ダイレクトボンディング 症例集

ダイレクトボンディングの症例集
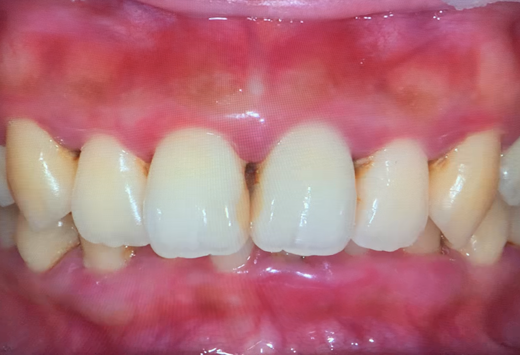
前歯のダイレクトボンディングケース
正中離開の改善を主訴に来院した男性です。
方法として歯列矯正による空隙の閉鎖もしくはダイレクトボンディングの選択があり、どちらも一長一短ありますが今回はダイレクトボンディングを行う事としました。
治療の流れ

①初診時の状態です。上顎中切歯間に1mmほどの空隙を認めます。
正中離開ケースは基本虫歯がない状態で充塡を行う為、接着力を最大限に引き出さなければ脱離などのトラブルが起きてしまいます。
初診時はカウンセリングとプラークコントロールのみ行い、改めて治療時間を確保する事に
しました。

②充塡作業はラバーダム防湿下で行います。防湿はもちろん歯肉の圧排を目的としています。
なるべく歯茎部からレジンを立ち上げて歯間鼓形空隙を無くす事でより自然な仕上がりを
目指します。

③歯面清掃後にエッチングを行いますが
気持ち広めに行います。

④充塡不足や気泡がないことを確認しながら
レジンを固めていきます。

⑤

⑥充塡直後の状態です。
ここから形態修正と研磨を行います。

⑦左右の対称性が得られ空隙も閉鎖出来ました。
歯肉がラバーダムにより多少発赤していますが自然治癒する事を患者さんに説明します。

⑧確認する角度を必ず反対側からもする事が重要と考えます。
一度口腔内写真で確認するとより形態の違いを確認する事が出来ます。

⑨材料の部分は手入れの仕方やステインの着きやすさによりますが噛み合わせや研磨などをしながら経過を診ていきます。
治療費(自由診療) | 80,000円+税 |
---|---|
治療後のリスク | 今回は虫歯では無いため冷水痛や 術後痛が出にくいことが多いです。 |
隣接面カリエス写真
治療前

治療中

治療後

治療期間 | 2~3回 |
---|---|
治療費 | 保険診療:3,000円〜 |
充填治療 右下5番
ダイレクトボンディング
治療期間 | 1日 |
---|---|
治療費 | 30,000円〜 |
充填治療 前歯 ダイレクトボンディング
治療期間 | 1日 |
---|---|
治療費 | 30,000円〜 |
中切歯のダイレクトボンディング
(エンプレスダイレクト)
治療前

治療後

以前詰めていたレジン(プラスチック)が変色していたため、丁寧に除去後、レジン(エンプレスダイレクト)を詰めなおしました。
矯正中のダイレクトボンディング
歯列矯正治療中は口腔内の清掃が一時的にしにくい状態となり残念ながら虫歯を形成してしまうこともあります。また歯列矯正で歯が動いてきた事によって今まで隠れていた虫歯を発見するケースもあります。
いずれにしても歯列矯正中は注意深く経過を診ていく必要があります。患者さんは歯列矯正を希望し来院しました。治療開始から3ヶ月を過ぎたタイミングで左上犬歯遠心部にカリエスを発見しました。
治療の流れ



①カリエスによって犬歯遠心部が黒く透けていたのと、実質欠損を確認出来ます。削合していくと象牙質に達するカリエスを認めました。

②窩洞形成が終了したところです。歯髄に達するような大きなカリエスではありませんでした。


③今回は簡易防湿と排唾管にて防湿を図ることとしました。またアイボリーのセパレーターで歯間離開を行い充塡作業をしやすくしています。今回は矯正治療中のため歯が動きやすく僅かな力で離開させる事が出来ました。


