03-3444-7770 ご予約・ご相談などお気軽にお電話下さい
(受付:10:00〜20:00、休診日:水・日・祝日)
LINE予約

最短3ヶ月
前歯6本の部分矯正

10万円から始める前歯6本の部分矯正|
東京都品川区|前歯の矯正「エムデンタルオフィス」

当院にお任せください!

矯正治療実績多数!

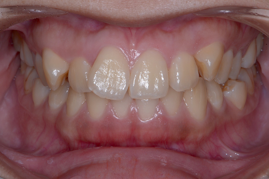
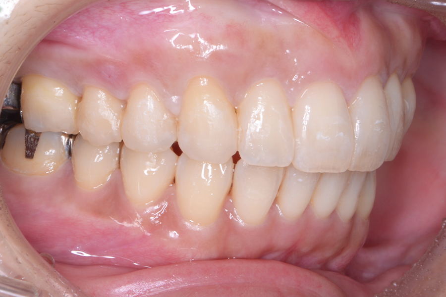
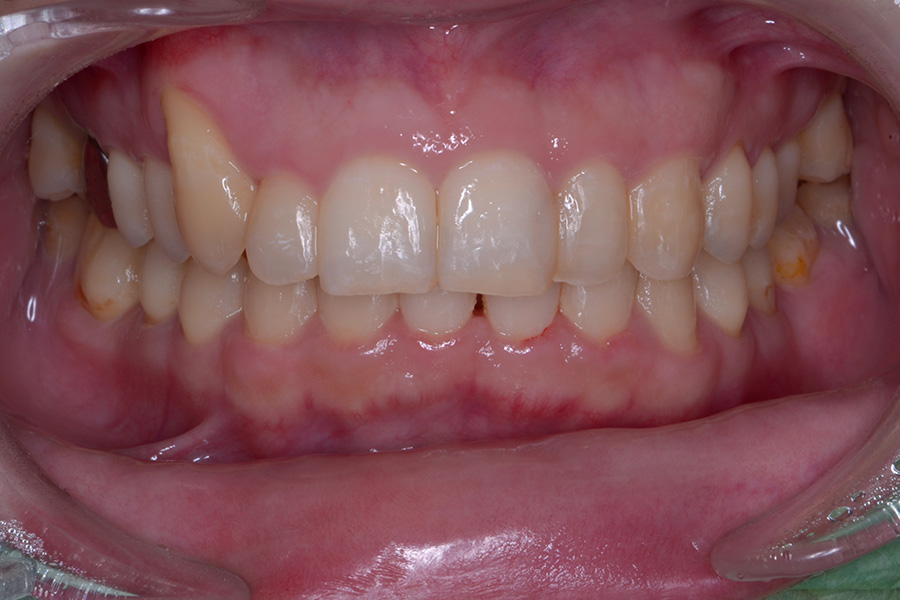
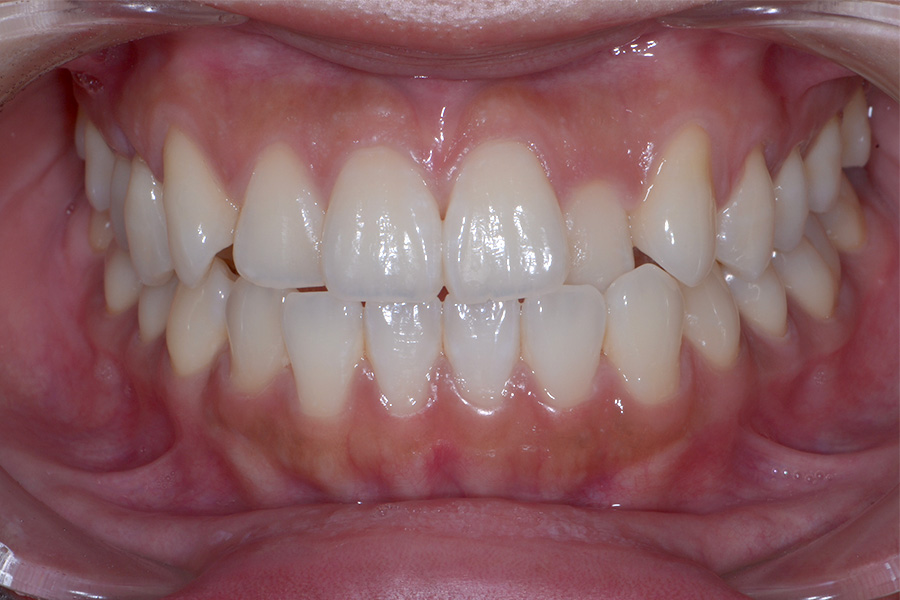
  • 治療前

