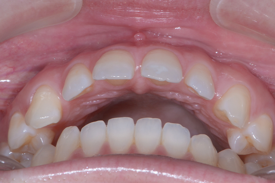
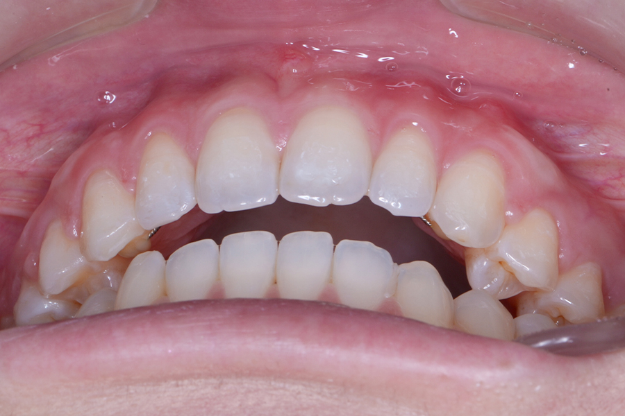
【30代女性】
出っ歯とすきっ歯を
両方治したい
【矯正歯科治療】
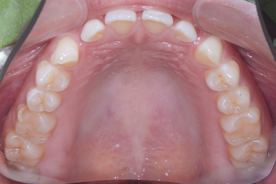
治療前

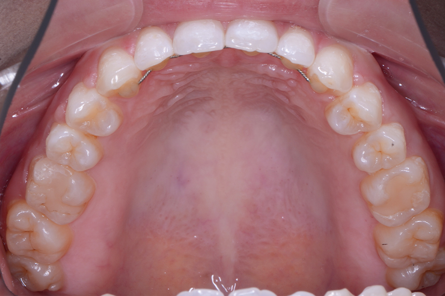
治療後

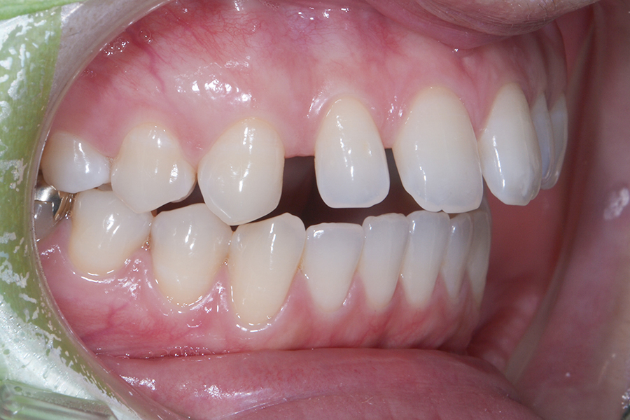
治療前

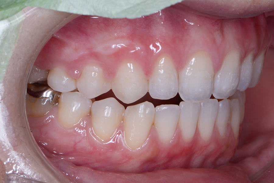
治療後

治療前

治療後

治療前

治療後

| 担当医 | 三留先生 |
|---|---|
| 主訴 | 出っ歯とすきっ歯を両方治したい |
| 期間 | 治療期間 14か月 |
| 費用 | 治療費20万(別途調整料) デンタルローン45回 ¥5,100/月 |
| 治療内容 | 上顎ラビアル矯正(表側矯正) |
| 治療に伴うリスク | 後戻り |








| 担当医 | 三留先生 |
|---|---|
| 主訴 | 出っ歯とすきっ歯を両方治したい |
| 期間 | 治療期間 14か月 |
| 費用 | 治療費20万(別途調整料) デンタルローン45回 ¥5,100/月 |
| 治療内容 | 上顎ラビアル矯正(表側矯正) |
| 治療に伴うリスク | 後戻り |
一般歯科・矯正歯科「 エムデンタルオフィス」は五反田駅から徒歩1分の歯科医院です。
なるべく削らない・やり直しのない精密治療・痛くない丁寧な治療を行なっています。
五反田で歯医者をお探しならお気軽にご相談ください。