④通法通り充塡していきます。


⑤充塡を終え研磨作業をしていきます。

⑥セパレーターを除去して元の歯のコンタクトが復帰したのを確認し、矯正ワイヤーを再装着しました。術後疼痛や冷水痛が出現するケースもありますが今回は目立った症状は出ませんでした。
治療費(自由診療) | 30,000円+税 |
---|---|
治療後のリスク | 材料の変色や脱落の可能性がある |
正中離開 症例
CASE1
正中離開のケース
正中離開に対してダイレクトボンディングを利用したケースです。一般的に正中離開を閉鎖する治療法としては矯正治療とダイレクトボンディング、補綴処置の3種類が挙げられます。どの方法も一長一短ありますが、今回は深い過蓋咬合と治療期間、治療費の兼ね合いからダイレクトボンディングを選択しました。
治療の流れ

①術前の状態です。 正中部分に1mm強の隙間を認めます。特に虫歯治療ではないので無麻酔で作業を行います。

②ラバーダム防湿を行なった後、表面に付着しているプラークを取り除き歯牙表面を一層 研磨します。

③少し広めにエッチング処理を行います。

④一本ずつ仕上げていくので片側から 歯の外形を作るマトリックスを指摘します。

⑤歯の外形をイメージして固定します。

⑥接着剤を流し込みます。この時、隣在歯に流れていかないように気をつけます。

⑦段差が出来ないように歯頚部に一気にレジンを流し込んでいきます。

⑧光照射を行い固めてからまた追加して照射して固めての繰り返しです。

⑨充塡処置が終わったら反対側の歯にも同じことを行います。

⑩形は歪ですが充塡処置が終了したところです。

⑪形態修正と研磨が終わりラバーダムを外したところです。1回の治療1時間で結果が出ます。
治療費(自由診療) | 40,000×2本+税 |
---|---|
治療後のリスク | 材料の変色や脱落の可能性がある |
変色については定期的に研磨で対応し、脱落はその仕方にもよりますが基本材料の再充塡で対応できます。また10年経過するようであれば再治療をお勧めすると思います。
CASE2
正中離開のケース
正中離開の改善を主訴に来院された患者さんです。距離にして1.5mm程の隙間が左右中切歯間に存在しています。男性で咬合力も強く、切縁にはブラキシズムによる歯のチッピングも認められました。
治療の流れ


①正面から見ると下顎前歯部が見えなくなる程の過蓋咬合です。歯列矯正で治療しようとすると噛み合わせから大きく変える必要があり、時間もコストもかかりやすく患者さんの希望には添えませんでした。ブラキシズムや咬合の問題はありますが、患者さんとの相談の結果、今回はダイレクトボンディングで治療する事としました。


②ラバーダムで歯肉を少しでも排除する様にラバーを伸展させ固定します。エッチング前に歯面研磨を行い少しでも接着力を向上させます。

③限度はありますが歯肉溝深部からレジンを立ち上げるようにマトリックスを固定して材料を積み上げます。

④右上中切歯の充塡作業が終了した直後の状態です。同じ事を左上にも行います。

⑤左右の充塡作業が終了しました。

⑥アストロポルやプロフィンを使用して形態修正と研磨を行います。

⑦治療直後の状態です。歯肉からの立ち上がりも自然に仕上がったと思います。
治療費(自由診療) | 100,000円+税 |
---|---|
治療後のリスク | 材料の変色や脱落の可能性がある |
ダイレクトボンディングは一回の治療で完結させる事が出来ます。今回の患者さんは強いブラキシズムが存在しているので術後レジンの破損が起きる可能性があるので注意深く経過を診ていく必要があります。
大臼歯ダイレクトボンディング
CASE1 大臼歯ダイレクトボンディングのケース
治療の流れ

①患者さんは虫歯治療を希望し来院しました。小窩裂溝に多数の虫歯を認めます。まずは感染歯質を取り除いていきます。

②感染歯質を取り除いた状態です。一部茶色の部分がありますが着色と判断しました。

③通法に則ってラバーダム防湿を行います。歯面処理にエッチング剤を使用します。

④洗浄と乾燥を行いボンディング剤(接着剤)を塗布します。

⑤続いて歯に置き換わる材料を窩洞内に流し込んでいきます。

⑥仕上がった直後の状態です。

⑦噛み合わせを調整し研磨処理を終えた状態です。術後に疼痛や咬合痛(噛んだ時の痛み)が出現するケースもありますが今回は特に問題は起きませんでした。
治療費(自由診療) | 30,000円+税 |
---|---|
治療後のリスク | 材料の変色や脱落の可能性がある |
CASE2 大臼歯ダイレクトボンディングのケース
大臼歯のダイレクトボンディング症例です。虫歯治療を希望して来院された患者さんです。左上第一大臼歯に虫歯を認め旧修復物と虫歯をまず除去していきました。
治療の流れ