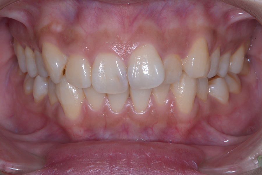
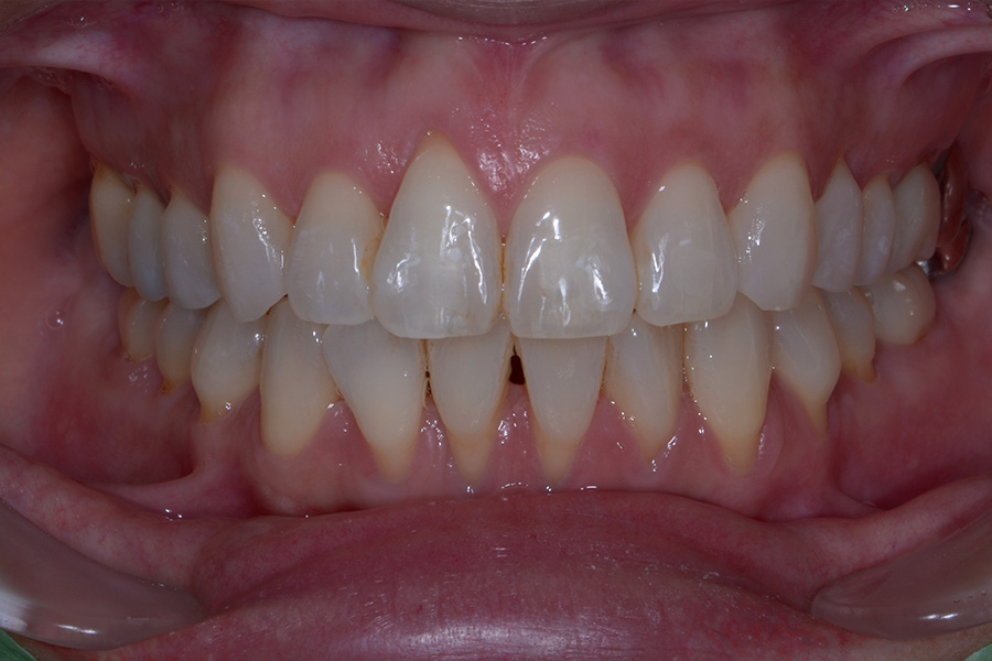
    治療後

    主訴 すきっぱと出っ歯を両方治したい

    治療内容 上顎ラビアル矯正(表側矯正)

