【20代女性】
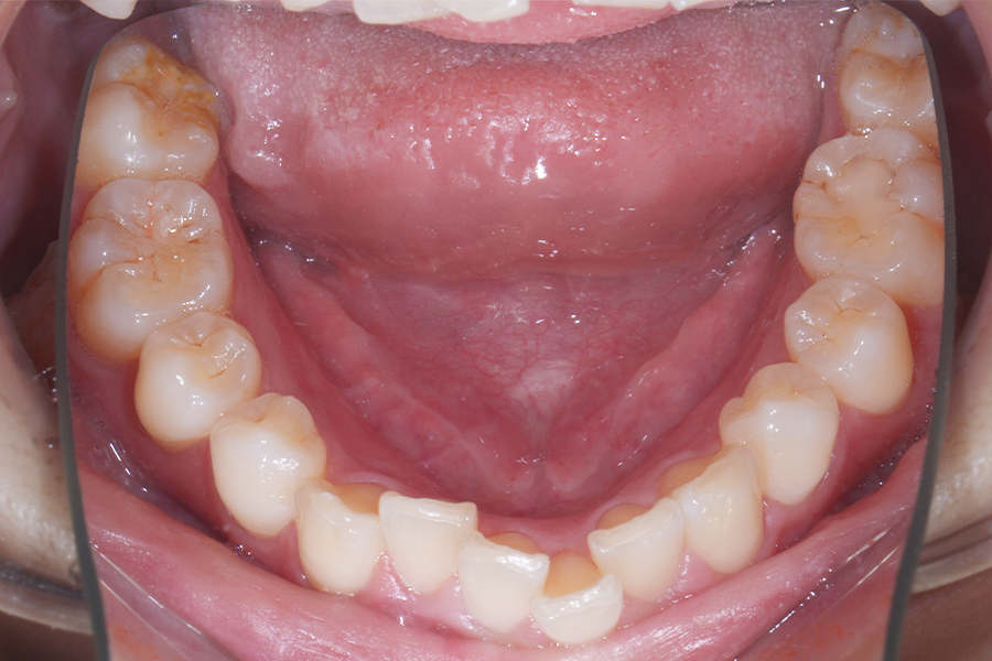
下の歯の捻じれて飛び出している歯を引っ込めたい
【矯正歯科治療】
治療前

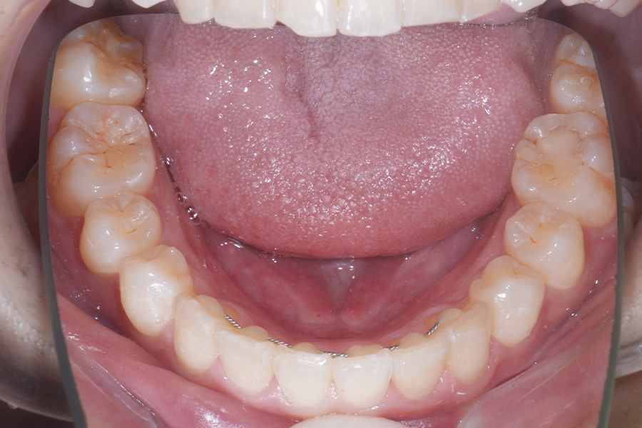
治療後

治療前

治療後

| 担当医 | 三留先生 |
|---|---|
| 主訴 | 下の歯の捻じれて飛び出している歯を引っ込めたい |
| 期間 | 治療期間 6か月 |
| 費用 | 治療費20万(別途調整料) デンタルローン50回 ¥4,600/月 |
| 治療内容 | 下顎ラビアル矯正(表側矯正) |
| 治療に伴うリスク | 後戻り |




| 担当医 | 三留先生 |
|---|---|
| 主訴 | 下の歯の捻じれて飛び出している歯を引っ込めたい |
| 期間 | 治療期間 6か月 |
| 費用 | 治療費20万(別途調整料) デンタルローン50回 ¥4,600/月 |
| 治療内容 | 下顎ラビアル矯正(表側矯正) |
| 治療に伴うリスク | 後戻り |
一般歯科・矯正歯科「 エムデンタルオフィス」は五反田駅から徒歩1分の歯科医院です。
なるべく削らない・やり直しのない精密治療・痛くない丁寧な治療を行なっています。
五反田で歯医者をお探しならお気軽にご相談ください。