①感染歯質を取り除きラバーダム防湿を行いました。隣接面部に大きな実質欠損を認めます。

②緑枠のような修復を行なっていきます。

③通法通りにエッチング処置を行います。

④隣接面をマトリックスというフィルムみたいなもので歯の外形を作ります。

⑤ほぼ天然の形態にマトリックスを設置することが出来ました。歯茎寄りのマトリックスにはウェジェッツというゴムの紐を適合させ、隙間を作らないようにします。

⑥ボンディング剤(接着剤)を流し込みます。

⑦段差を作らないように歯茎部からレジンを流し込んで固めていきます。

⑧マトリックスを取り除き辺縁隆線を材料の表面張力を利用しながら、隣在歯に材料がくっつかないように材料を流し込んでいきます。

⑨隣接面の形態が完成し、あとは咬合面を充填するのみです。

⑩全ての充塡が終了したところです。

⑪完全硬化させる為にオキシガードという薬剤で酸素を遮断し、最終的な光照射を行います。

⑫研磨を行いました。

⑬隣接面部の確認です。

⑭緑色の線のように天然歯に近似した形態で材料のはみ出しもなく綺麗に充塡する事が出来ました。

⑮咬合調整後です。感染歯質を取り除き即日で治療を終えることが出来ました。
治療費(自由診療) | 30,000円+税 |
---|---|
治療後のリスク | 治療後のリスクとして術後疼痛や咬合痛が出現する可能性があります。 |
CASE3 大臼歯ダイレクトボンディングのケース
大臼歯のダイレクトボンディング症例です。虫歯治療を希望して来院された患者さんです。他の歯を治療中にメタルインレーが脱落してしまいました。
治療の流れ

①脱落前の状態です。咬合面に多少の虫歯を認めます。

②自然脱落しただけあり、虫歯も存在していましたが修復物自体のデザインにも問題があったのかもしれません。感染歯質を取り除きラバーダム防湿を行いました。遠心部分の歯が大きく失われてしまいました。

③エッチング処理後接着剤(ボンディング)を浸透させます。

④レジンを流し込んでいきます。

⑤遠心部分は材料の表面張力を利用しながら歯の外形を構築していきます。

⑥咬合面部もなるべく歯の溝を作っていきます。

⑦充塡処置が終了したところです。本来の歯牙形態に戻す治療のことを『インビジブルレストレーション』と言います。

⑧咬合調整と研磨処置を終えました。

⑨大きく失われてしまった遠心部分も本来の歯の外形に近似した再現ができたと思います。

⑩治療回数は一回です。
治療費(自由診療) | 30,000円+税 |
---|---|
治療後のリスク | 治療後のリスクとして術後疼痛や咬合痛が出現する可能性があります。 |
最後方臼歯は咬合の力がかかりやすく材料の破損が起きたりしますが、基本的には修繕で対応します。破損を繰り返すようならクラウン処置への移行を検討します。
CASE4 大臼歯ダイレクトボンディングのケース
大臼歯のダイレクトボンディング症例です。上顎の最後方臼歯は頬粘膜も近く、開口した時に筋突起が邪魔をしてプラークコントロールが悪くなりがちな部位です。個人差はありますが、虫歯が出来やすい場所と言えます。患者さんは虫歯治療を希望して来院されました。
治療の流れ