    リスク 後戻り

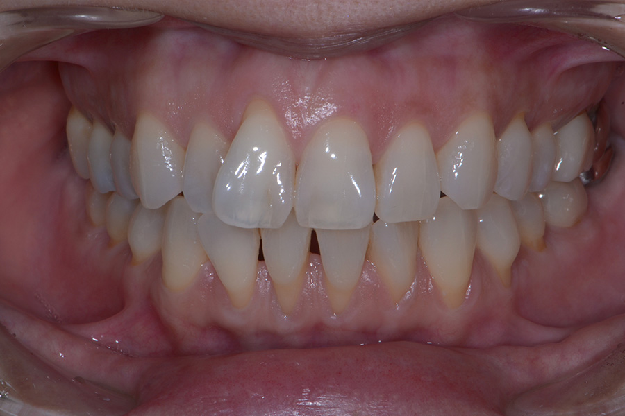
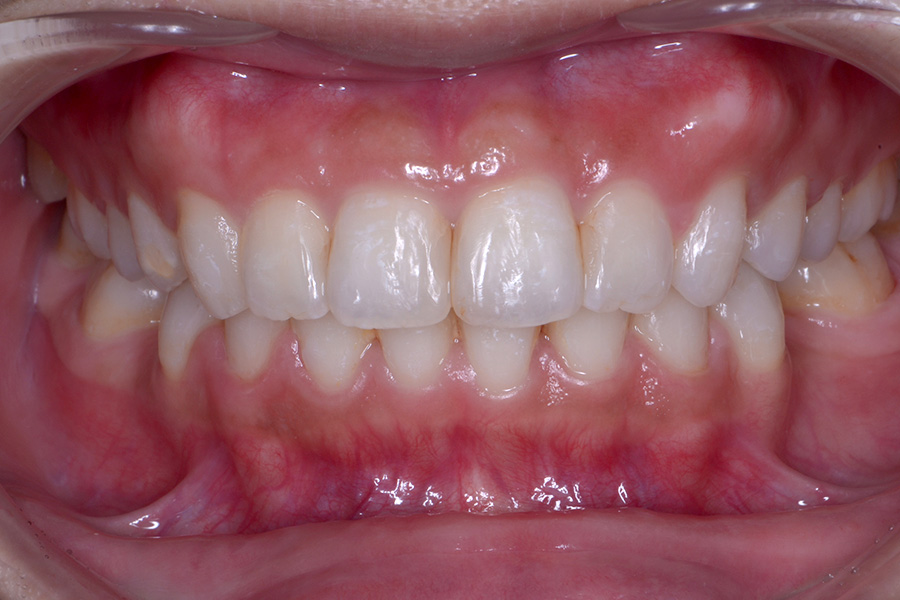
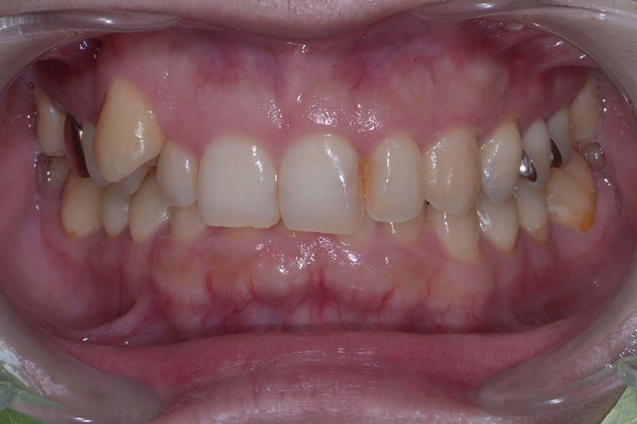
  • 治療前

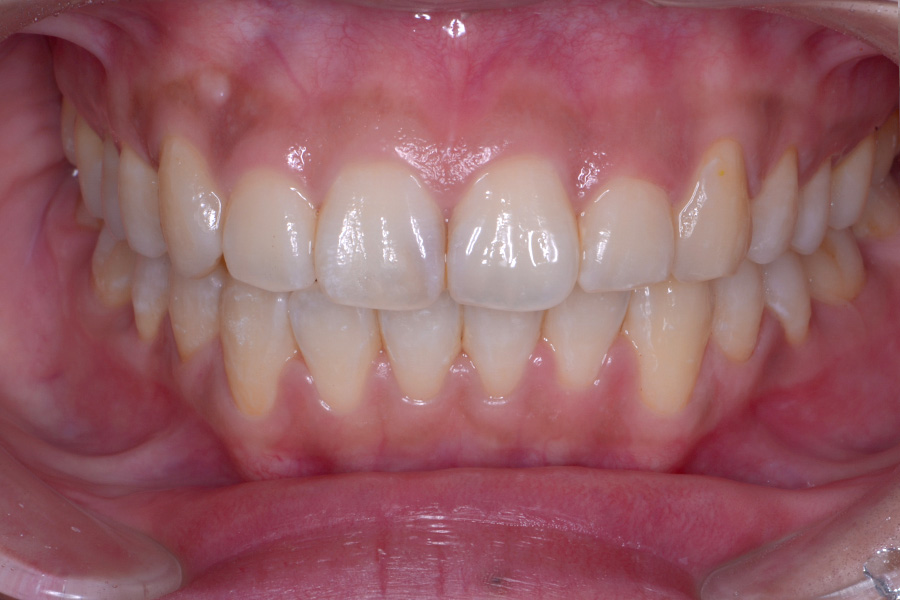
    治療後

    主訴 咬み合わせとすきっぱを治したい

    治療内容 上下顎リンガル矯正(裏側矯正)

