部分矯正 症例集

部分矯正の症例集
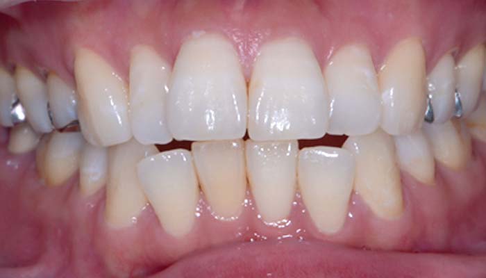
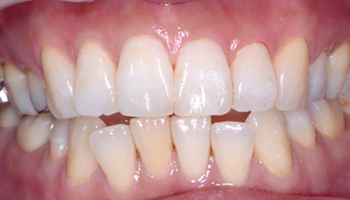
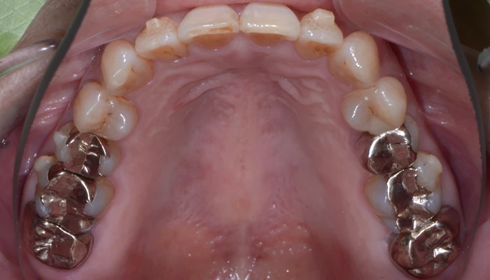
症例1. 上顎のみ部分矯正/
すきっぱ (正中離開)
治療前


治療後


治療期間 | 3ヶ月 |
---|---|
治療費 | 10万+tax (別途調整料) |
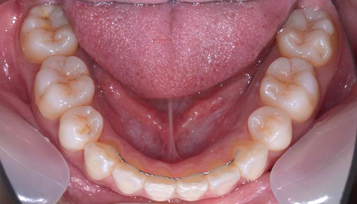
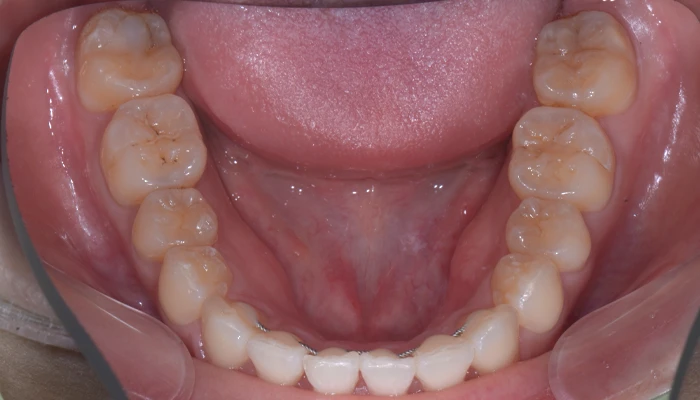
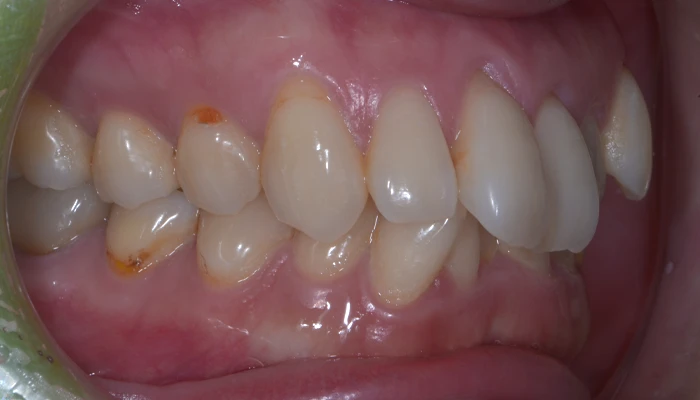
症例2. 下顎のみ部分矯正
治療前

治療後

治療期間 | 6ヶ月 |
---|---|
治療費 | 20万+tax (別途調整料) |
症例3. 上顎のみ部分矯正/
前歯の凸凹 (叢生)
治療前


治療後


治療期間 | 6ヶ月 |
---|---|
治療費 | 15万+tax (別途調整料) |
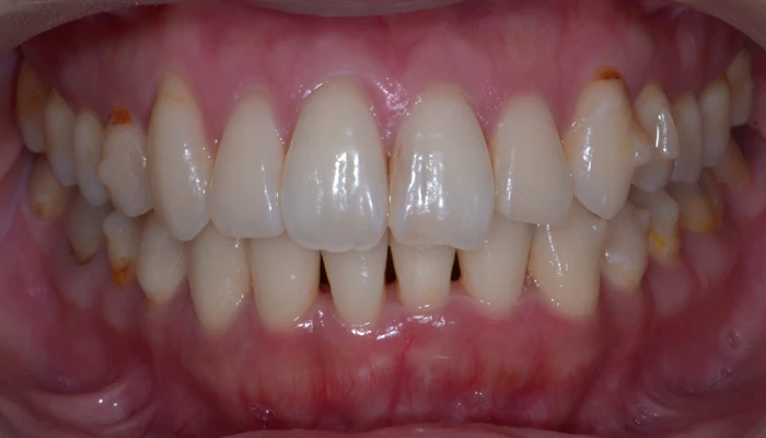
症例4. 上下の部分矯正/
出っ歯 (上顎前突)
治療前