①術前の状態です。咬合面に古い修復物があり、その周りに接着力の低下と見られる着色が認められます。

②一つ手前の歯との間にも虫歯が広がっていました。

③そして頬粘膜側の歯茎部に色の変色がありました。

④残念ながらここも虫歯として穴が空いてしまいます。

⑤感染歯質を全て取り除いた状態です。隣接面、咬合面、頬側面の3つの歯質が大きく失われてしまいました。

⑥緑枠がダイレクトボンディングで充塡する場所です。本来はラバーダム防湿を行い全て充塡したいのですが、頬側のカリエスが深く器具が入らない状況です。

⑦まずは頬側から充塡作業をすることにしました。通法通りエッチング作業です。

⑧ボンディング剤を塗布します。

⑨レジンを流し込んでいきます。

⑩充塡直後の状態です。まだ形態修正や研磨は行っていません。

⑪頬側面が終了したのでラバーダムをかけることが出来る様になりました。これでいつも行なっている2級窩洞になりました。

⑫マトリックスを試適しました。

⑬一つ手前の歯がこれから補綴処置になるので、この段階では外型は大まかな外型となります。

⑭近心側から充塡していきます。

⑮近心側の充塡が終了したところです。これで1級窩洞となりました。

⑯咬合面部も同様に充塡していきます。

⑰全ての充塡処置が終わったところです。

⑱形態修正と研磨と咬合調整を行いました。

⑲頬側面から見たところです。自然な仕上がりになったと思います。一回の治療で充塡することができました。
治療費(自由診療) | 30,000円+税 |
---|---|
治療後のリスク | 治療後に術後疼痛や冷水痛が出現するケースもあります。 |
CASE5 大臼歯ダイレクトボンディングのケース
親知らずは抜歯するイメージが強いと思います。事実当院でも95%以上の第三大臼歯に抜歯することをお勧めしています。ただプラークコントロールが出来てしっかり咬合も構築出来ていて口腔内において悪さする理由がなければ無理して抜歯する必要はないと思います。今回の患者さんは抜歯するか否か大変迷われていました。虫歯治療を主訴に全顎的な治療を当院で行いました。初診日は約5年前になります。
治療の流れ

①当時の状態です。すでに一度充塡処置がなされており、二次カリエスと思われる着色を認めます。特に目立った症状はなく、classⅢの咬合関係を有していた為対合歯としっかり咬んでいる状態でした。

②5年経過し残念ながらカリエスは進行状況にあり、何か手を打たなければ状態でした。

③カリエス除去したところ隣接面にもカリエスが広がっていましたが、幸運にも第二大臼歯遠心面にカリエスは認められませんでした。患者さん本人が現状で温存を希望された為、ダイレクトボンディングで治療を行う事としました。

④第三大臼歯は最後方臼歯であり、ケースによっては半萌出の状態なので大変作業し辛い場所ですが、何とかラバーダム防湿をする事が出来ました。

⑤隣接面最深部からレジンを流し固めています。辺縁隆線を表面張力を利用してなるべく天然歯に近い状態に仕上げていきます。

⑥充塡直後の状態です。

⑦第二大臼歯とのコンタクトも無事復帰させる事が出来ました。

⑧咬合調整をしました。classⅢなのでしっかりと対合歯と接触します。
治療費(自由診療) | 30,000円+税 |
---|---|
治療後のリスク | 治療後に術後疼痛や冷水痛が出現するケースもあります。 |
経過を見ていく過程でどうしても管理しきれなくなったら抜歯しましょうと患者さんには説明しました。術後疼痛や冷水痛もなく経過しているようです。
小臼歯ダイレクトボンディング
小臼歯ダイレクトボンディングの
ケース
小臼歯ダイレクトボンディング症例です。虫歯治療を希望し当院へ来院しました。左上第二小臼歯の咬合面に古いレジン充填が認められます。
治療の流れ

①左上第二小臼歯の咬合面に古いレジン充填が認められます。

②古い材料と感染歯質を取り除くと緑色で囲まれた部分に窩洞が形成されました。

③またこの部位だけでなく隣接面部にも虫歯が存在しており、下部のような窩洞が認められました。

④ラバーダム防湿後にエッチングを行いました。

⑤通法に従い接着処理を行います。

⑥咬合面から歯に置き換わる材料を流し込んでいきます。

⑦続いて隣接面部も同様に材料を固めていきます。

⑧仕上がった直後です。

⑨噛み合わせを調整し表面を研磨しました。
治療費(自由診療) | 30,000円+税 |
---|---|
治療後のリスク | 治療後に術後疼痛や冷水痛が出現するケースもあります。 |
前歯のダイレクトボンディング
CASE1
前歯のダイレクトボンディングケース
前歯ダイレクトボンディングでセパレーターを利用したケースです。虫歯治療を希望し来院された患者さんです。左上2の遠心にカリエスが見つかりました。
治療の流れ

