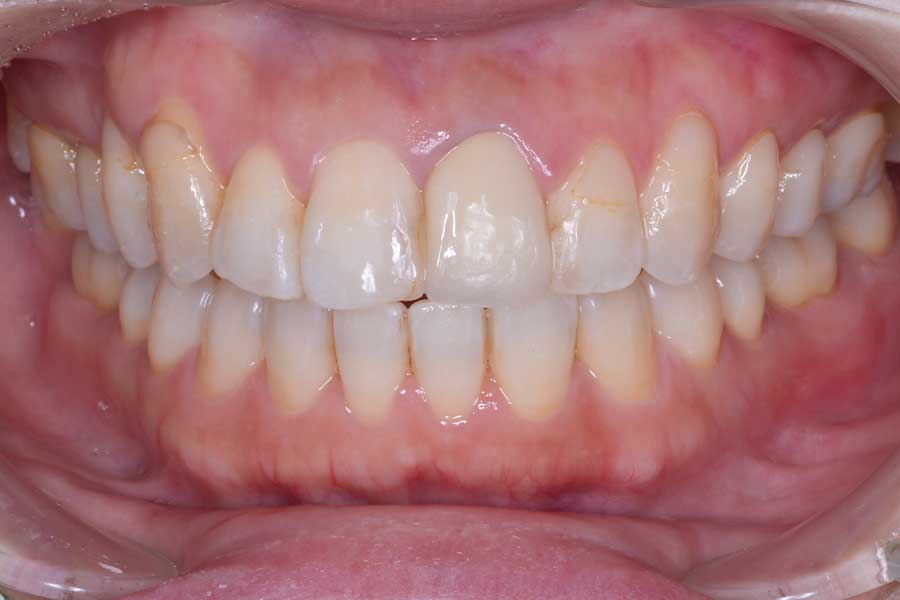
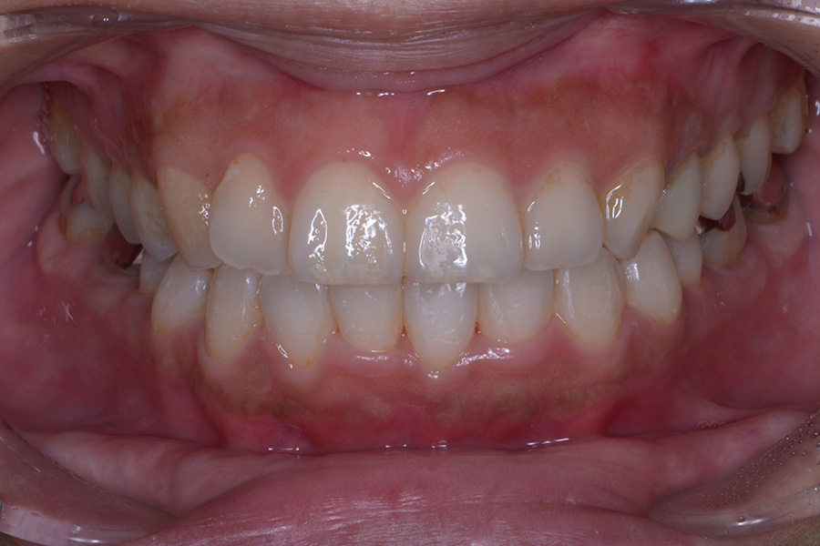
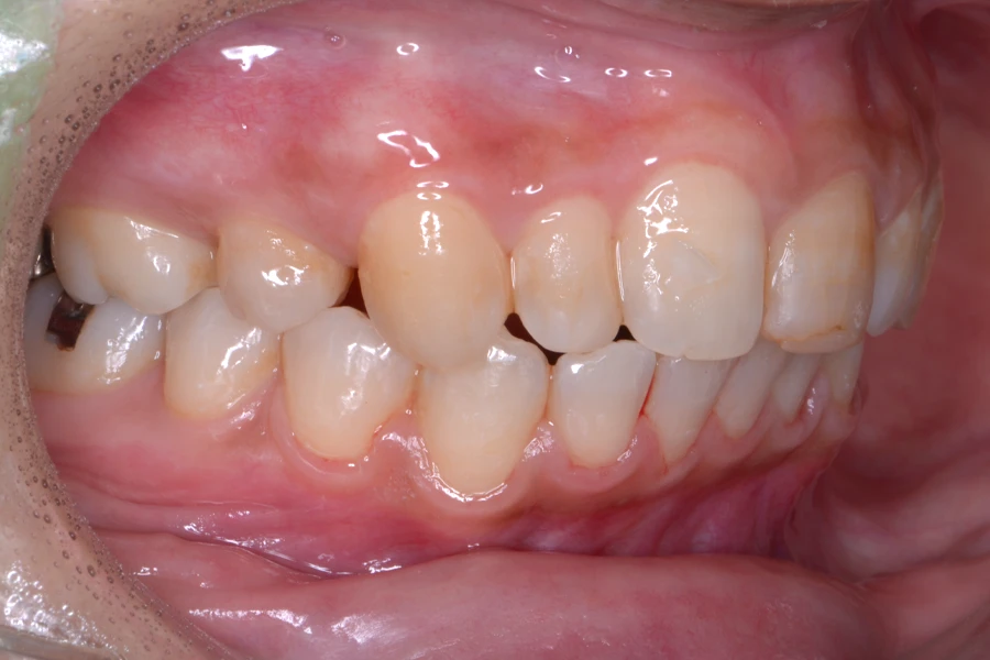
  • 治療前

