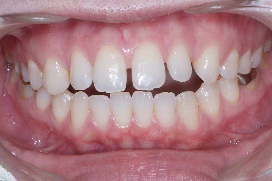
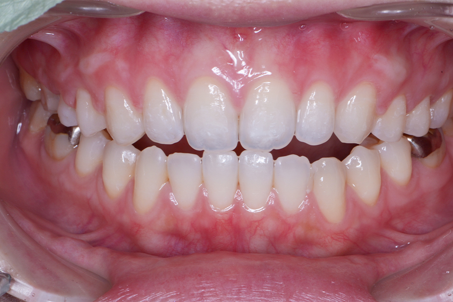
【20代女性】2番目を引っ込めたい【矯正歯科治療】
-
治療前
-
治療後
-
治療前
-
治療後
-
治療前
-
治療後
| 担当医 | 三留先生 |
|---|---|
| 主訴 | 2番目を引っ込めたい 下は捻じれているところが気になる |
| 期間 | 8か月 |
| 費用 | 35万+35万(別途調整料) |
| 治療内容 | 上下顎リンガル矯正(裏側矯正) |
| 治療に伴うリスク | 後戻り |
| 担当医 | 三留先生 |
|---|---|
| 主訴 | 2番目を引っ込めたい 下は捻じれているところが気になる |
| 期間 | 8か月 |
| 費用 | 35万+35万(別途調整料) |
| 治療内容 | 上下顎リンガル矯正(裏側矯正) |
| 治療に伴うリスク | 後戻り |
一般歯科・矯正歯科「 エムデンタルオフィス」は五反田駅から徒歩1分の歯科医院です。
なるべく削らない・やり直しのない精密治療・痛くない丁寧な治療を行なっています。
五反田で歯医者をお探しならお気軽にご相談ください。