①隣接面部に存在した虫歯を削り始めたところです。象牙質に侵入した虫歯を認めます。

②角度を変えて拡大すると隣の歯にも似たような虫歯を認めました。

③感染歯質を取り除いた状態です。

④緑枠内lに充塡処置を施したいのですが、歯と歯が接触している状態なので作業がやりづらいです。

⑤今回はセパレーター(歯間離開器) を利用しました。器具のネジを巻いていくと接触していた歯が少しずつ離れていきます。少しでも距離を置くことが出来ればマトリックスを使用せず、それぞれ一本ずつ充塡する事が出来ます。

⑥拡大すると1mmにも満たない距離ですが隙間が開いているのが確認できます。ケースバイケースですが今回のような小さな窩洞においては、セパレーターを使用した方が効率よく短時間で正確に充塡出来るような気がします。

⑦通法通りエッチング処理を行います。

⑧接着処理の際はボンディング剤の硬化を早めないようにイエローフィルターをかけます。

⑨小さい窩洞の方から作業を進めます。

⑩充塡直後の状態です。はみ出しや隙間もない状態に仕上がりました。

⑪別角度から確認すると天然歯に則った自然な形態が再現できたと思います。

⑫同様の作業を隣在歯にも行なっていきます。

⑬2本の充塡処置が終了したところです。研磨を行います。

⑭歯が離開してる状態で可能な限り研磨を行います。

⑮研磨が終了し、セパレーターを外していくと歯が元の位置に戻り再び歯と歯の接触が回復しました。

⑯セパレーターを除去したところです。歯肉が退縮していますが、一時的なもので時間の経過とともに回復してきます。

⑰最終研磨をしました。

⑱咬合調整を終えました。虫歯になる前の状態に近づけたかと思います。治療回数は一回です。
治療費(自由診療) | 30,000円×2本+税 |
---|---|
治療後のリスク | 治療後に術後疼痛や冷水痛が出現するケースもあります。 |
CASE2
前歯のダイレクトボンディングケース
歯肉に近い歯茎部は虫歯になりやすい所と言えます。プラークコントロールが難しく今回のケースのような犬歯ですと、側方運動が強くかかりクラック(ヒビ)から感染起こす事もあるでしょう。患者さんは虫歯治療を希望して来院しました。見えにくい場所だったのと症状が特になかった事で虫歯の画像をお見せすると少しびっくりされていました。
治療の流れ

①左上犬歯の遠心歯茎部にカリエスがありました。クラックが多数入っているように見えました。

②感染歯質を取り除いた所です。

③緑枠の部分に充填をしていきます。水洗等を繰り返しているうちに歯肉から出血してきました。本来ラバーダム防湿を行うのですが、今回は止血作業を行ってから充塡することしました。

④止血剤を2〜3分作用させると綺麗に止血が得られます。

⑤エッチング作業です。

⑥非常にクリアな窩洞を確認出来ます。

⑦ボンディング剤(接着剤)を塗布します。

⑧窩洞内は微妙な凹凸がある為、段差や気泡が入らないように確認しながらレジンを流し固めていきます。

⑨表面性状をいろんな角度から確認しながら充塡していきます。

⑩オキシガードという酸素を遮断して最終硬化させます。

⑪ラミニアチップという器具で形態修正を行います。回転器具と違い平面に対する研磨に優れた器具です。

⑫形態修正と研磨が終わりました。

⑬はみ出しや段差のない充塡を行うことによって、プラークの停滞場所を少しでも減らすことが二次カリエス防止に繋がると言われています。
治療費(自由診療) | 30,000円×2本+税 |
---|---|
治療後のリスク | 治療後に術後疼痛や冷水痛が出現するケースもあります。 |
CASE3
前歯のダイレクトボンディングケース
審美治療を希望して来院された患者さんです。全体的にステイン(色素) 沈着を認め、古い治療痕もありました。ステイン除去をしながら一歯ごとにダイレクトボンディングをしていくことにしました。
治療の流れ