    リスク 後戻り

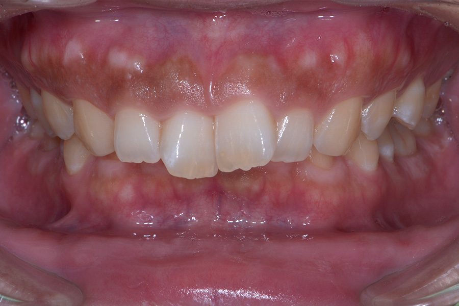
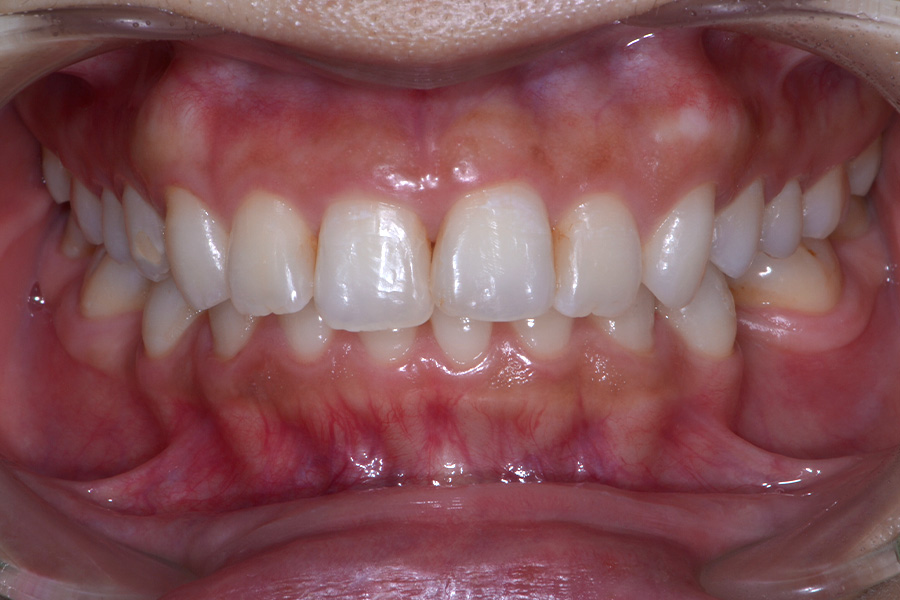
  • 治療前

    治療後

    主訴 一本引っ込んでる歯と下のガタツキを治したい

    治療内容 上下顎ラビアル矯正(表側矯正)

    リスク 後戻り

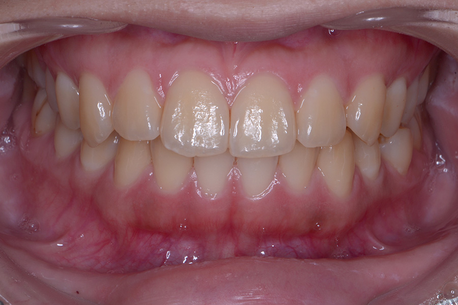
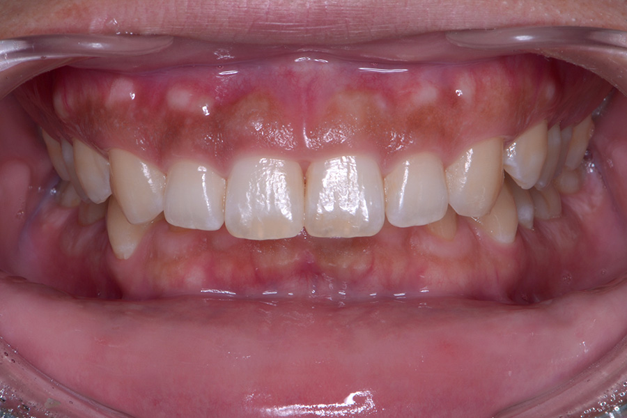
  • 治療前

    治療後

    主訴 部分矯正で出っ歯を引っ込めたい

    治療内容 上下顎ラビアル矯正(表側矯正)

    リスク 後戻り

  • 治療前

    治療後

    主訴 見える隙間だけ治したい

    治療内容 上顎ラビアル矯正(表側矯正)