治療後




治療期間 | 12ヶ月 |
---|---|
治療費 | 35万×2+tax (別途調整料) |
症例5. 上顎のみ部分矯正/
前歯の凸凹 (叢生)
治療前



治療後



治療期間 | 10ヶ月 |
---|---|
治療費 | 20万+tax (別途調整料) |
症例6. 上下の部分矯正/
出っ歯 (上顎前突)
治療前




治療後




治療期間 | 10ヶ月 |
---|---|
治療費 | 30万×2+tax (別途調整料) |
症例7. 上下の部分矯正/
すきっぱ (正中離開)
治療前



治療後



治療期間 | 12ヶ月 |
---|---|
治療費 | 40万+tax (別途調整料) |
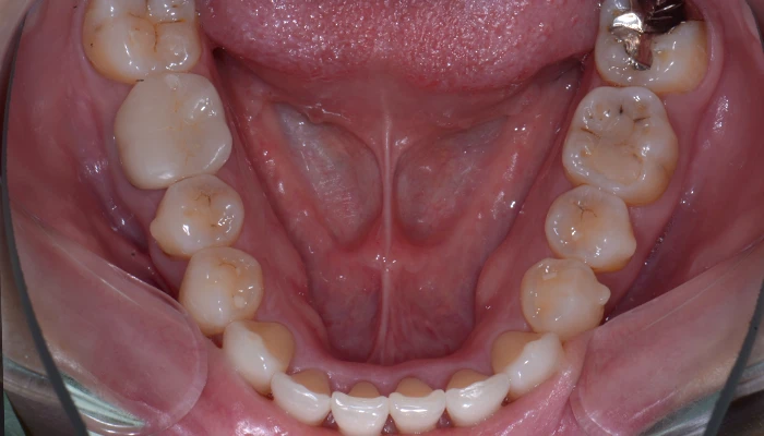
症例8. 下顎のみ部分矯正/
大臼歯近心移動
治療前


治療後


治療期間 | 18ヶ月 |
---|---|
治療費 | 15万+tax (別途調整料) |
治療例9. 上下の部分矯正
治療前

治療後

主訴 | 前歯のガタツキ |
---|---|
治療期間 | 10ヶ月 |
治療費 | 20万×2+tax (別途調整料) |
治療内容 | 上下顎ラビアル矯正(表側矯正) |
治療のリスク | 後戻り |
治療例10. 上顎の部分矯正
治療前

治療後

主訴 | 前歯のねじれを治したい |
---|---|
治療期間 | 6ヶ月 |
治療費 | 20万+tax (別途調整料) |
治療内容 | 上顎ラビアル矯正(表側矯正) |
治療のリスク | 後戻り |
治療例11. 前歯のガタツキと
咬み合わせを治したい
治療前

経過

治療後

主訴 | 前歯のガタツキと咬み合わせを治したい |
---|---|
治療期間 | 10ヶ月 |
治療費 | 70万+tax (別途調整料) |
治療内容 | 上下顎リンガル矯正(裏側矯正) |
治療のリスク | 後戻り |
治療例12. 上下の部分矯正
治療前

経過

治療後

主訴 | 八重歯と咬み合わせを治したい |
---|---|
治療期間 | 9ヶ月 |
治療費 | 40万+tax (別途調整料) |
治療内容 | 上下顎ラビアル矯正(表側矯正) |
治療のリスク | 後戻り |
治療例13. 下の歯一本を治したい
治療前

治療後

主訴 | 下の歯一本を治したい |
---|---|
治療期間 | 3ヶ月 |
治療費 | 15万+tax (別途調整料) |
治療内容 | 下顎ラビアル矯正(表側矯正) |
治療のリスク | 後戻り |
治療例14. 上の歯のねじれと隙間を治したい
治療前


治療後


主訴 | 上の歯のねじれと隙間を治したい |
---|---|
治療期間 | 7ヶ月 |
治療費 | 20万+tax (別途調整料) |
治療内容 | 上顎ラビアル矯正(表側矯正) |
治療のリスク | 後戻り |
治療例15. 下の歯のガタツキを治したい
治療前

経過

治療後

主訴 | 下の歯のガタツキを治したい |
---|---|
治療期間 | 10ヶ月 |
治療費 | 35万+tax (別途調整料) |
治療内容 | 下顎リンガル矯正(裏側矯正) |
治療のリスク | 後戻り |
治療例16. 前歯の隙間が気になる
治療前


治療後


治療前

経過

治療後

主訴 | 前歯の隙間が気になる |
---|---|
治療期間 | 8ヶ月 |
治療費 | 30万+tax (別途調整料) |
治療内容 | 上顎リンガル矯正(裏側矯正) |
治療のリスク | 後戻り |
治療例17. 前歯のズレを治したい
治療前



治療後



主訴 | 前歯のズレを治したい |
---|---|
治療期間 | 11ヶ月 |
治療費 | 70万+tax (別途調整料) |
治療内容 | インビザライン矯正(マウスピース矯正) |
治療のリスク | 後戻り |
治療例18. 八重歯を治したい
治療前




治療後




主訴 | 八重歯を治したい |
---|---|
治療期間 | 10ヶ月 |
治療費 | 70万+tax (別途調整料) |
治療内容 | インビザライン矯正(マウスピース矯正) |
治療のリスク | 後戻り |
矯正治療のリスクは、場合によっては後戻りが考えられます。