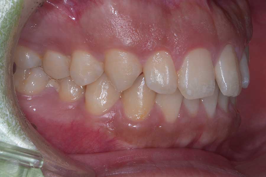
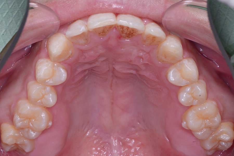
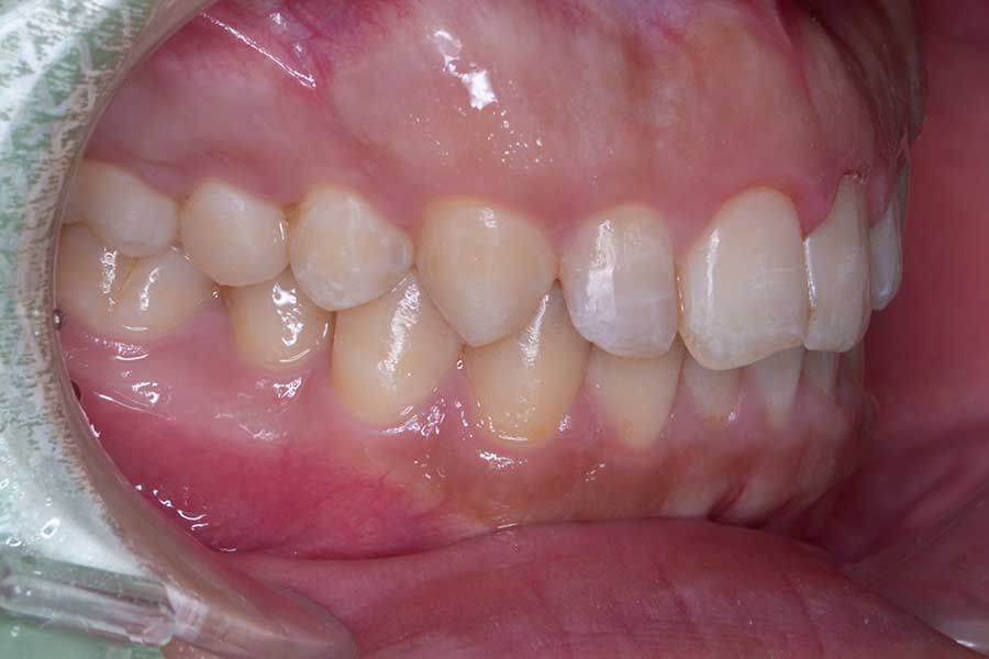
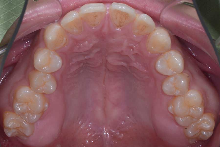
ワイヤー矯正矯正歯科表側矯正(ラビアル矯正) 20代お悩み別治療すきっ歯を治したい前歯が気になる前歯の形を良くしたい前歯の色・形が気になる前歯をキレイにしたい前歯を矯正したい年齢別治療歯並び別治療 2026.03.02 【20代男性】すきっ歯を閉じたい 治療前 治療後 担当医 三留先生 主訴 すきっ歯を閉じたい 期間 7か月 費用 20万(別途調整料) デンタルローン65回 ¥3500/月 治療内容 上顎ラビアル矯正(表側矯正) 治療に伴うリスク 後戻り 関連症例