①初診時の状態です。喫煙によるステインが認められ、再付着のリスクは高い状態と説明しました。


②左上犬歯から作業を進めて右上中切歯の治療を開始しました。外傷の既往があり、古い材料を除去すると切縁が大きく 欠けていました。


③近心部分には虫歯も存在しており 、複数箇所に穴が空く状況でした。緑枠の部分にダイレクトボンディングで充塡していきます。


④通法通り接着処理をしながら治療を終えました。反対側の歯の切縁部に外傷時に傷ついたと思われる僅かな破損が認められます。今回は治療した歯にも似たような破損をある程度再現した方が自然に見えました。


⑤術前術後の状態です。右上側切歯は後日の治療となります。

⑥術後の正面観です。治療が進むごとに白さが回復していきました。術後疼痛や冷水痛も出現せず順調に経過が辿れています。
治療費(自由診療) | 30,000円×2本+税 |
---|---|
治療後のリスク | 治療後に術後疼痛や冷水痛が出現するケースもあります。 |
CASE4
前歯のダイレクトボンディングケース
虫歯治療を主訴に来院された患者さんです。患者さん本人の自覚はないのですが、歯周病にも問題を抱えている状態でした。まずは歯周病に対する治療から開始しました。
治療の流れ

①初診時の状態です。全体的に歯肉の腫脹を認め炎症が口腔内全体に存在していますが、患者さん本人が自覚できるような症状はまだありませんでした。歯周病の治療のゴールは予防です。これ以上悪化させないように歯石の除去や本人によるブラッシングを徹底してもらいました。

②歯肉の炎症が大方コントロール出来たところでところで虫歯治療を開始していきます。頰側面から見ると古い充塡物が存在するだけです。

③口蓋側から見ると象牙質まで広がった虫歯を確認出来ます。この大きさでも患者さん本人の症状は全くありませんでした。症状を感じるような虫歯治療が根管治療など大掛かりになる事が多いです。

④右上中切歯の虫歯を除去した直後の状態です。隣の左上中切歯の近心側にも黒い部分が確認できます。

⑤角度を変えると治療痕の周辺から虫歯が始まっていました。こちらも合わせて治療していきます。

⑥通法通りマトリックスを合わせて外形を作ってから接着処理をしていきます。

⑦

⑧作業中に長時間自然光に触れているとレジンは硬化を開始してしまいます。それを防止するためにイエローフィルターを使用します。

⑨右上中切歯の充填が終わり形態修正前に左上中切歯の虫歯を除去していきます。

⑩同様に充塡を行います。。

⑪形態修正、研磨、咬合調整が終わりました。

⑫もともと歯周病に問題を抱えている患者さんなのでもしプラークコントロールが上手くいかないとプラークによるレジンの劣化が早い可能性もあります。
治療費(自由診療) | 60,000円+税 |
---|---|
治療後のリスク | 治療後に術後疼痛や冷水痛が出現するケースもあります。 |
まだ多少の歯肉の発赤は認められますが現状は上手く管理できているようです。
CASE5
前歯のダイレクトボンディングケース
口腔内の唾液量が少なかったり、開口や歯列不正が原因で乾燥状態が続くとどうしても汚れやプラークの停滞を招いてしまいます。よって前歯部などにカリエスを作ってしまうケースは少なくありません。今回の患者さんももしかしたら上記のような原因で虫歯になってしまったのかもしれません。患者さんは虫歯治療を希望し、当院で全顎的な治療を行う事になりました。今回は前歯部のダイレクトボンディングです。
治療の流れ