    治療後

    主訴 部分矯正で出っ歯を引っ込めたい

    治療内容 上下顎ラビアル矯正(表側矯正)

    リスク 後戻り

  • 治療前

    治療後

    主訴 見える隙間だけ治したい

    治療内容 上顎ラビアル矯正(表側矯正)

    リスク 後戻り

  • 治療前

    治療後

    主訴 歯周病と歯並びを治したい

    治療内容 上顎ラビアル矯正(表側矯正)

    リスク 後戻り

  • 治療前

    治療後

    主訴 全体的にすきっぱを治したい

    治療内容 上顎ラビアル矯正(表側矯正)

    リスク 後戻り

  • 治療前

    治療後

    主訴 歯を抜かずに部分矯正で上だけ治したい

    治療内容 上顎リンガル矯正(裏側矯正)

    リスク 後戻り

  • 治療前

    治療後

    主訴 真ん中の隙間だけ治したい

    治療内容 上顎ラビアル矯正(表側矯正)

    リスク 後戻り

  • 治療前

    治療後

    主訴 前歯の段差を治したい

    治療内容 上顎ラビアル矯正(表側矯正)

    リスク 後戻り

治療症例実績を詳しくみる

カウンセリング
実施中

ご自身の歯並びがどのくらいの期間、費用で治療が可能かなどお悩みや心配が多くあるかと思います。まずはお気軽にご相談ください。

03-3444-7770 LINE予約はこちら
FLOW

初診の流れ

初診の際の検査・診断は健康保険の適応内で行っております。
虫歯治療でお悩みの方は当院へお任せください。

初めての方へ
  1. 初診・相談

    当院はご予約優先となっております。
    事前にお電話またはWEB予約にてご連絡をいただけますと待ち時間が少なくご案内できます。

  2. 問診・カウンセリング

    まずは患者さんのお悩みなどを丁寧におうかがいしていきます。その上で、各種検査を行っていきます。

  3. 検査

    症状のある箇所を確認させていただいた後に、保険診療の範囲内で各種検査(パノラマ撮影、歯周基本検査等)を行っていきます。検査結果を基にどのような治療が必要なのか等を患者さんが納得できるまで丁寧にご説明します。

  4. 治療

    できる限り痛みを感じないよう麻酔をしっかりと時間をかけて行います。

院内紹介

CLINIC
  • 院内紹介
  • 院内紹介
  • 院内紹介
  • 院内紹介
  • 院内紹介
  • 院内紹介

患者さんがリラックスして治療を受けていただけるよう、内装はもちろん、個室を完備しております。
また、治療機器についても消毒滅菌を徹底しておりますので安心して治療に臨んで頂けます。

院内紹介をみる