    リスク 後戻り

  • 治療前

    治療後

    主訴 歯周病と歯並びを治したい

    治療内容 上顎ラビアル矯正(表側矯正)

    リスク 後戻り

  • 治療前

    治療後

    主訴 全体的にすきっぱを治したい

    治療内容 上顎ラビアル矯正(表側矯正)

    リスク 後戻り

  • 治療前

    治療後

    主訴 歯を抜かずに部分矯正で上だけ治したい

    治療内容 上顎リンガル矯正(裏側矯正)

    リスク 後戻り

  • 治療前

    治療後

    主訴 真ん中の隙間だけ治したい

    治療内容 上顎ラビアル矯正(表側矯正)

    リスク 後戻り

  • 治療前

    治療後

    主訴 前歯の段差を治したい

    治療内容 上顎ラビアル矯正(表側矯正)

    リスク 後戻り

治療症例実績を詳しくみる

こんな「歯並びのお悩み」は
ございませんか?

部分矯正ブログ

※縦スクロールができます

「噛み合わせが悪い」
を放置しないで!
大人の噛み合わせ矯正の
費用相場は?
「噛み合わせが悪い」
原因と治療のメリット

「食事中に片側だけで噛んでしまう」「顎が疲れやすい」「肩こりや頭痛が慢性的に続いている」など、このような症状の原因が、実は噛み合わせの問題にあるケースも多いものです。 噛み合わせは歯...

詳しくみる

いつから始める?
結婚・転職・留学などライフイベント別に見る、
部分矯正の始め時とは?

人生の大きな転機となる結婚式、転職、留学といったライフイベントを控える中で、ご自身の歯並びを気にされる方は少なくありません。 特に比較的短期間で済む部分矯正は、イベントに合わせて自信...

詳しくみる

ブライダル矯正
として注目!
結婚式前に間に合う
部分矯正の治療期間と
費用について
詳しく解説

結婚式が決まると、ドレスやヘアメイクだけでなく歯並びについて考え始めるという方も多くなってきました。そのような中で注目を集めているのが、ブライダル前の部分矯正です。 全体矯正は2年...

詳しくみる

矯正前の精密検査とは?
矯正を始める前に
知っておきたい
「精密検査」の重要性と
正しい費用相場とは?

なぜ矯正前に精密検査が必要? すきっ歯、出っ歯、受け口、開咬など...さまざまな不正咬合(歯並びの問題)がありますが、患者様によってその原因や症状の程度はそれぞれ異なります。 ...

詳しくみる

部分矯正にかかる
期間の平均は?
ワイヤー部分矯正と
インビザライン部分矯正の
治療期間について詳しく解説

部分矯正にかかる期間の平均はどのくらい? 部分矯正にかかる治療期間の平均は、一般的な前歯の矯正で3ヶ月〜1年程度とお考えください。歯並びの症状の程度、使用する矯正装置、患者さまのご要...

詳しくみる

自力での歯列矯正は可能?
すきっ歯を自力で治すのは
危険!
理由や正しい治療法
について解説

すきっ歯の矯正を自力でするのは危険です 「すきっ歯を自力で治したい」「歯列矯正を自分でする方法ってあるの?」とお考えの方もいるかもしれませんが、歯並びを自分で治そうとすると危険を伴い...

詳しくみる

前歯一本だけ矯正できる?
費用・期間・注意点を
まとめて解説

歯並びの矯正って「前歯一本だけ」でも治せるの? 前歯などを「一本だけ矯正したい」というご相談も多くいただいております。 あわせて「歯列の矯正で一本だけ治療する値段や期間を知りたい...

詳しくみる

ワイヤー矯正の値段と期間|
種類別の費用相場、
自分に合った矯正方法の
選び方について解説

ワイヤー?マウスピース?自分に合った矯正方法を選ぶために 歯列矯正は主にワイヤー型の矯正装置とマウスピース型の矯正装置を用いた方法があります。 また、ワイヤー矯正の方法にもいくつ...