①正面観からは分かりかねますが両中切歯中央部に虫歯を認めました。

②口蓋側から見ると変色が認められます。

③角度を変えて確認すると右上中切歯近心部分にカリエスを認めます。

④同じく左側中切歯近心部分にカリエスを認めます。

⑤おそらく緑線のような窩洞が形成されると予測されます。

⑥窩洞形成後の実際の状態です。ほぼ予測通りの窩洞が確認出来ます。

⑦ただ今回は窩洞が小さすぎて切縁部の歯牙が接触した状態の為、充塡に必要な器具が入り辛いという問題があります。

⑧ラバーダム防湿を行いました。

⑨アイボリーのセパレーター(歯間離開器)でほんのわずかな隙間を作りました。

⑩この0.2〜0.3mmの距離が取れるかどうかで作業のし易さが大きく変わります。通法通りエッチングを行います。

⑪マトリックスを歯茎側はウェッジで固定し、切縁側はセパレーターを一時的に外す事で固定力を高めます。

⑫隔壁が出来てしまえばあとは充塡するだけです。気泡が入らないように、充塡不足がないように確認しながら充塡を繰り返します。

⑬辺縁隆線部はフローレジンの表面張力を利用した方が自然な曲線が作りやすいので再びセパレーターをセットします。

⑭充塡直後の状態です。

⑮セパレーターとラバーダムを除去すると元の接触点が復帰しているのが確認できます。

⑯研磨と咬合調整を行い、拡大して確認すると大きな段差や隙間もなく正確に充塡出来たと思います。
治療費(自由診療) | 60,000円+税 |
---|---|
治療後のリスク | 治療後に術後疼痛や冷水痛が出現するケースもあります。 |
CASE6
前歯のダイレクトボンディングケース
審美障害を主訴に来院された患者さんです。
色調の不調和や形態の左右の対称性、虫歯や色素沈着など問題は多く見られました。
治療の流れ

①初期治療として虫歯の除去とともに不適合な補綴物を除去し環境を改善していきます。
プロビジョナルを作成してして最終補綴前に右上の修復を行う事としました。

②治療前の状態です。
すでに修復がなされているのですが、
ステインやカリエスを認め歯肉を圧迫するような不適合な状態でした。

③窩洞形成が終わりました。
歯髄温存は出来そうな大きさで済みました。
今回はダイレクトボンディングで修復する事にしました。

④ラバーダム防湿と隔壁をした状態です。

⑤ボンディングをしフローレジンを気泡が入らないようチェックしながら流しこんでいきます。


⑦ひとまずフローレジンが終わりマトリックスを除去するとマトリックス分、隣在歯に隙間が生じています。
このままですと食片圧入や歯牙の移動を引き起こしてしまいます。

⑧隙間を埋めるために新たなマトリックスとペーストタイプのレジンを利用します。


⑩ペーストをある程度隙間に押し込みマトリックスを静かに引き抜いていきます。

⑪そうするとコンタクトが復帰しました。
このプルスルーテクニックのいいところは硬化させる前ならやり直しが出来るという事です。

⑫歯茎部のレジンの形態を整えてから最終硬化させます。適切なコンタクトポイントの復帰が出来たかと思います。


⑭最終研磨と咬合調整を行いました。反対側の補綴処置はダイレクトボンディング後に色が落ち着いてから作業を行います。
ラバーダム防湿を行うと必ず歯の乾燥が進み色調が白くなってしまいますが、唾液などの水分が浸透すると元の色調に戻るので術直後の充填部はわずかに色が合わない状態となります。
治療費(自由診療) | 30,000円+税 |
---|---|
治療後のリスク | 治療後に術後疼痛や冷水痛が出現するケースもあります。 |
CASE7
前歯のダイレクトボンディングケース
患者さんは21歳女性です。前歯の正中離開の改善を主訴に来院されました。
矯正治療での改善よりダイレクトボンディングでの治療を希望されました。クレンチング又はグラインディングによるブラキシズムが存在する可能性が高いですが、経過を診ていく事を説明しました。
治療の流れ

①初診時の状態です。両側中切歯間に1mm程の空隙が認められます。

②ラバーダム防湿を行い歯面清掃を行います。
可能な限り歯肉縁下まで研磨を行います。

③エッチング処理を終え、マトリックスを試適しボンディングを行います。過不足ないように、気泡の混入がないように確認しながら慎重にフローレジンを流し込みます。

④頬側面の隅角を作っていきます。

⑤左側の充塡が終了しました。
右側も同様に充填していきます。

⑥左右充填を終えましたがマトリックス分の隙間が出来てしまっているので、ペーストレジンにて埋めていきます。


⑦空隙が無くなりました。

⑧研磨を行います。

⑨ラバーダムを除去し研磨を終えたところです。
少し近心切縁の隅角が角張っているように見えるのですが患者さん本人は問題ないとのこと。

⑩別角度で確認を行います。ラバーダムの影響か歯肉が少し発赤しています。次の来院時に使い心地や汚れの付き具合、シェードチェックなど患者さんに確認します。
虫歯があるわけではないので術後痛は出にくいと思われます。材料は必ず経年劣化していきますが咬合調整や研磨をしながら経過を診ていきます。
治療費(自由診療) | 100,000円+税 |
---|---|
治療後のリスク | 治療後に術後疼痛や冷水痛が出現するケースもあります。 |
カメレオン効果
Case1
歯の色を表す時にシェードガイドという指標で表します。A系統からD系統まであり、さらに数字で分類されます。人種によっても変わりますが、日本人はA3やA3.5が多いと言われています。患者さんは審美治療を希望して来院されました。金属を使用した修復がなされていましたが、色を自然な白さにしたいそうです。
治療の流れ


