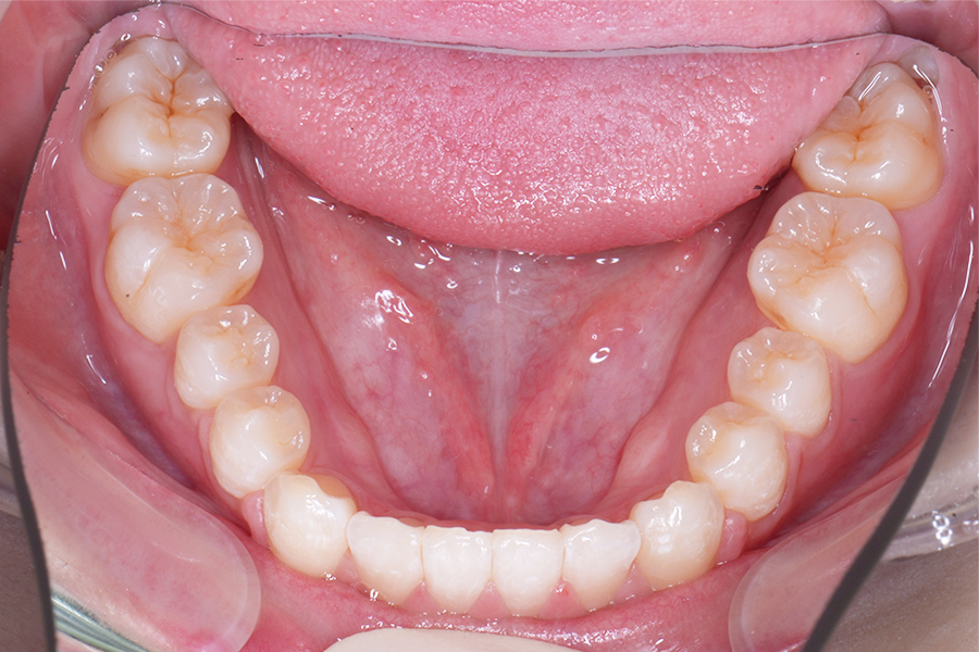
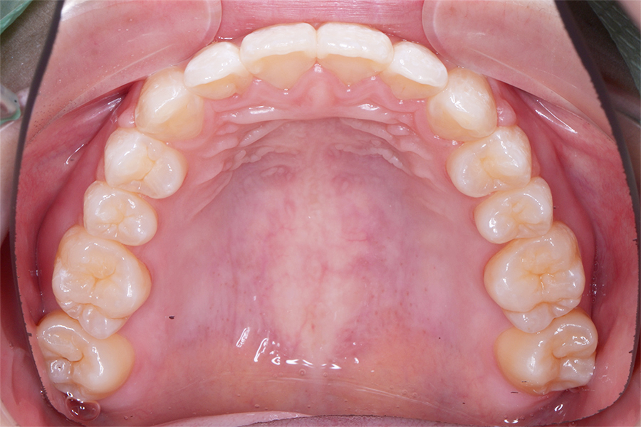
【20代女性】
前歯の隙間を無くして
出っ歯を引っ込めたい
【矯正歯科治療】
-
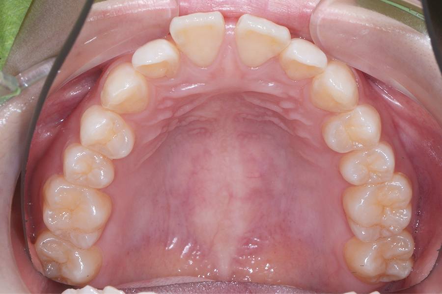
治療前
-
治療後
-
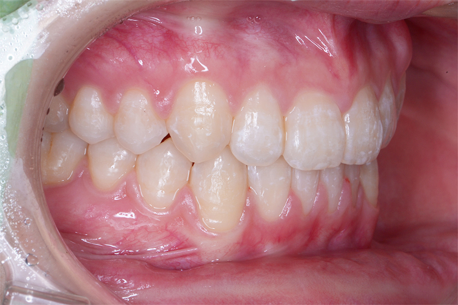
治療前
-
治療後
-
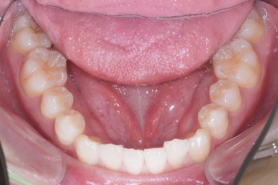
治療前
-
治療後
-
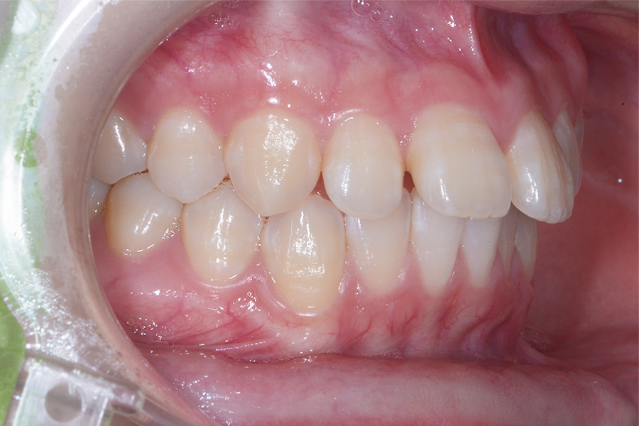
治療前
-
治療後
| 担当医 | 三留先生 |
|---|---|
| 主訴 | 前歯の隙間を無くして出っ歯を引っ込めたい |
| 期間 | 治療期間10か月 |
| 費用 | 治療費20万+20万(別途調整料) ※デンタルローン100回 ¥4,600/月 |
| 治療内容 | 上下顎ラビアル矯正(表側矯正) |
| 治療に伴うリスク | 後戻り |



















