03-3444-7770 ご予約・ご相談などお気軽にお電話下さい
(受付:10:00〜20:00、休診日:水・日・祝日)
LINE予約

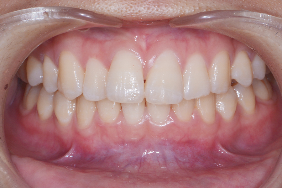
【20代男性】2番目が引っ込んでいる【矯正歯科治療】

  • 治療前

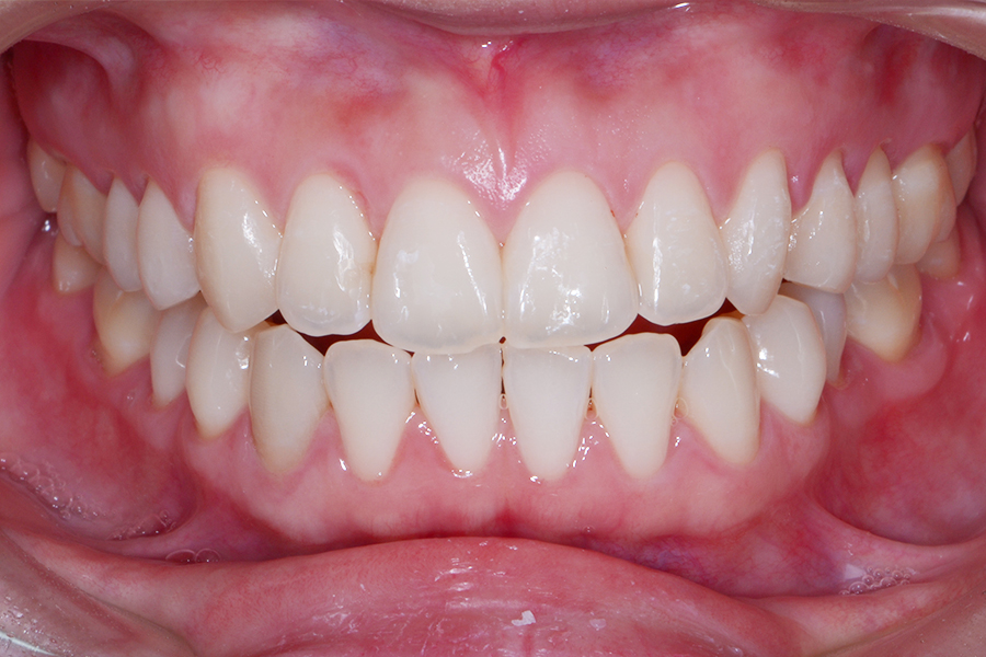
  • 治療後

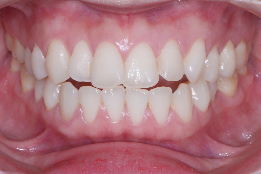
  • 治療前

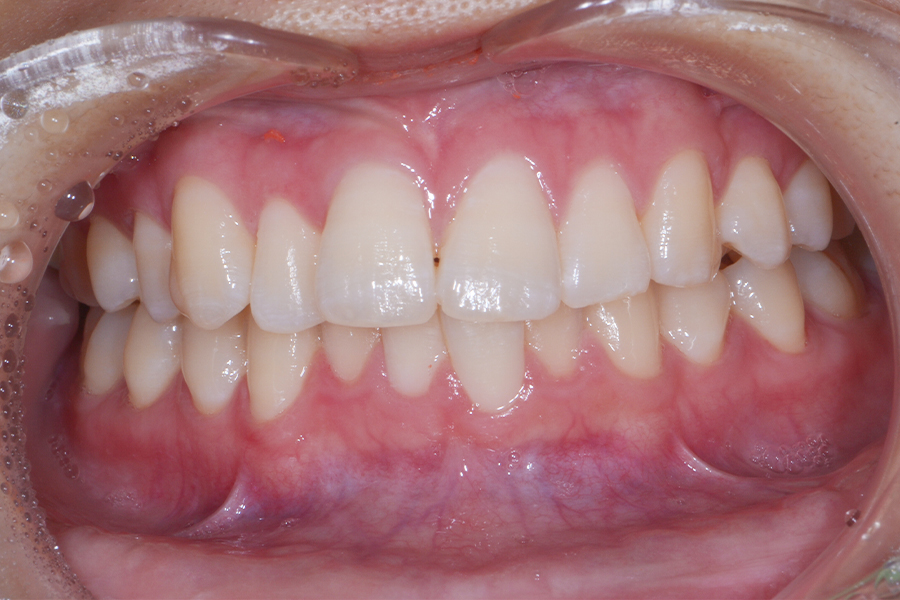
  • 治療後

  • 治療前

  • 治療後

担当医 三留先生
主訴 2番目が引っ込んでいる
下はガタついている
期間 9か月
費用 20万+20万(別途調整料)
治療内容 上下顎ラビアル矯正(表側矯正)
治療に伴うリスク 後戻り

関連症例

なるべく削らない、
やり直しのない精密な歯科治療

五反田の歯医者 | エムデンタルオフィス

一般歯科・矯正歯科「 エムデンタルオフィス」は五反田駅から徒歩1分の歯科医院です。
なるべく削らない・やり直しのない精密治療・痛くない丁寧な治療を行なっています。
五反田で歯医者をお探しならお気軽にご相談ください。

  • 駅近の歯医者
  • デンタルローン対応
  • 土曜診療
  • 充実の歯科医療設備

五反田で歯医者をお探しの方
ご予約・ご相談はお気軽にどうぞ ▼

LINE予約