①インレーを除去したところです。窩洞の深さと大きさからダイレクトボンディングで治療することとしました。通法通りラバーダム防湿を行います。ただ歯のシェードがA系統ではなくC系統もしくはD系統なので色を完全に合わせたレジンを充填することは難易度の高い作業と言えます。

②エッチング作業です。

③ラバーウェッジテクニックで窩洞の隔壁を行います。

④歯の外形は問題なさそうです。

⑤ボンディング剤を塗布します。

⑥レジンを流し込んでいきます。

⑦光照射して材料を固めます。この時あまり大量のレジンは流し込みすぎず、回数で積層していきます。

⑧充塡を繰り返していきます。

⑨隣在歯に触れないように表面張力を利用しながら辺縁隆線を仕上げていきます。

⑩充塡直後の状態です。ウェッジが入っている為、コンタクトがない状態ですが、

⑪除去するとコンタクトが確認できます。またレジンは透明感の強い材料なのである程度は歯そのもの の色を光の屈折によって拾い上げてシェードが同調してくれます(カメレオン効果)


⑫歯肉からの歯の立ち上がりも段差やはみ出しもなく問題無いようです。

⑬咬合調整を終えました。1日で治療を終えることが出来ました。

⑭写真をモノクロにすると明度の違いが出ますが実際の口腔内では許容範囲の色が再現出来たと考えています。
治療費(自由診療) | 30,000円+税 |
---|---|
治療後のリスク | 治療後に術後疼痛や冷水痛が出現するケースもあります。 |
ダイレクトボンディングの
即日虫歯治療例
Case1
虫歯治療を希望して来院された患者さんです。
治療を進める過程で銀色の金属冠を撤去する事になりました。
治療の流れ

①術前の状態です。

②除去するとクラウンマージン部分から微少漏洩と思われる黒い部分が認められます。

③除去した隣接歯に大きなカリエスを認めます。

④カリエスを削っていくとまだまだ深そうです。

⑤完全に除去するとこのような大きな窩洞となりました。ダイレクトボンディングにより修復していきます。

⑥ラバーダム防湿とエッチング処理を行い、ボンディング後フローレジンを流し込んでいきます。
凸凹の窩底部を気泡が入りにくいように
平らに仕上げていきます。

⑦隣接面部も同様にフローレジンを流していき、
可及的に天然歯の形態に近づけておきます。

⑧窩底部と隣接麺が仕上がりました。

⑨咬合面はパテタイプのレジンで裂溝を可及的に再現していきます。

⑩裂溝部にステインを付与していきます。

⑪適度に08ファイルでステインレジンを
延ばしていきます。

⑫咬頭頂付近は明度も高いので乳歯色のレジンを部分的に複数箇所へ流していきます。

⑬充填処置が完了した直後の状態です。

⑭咬合調整と研磨が終わりました。
ケースにもよりますがレジン部分に強く咬合はさせないようにしています。後方臼歯なので経年的にレジン部や歯質の破折を認めることもありますが、多くの場合修繕が可能となっています。
また感染の機会を最小限にする事で虫歯治療のリスクである術後痛や冷水痛は最小限に止まってくれる事がほとんどです。
術後何か異常を感じた時はお早めにご相談ください。
治療費(自由診療) | 50,000円+税 |
---|---|
治療後のリスク | 治療後に術後疼痛や冷水痛が出現するケースもあります。 |
なるべく削らない、
やり直しのない精密な歯科治療

一般歯科・矯正歯科「 エムデンタルオフィス」は五反田駅から徒歩1分の歯科医院です。
なるべく削らない・やり直しのない精密治療・痛くない丁寧な治療を行なっています。
五反田で歯医者をお探しならお気軽にご相談ください。
- 駅近の歯医者
- デンタルローン対応
- 土曜診療
- 充実の歯科医療設備