噛み合わせが深い
「噛み合わせが深い」について
ふだん何気なく行っている「噛む」という動作ですが、実は噛み合わせの深さにも個人差があります。
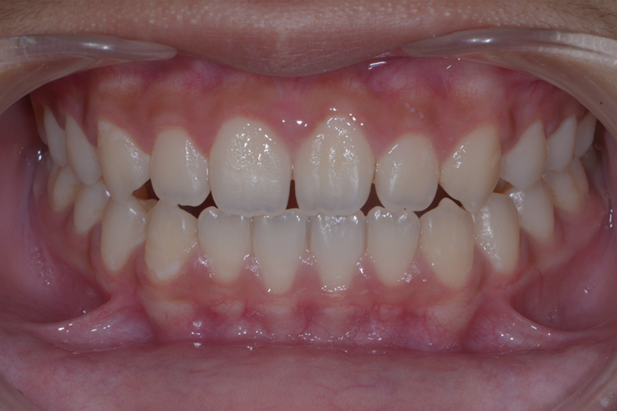
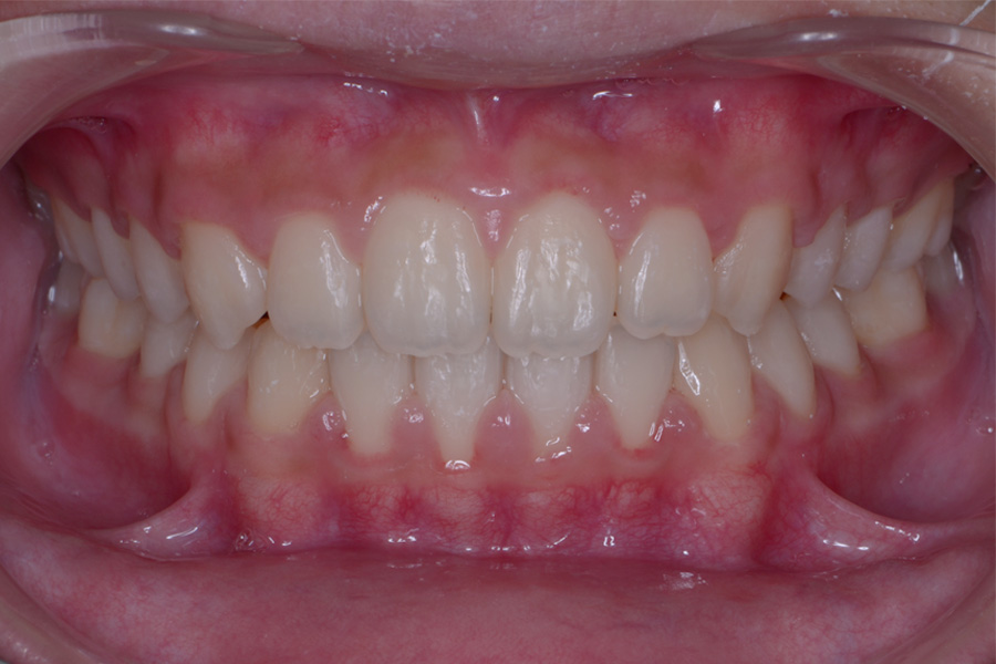
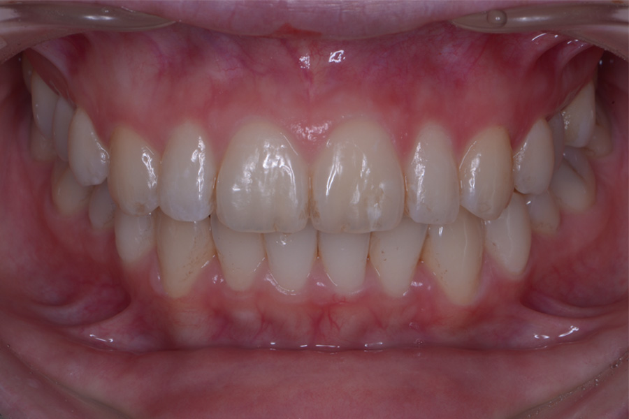
