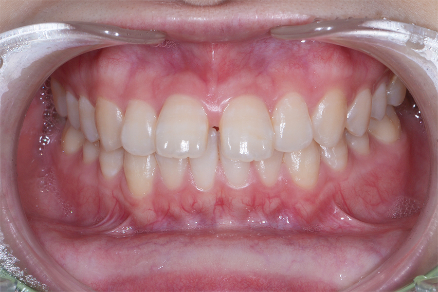
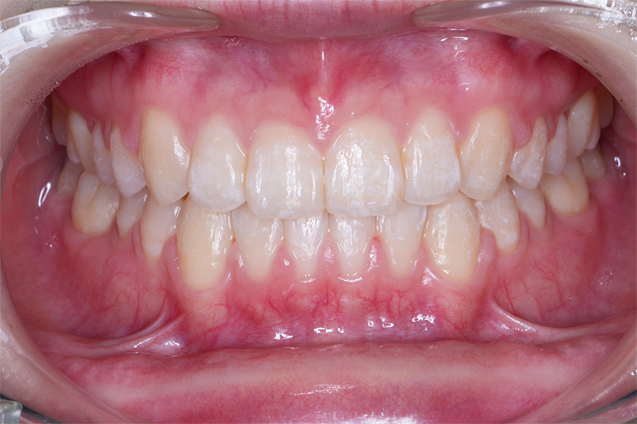
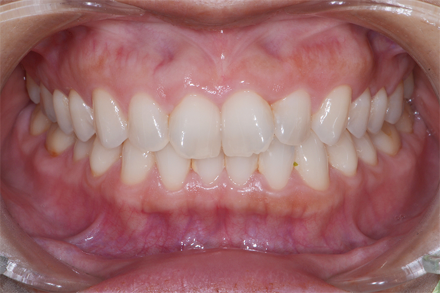
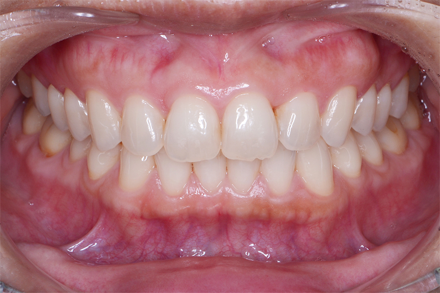
前歯を矯正したい
【20代女性】
前歯の隙間を無くして
出っ歯を引っ込めたい
【矯正歯科治療】
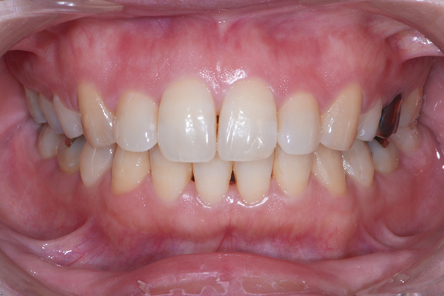
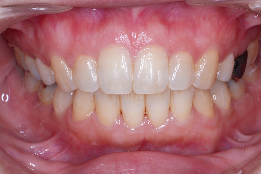
【40代女性】
前歯の隙間を埋めるのと
歯の先端を揃えたい
【矯正歯科治療】
【30代女性】
隙間を無くして
前歯を引っ込めたい
【矯正歯科治療】
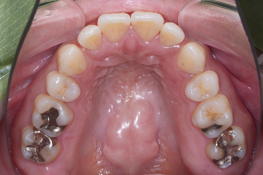
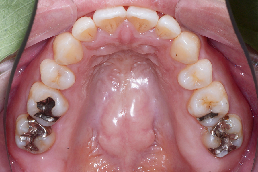
【30代男性】
前歯と奥歯の
ねじれを治したい
【矯正歯科治療】
- 担当医
- 三留先生
- 主訴
- 前歯と奥歯のねじれを治したい
- 期間
- 治療期間10か月
- 費用
- 治療費20万(別途調整料)
※デンタルローン60回 ¥3,800/月
- 治療内容
- 上顎ラビアル矯正(表側矯正)
- 治療に伴うリスク
- 後戻り
【40代女性】
真ん中二本の捻じれた歯を
治したい
【矯正歯科治療】
【20代女性】
前歯を引っ込めたい
【矯正歯科治療】
