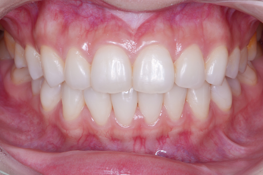
前歯の歯並び(すきっ歯)
-
治療前
-
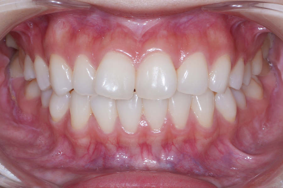
治療後
| 担当医 | 三留 弘之 |
|---|---|
| 主訴 | 準備中 |
| 期間 | 3ヶ月 |
| 費用 | 10万+Tax(別途調整料) |
| 治療内容 | 部分矯正 |
| 治療に伴うリスク | 準備中 |
| 担当医 | 三留 弘之 |
|---|---|
| 主訴 | 準備中 |
| 期間 | 3ヶ月 |
| 費用 | 10万+Tax(別途調整料) |
| 治療内容 | 部分矯正 |
| 治療に伴うリスク | 準備中 |
一般歯科・矯正歯科「 エムデンタルオフィス」は五反田駅から徒歩1分の歯科医院です。
なるべく削らない・やり直しのない精密治療・痛くない丁寧な治療を行なっています。
五反田で歯医者をお探しならお気軽にご相談ください。