03-3444-7770 ご予約・ご相談などお気軽にお電話下さい
(受付:10:00〜20:00、休診日:水・日・祝日)
LINE予約

歯のガタガタを治したい

【20代女性】就活前に前歯を綺麗にしたい 

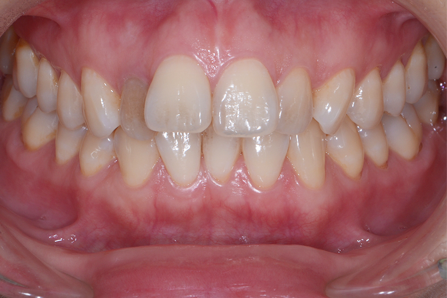
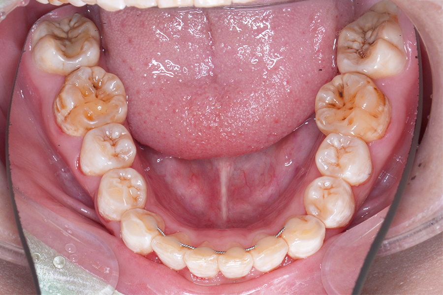
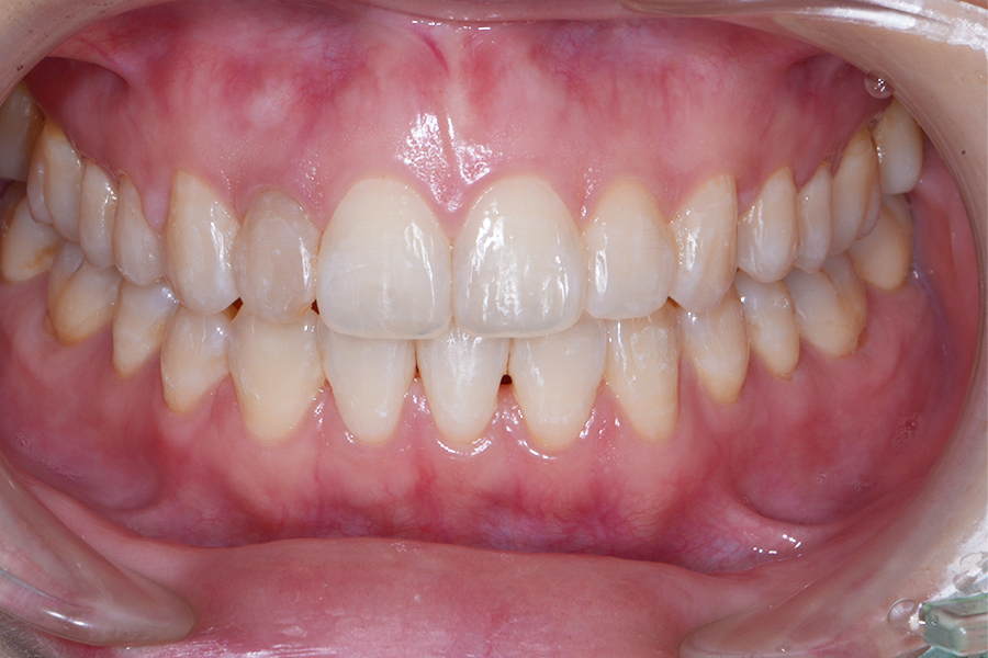
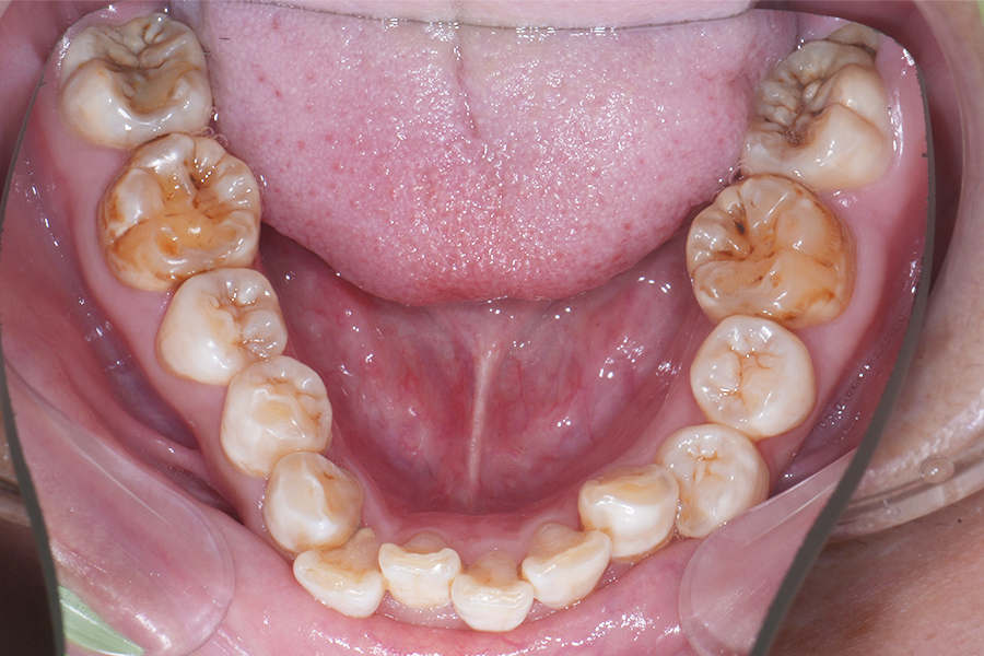
【30代女性】
一本だけ捻じれてる歯も含めて
全体的に前歯を引っ込めたい
【矯正歯科治療】

担当医
三留先生
主訴
一本だけ捻じれてる歯も含めて全体的に前歯を引っ込めたい
期間
治療期間 8か月
費用
治療費20万(別途調整料)
デンタルローン30回 ¥7,700/月
治療内容
上顎ラビアル矯正(表側矯正)
治療に伴うリスク
後戻り

【40代女性】
下の歯だけガタツキを治したい
【矯正歯科治療】

担当医
三留先生
主訴
下の歯だけガタツキを治したい
期間
治療期間6か月
費用
治療費20万(別途調整料)
※デンタルローン40回 ¥5,700/月
治療内容
下顎ラビアル矯正(表側矯正)
治療に伴うリスク
後戻り

【30代女性】
出っ歯を引っ込めたい、
下の歯もガタツキを治したい
【矯正歯科治療】

担当医
三留先生
主訴
出っ歯を引っ込めたい、
下の歯もガタツキを治したい
期間
治療期間10か月
費用
治療費20万+20万(別途調整料)
※デンタルローン120回 ¥3,800/月
治療内容
上下顎ラビアル矯正(表側矯正)
治療に伴うリスク
後戻り

なるべく削らない、
やり直しのない精密な歯科治療

五反田の歯医者 | エムデンタルオフィス

一般歯科・矯正歯科「 エムデンタルオフィス」は五反田駅から徒歩1分の歯科医院です。
なるべく削らない・やり直しのない精密治療・痛くない丁寧な治療を行なっています。
五反田で歯医者をお探しならお気軽にご相談ください。

  • 駅近の歯医者
  • デンタルローン対応
  • 土曜診療
  • 充実の歯科医療設備

五反田で歯医者をお探しの方
ご予約・ご相談はお気軽にどうぞ ▼

LINE予約