下の歯一本を治したい【下顎ラビアル矯正(表側矯正)】
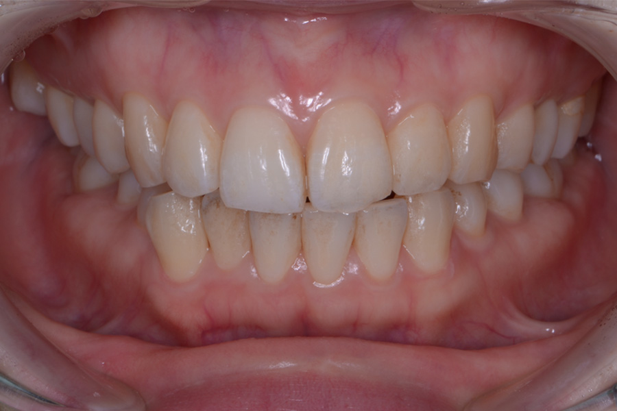
治療前

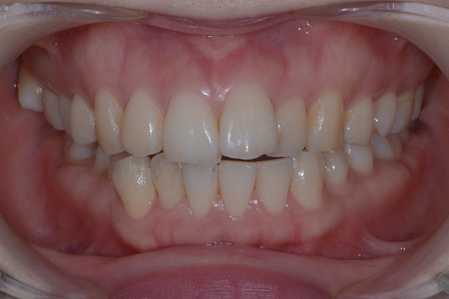
治療後

| 担当医 | |
|---|---|
| 主訴 | 下の歯一本を治したい |
| 期間 | 3ヶ月 |
| 費用 | 15万+tax (別途調整料) |
| 治療内容 | 下顎ラビアル矯正(表側矯正) |
| 治療に伴うリスク | 後戻り |


| 担当医 | |
|---|---|
| 主訴 | 下の歯一本を治したい |
| 期間 | 3ヶ月 |
| 費用 | 15万+tax (別途調整料) |
| 治療内容 | 下顎ラビアル矯正(表側矯正) |
| 治療に伴うリスク | 後戻り |
一般歯科・矯正歯科「 エムデンタルオフィス」は五反田駅から徒歩1分の歯科医院です。
なるべく削らない・やり直しのない精密治療・痛くない丁寧な治療を行なっています。
五反田で歯医者をお探しならお気軽にご相談ください。