詳しくみる

大人の歯列矯正は
やめたほうがいい?
大人の歯列矯正で
後悔しないために
知っておくべき
ポイントについて解説

歯列矯正はやめたほうがいい?大人の矯正のメリット・デメリット 大人の歯列矯正には、歯並びの見た目を改善するだけでなく、噛み合わせの改善や、虫歯や歯周病の予防など多くのメリットが期待で...

詳しくみる

重度の出っ歯とは?重度の出っ歯は矯正で治る?
治療法と費用・期間の目安について解説

出っ歯とは 出っ歯(でっぱ)とは、上あごの前歯が下あごの前歯に比べて極端に前に飛び出している状態の歯並びのことです。専門的には「上顎前突(じょうがくぜんとつ)」とも呼ばれます。 ...

詳しくみる

大人の歯列矯正にかかる費用:治療法別の相場と安い費用に抑えるポイントを解説

大人の歯列矯正治療にかかる費用が気になる方へ 成人してから歯列矯正を検討しており、「治療にかかる費用の相場や内訳を知りたい」という方も多いかと思います。 今回は、矯正治療の種類(...

詳しくみる

インビザライン部分矯正の
メリット・デメリットとは?
全体矯正との違いや
適応症例についても解説

歯並びの部分矯正と全体矯正の違いとは? 部分矯正とは... 部分矯正とは、歯列全体ではなく1本または数本の歯並びを矯正する方法です。「すきっ歯」や「出っ歯」の前歯だけ矯正したい...

詳しくみる

すきっ歯の矯正を安い費用で済ませる方法とは?
【東京ですきっ歯の矯正が
安い・安心の
歯医者を
お探しの方へ】

すきっ歯の矯正でかかる費用相場はいくら? 前歯のすきっ歯を治療する方法として、、最も一般的なものが「歯列矯正」です。ワイヤーやマウスピースなどの装置をつけることで歯を少しずつ動かし、...

詳しくみる

すきっ歯は部分矯正で治せる?
すきっ歯になる原因や、
おすすめの治し方について
解説

すきっ歯(空隙歯列)ってどんな歯並びのこと? すきっ歯とは、歯がキレイに並びきらず歯と歯の間に隙間がある歯並びのことです。歯科で専門的には「空隙歯列弓(くうげきしれつきゅう)」と呼ば...

詳しくみる

部分矯正で
そのお悩み解決できます!

カウンセリング
実施中

ご自身の歯並びがどのくらいの期間、費用で治療が可能かなどお悩みや心配が多くあるかと思います。まずはお気軽にご相談ください。

03-3444-7770 LINE予約はこちら

気になる歯だけを
短期間で治したい方へ

「前歯の歯並びだけ治したい」けど
矯正治療はお金も時間もかかる・・・

           

そんなお悩みをお持ちの皆様のために、
当院では10万円から前歯6本の矯正をご提供しております。

部分矯正の特徴

  • 部分矯正の特徴

    早い

    全体の歯列矯正の場合、2~3年程の治療期間がかかりますが、前歯の部分矯正なら最短3ヶ月で歯並びが治ります。

  • 部分矯正の特徴

    安い

                       

    歯列矯正と聞くと80~100万円の高額な費用が必要となってしまいますが、前歯6本のみの部分矯正なら、当院は10万円から治すことが可能です。

  • 部分矯正の特徴

    痛みが少ない

    前歯の部分矯正は全体の矯正に比べ歯を移動させる量が少ないため、少ない痛みで矯正が可能です

デンタルローンの
お支払い例

22万円の治療を受ける場合
お支払い回数:77回
3,000円

※こちらはシミュレーションのため、実際のお支払い金額とは異なる場合がございます。

全体の矯正と
前歯の部分矯正

部分矯正 部分矯正 全体の矯正治療 全体の矯正治療
治療
期間
最短3ヶ月 2年〜3年の
期間が必要
費用 片側10万円 80〜100万円と高額
痛み 移動する歯が
少ない為、
痛みが少ない
全体の歯を
移動するため
痛みが出やすい

COMPARISON

以下の場合には
部分矯正が適応できない
場合が
ございますので、
当院へご相談ください。

  • 歯並びの凹凸が大きく、
    奥歯から大きく動かす場合
  • 八重歯の突出が大きい場合
  • 骨格に問題がある歯並びや、咬み合わせ
  • 矯正をすることで、明らかに
    咬み併せの弊害が出る場合
  • 歯根が癒着している
矯正治療が出来ないケース