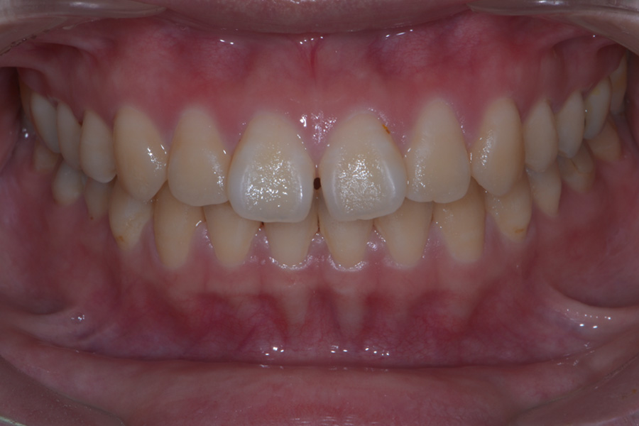
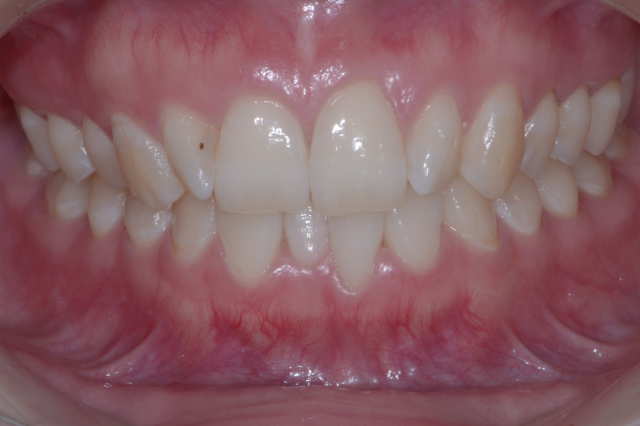
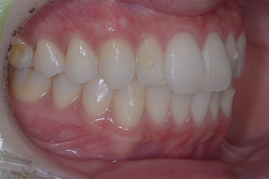
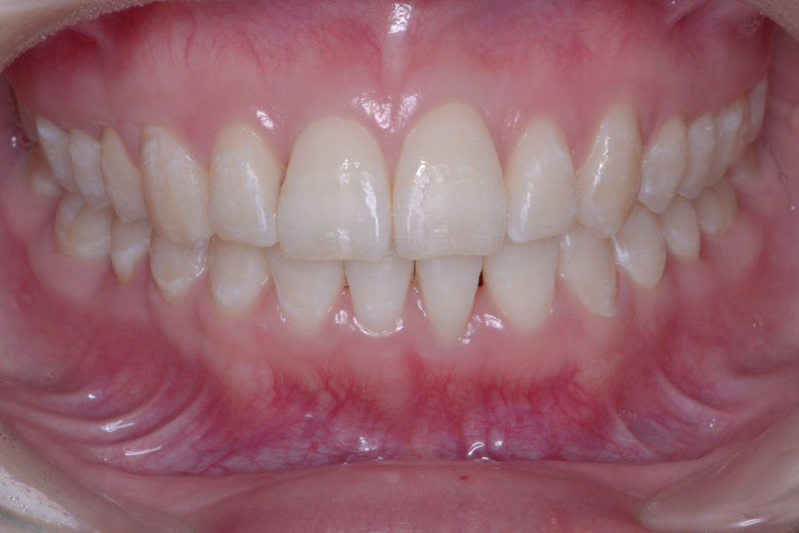
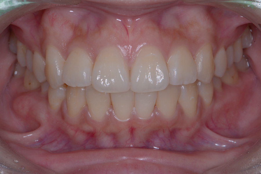