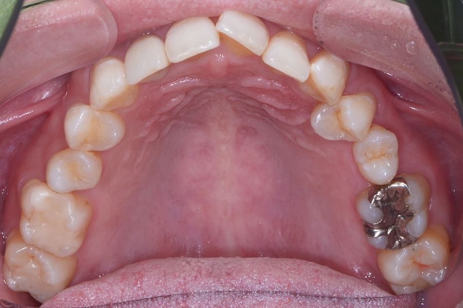
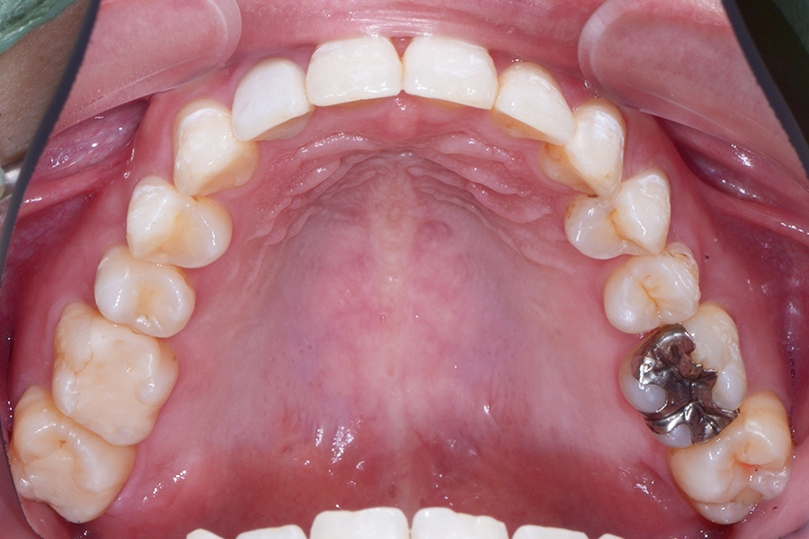
【30代女性】
引っ込んでいる部分を治したい
【矯正歯科治療】
- 担当医
- 三留先生
- 主訴
- 引っ込んでいる部分を治したい
- 期間
- 7か月
- 費用
- 治療費30万+30万(別途調整料)
- 治療内容
- 上下顎リンガル矯正(裏側矯正)
- 治療に伴うリスク
- 後戻り
【20代女性】
真ん中二本のねじれを
引っ込めたい
【矯正歯科治療】
- 担当医
- 三留先生
- 主訴
- 真ん中二本のねじれを引っ込めたい
- 期間
- 7か月
- 費用
- 治療費20万(別途調整料)
- 治療内容
- 上顎ラビアル矯正(表側矯正)
- 治療に伴うリスク
- 後戻り
【20代女性】一本だけ引っ込んでいる。
ねじれも治したい
【矯正歯科治療】
- 担当医
- 三留先生
- 主訴
- 一本だけ引っ込んでいる。ねじれも治したい
- 期間
- 12か月
- 費用
- 治療費35万+35万(別途調整料)
- 治療内容
- 上下顎リンガル矯正(裏側矯正)
- 治療に伴うリスク
- 後戻り
【20代女性】すきっ歯(隙間)と
咬み合わせを良くしたい
【矯正歯科治療】
- 担当医
- 三留先生
- 主訴
- すきっ歯(隙間)と咬み合わせを良くしたい
- 期間
- 治療期間10か月
- 費用
- 治療費35万+20万(別途調整料)
- 治療内容
- ハーフリンガル矯正(上顎裏側・下顎表側矯正)
- 治療に伴うリスク
- 後戻り



