前歯の部分矯正相談
はこちらから

前歯が出ている(出っ歯)、前歯に開きがある(すきっ歯)などのお悩みがある方のために、当院では前歯の矯正を10万円からご提供しております。前歯の歯並びでお悩みの方は当院にご相談ください。

03-3444-7770 LINE予約はこちら
FEATURES

当院の部分矯正の特徴

  1. 01

    部分矯正 10万円

                       

    全体の矯正治療は80〜100万円の費用が掛かってしまいますが、当院では前歯6本の部分矯正を10万円からご提供しております。

  2. 02

    丁寧なカウンセリング

    育った環境、生活習慣などによって患者さん一人ひとりの状態は千差万別です。
    当院では、患者さんの不安・悩みなどを丁寧にお伺いした上で、適切な矯正計画をご提案いたします。

  3. 03

    総合的な診療

    矯正の専門医院の場合、治療の際に虫歯があった場合には他の一般医院に通って治療をする必要があります。当院では一般診療も行っている総合医院の為、部分矯正の前に問題があった場合でも当院ですべて完結することが可能です。

目立たない、
見えない
部分矯正の装置

  • 目立たない
    部分矯正装置

    ホワイトワイヤー
  • 見えない
    部分矯正装置

    リンガル矯正(裏側矯正)

インビザラインについて

  • アライナーの製造について

    ※クリックして再生

    ※タップで再生

  • インビザライン・ジャパン公式

    ※クリックして再生

    ※タップで再生

DOCTOR

ドクター紹介

院長紹介

院長
三留 弘之

経歴

  • 明海大学歯学部卒業
  • 自由が丘デンタルスタジオ勤務
  • 同法人系列の赤坂デンタルオフィスに分院長として勤務
  • M Dental Office開設

所属学会・参加勉強会等

  • 日本顕微鏡歯科学会 会員
  • 日本成人矯正学会 会員

不安を少しでもなくして頂く為に、
現状を写真や動画に撮って画面上で
わかりやすく説明させて頂ます。

歯科治療というと“痛い・怖い・何をされているかわからない”というイメージがあるかもしれません。

そんな不安を少しでもなくして頂く為に、まずは現状を写真や動画に撮画面上でわかりやすく説明させて頂ます。

  • そしてどうして削らなければいけないのか
  • どうして抜かなければいけないのか
  • どうしてあえて治療しないのか

などを明らかにし、治療方法の種類・メリットデメリットなど事細かに説明し納得頂いた上で治療を始めていきます

詳しくみる
部分矯正ブログ
FLOW

矯正カウンセリングの
流れ

ご自身の歯並びがどのくらいの期間、費用で治療が可能かなどお悩みや心配が多くあるかと思います。まずはお気軽にご相談ください。

03-3444-7770 LINE予約はこちら
  1. 問診・カウンセリング

    患者さんのお悩みや、ご不安などをしっかり時間をかけてお伺いいたします。

  2. 検査

    患者さんのお口の状態をチェックし、虫歯や歯周病がないかなどを確認していきます。また、レントゲンを使用し現状がどのような状態かを全体的に確認していきます。

  3. 治療計画のご説明

    検査結果をもとに、治療費用、治療期間など丁寧にご説明いたします。少しでもご不明な点がございましたら、お気軽にご相談ください。

  4. ご質問・お悩みの
    ご回答

    当院では無理に治療を進めることはありません。患者さん一人一人に丁寧なご説明を行い、治療内容や治療費用にご納得頂いた上で部分矯正を開始いたします。

CASE

前歯の歯並び別治療例

  • 出っ歯

    Before After
    治療期間
    12ヶ月
    治療費
    35万×2+Tax(別途調整料)
  • すきっ歯

    Before After
    治療期間
    3ヶ月
    治療費
    10万+Tax(別途調整料)
  • 八重歯(叢生)

    Before After
    治療期間
    6ヶ月
    治療費
    15万+Tax(別途調整料)
    部分矯正の他治療例へ

カウンセリング
実施中

ご自身の歯並びがどのくらいの期間、費用で治療が可能かなどお悩みや心配が多くあるかと思います。まずはお気軽にご相談ください。

03-3444-7770 LINE予約はこちら