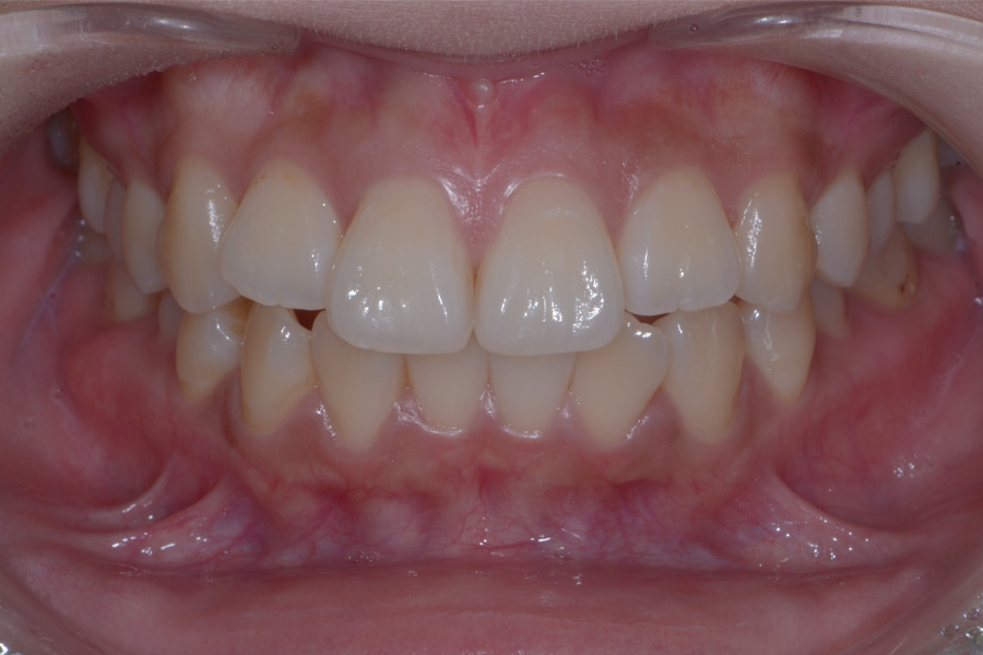
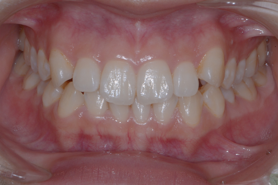
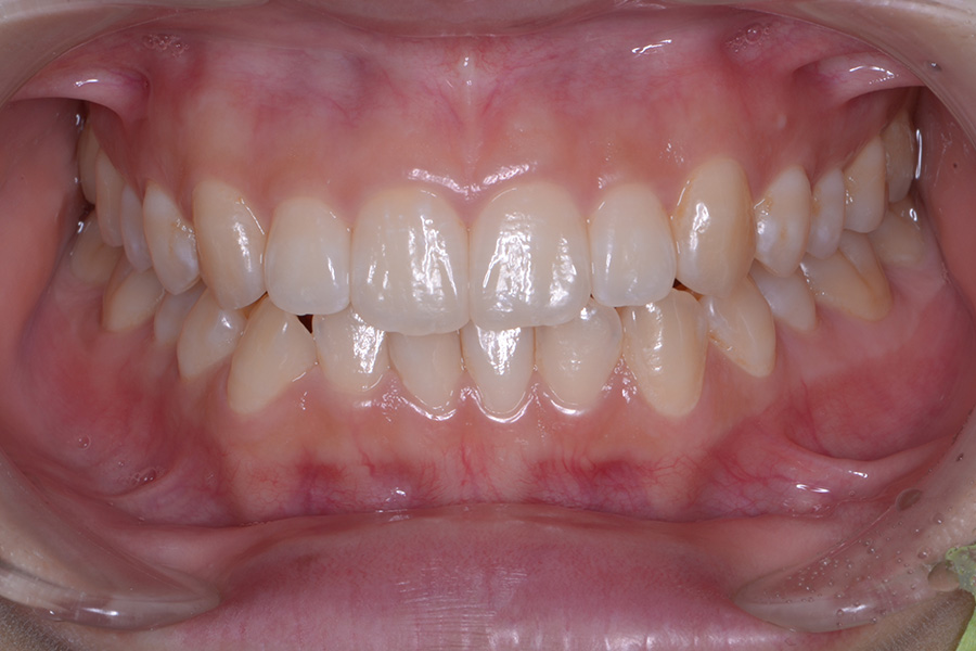
「噛み合わせが深い」とは、上下の歯をしっかり噛んだときに、上の前歯が下の前歯を大きく覆い隠してしまう状態をいいます。専門的には「過蓋咬合(かがいこうごう)」と呼ばれるもので、見た目には下の前歯がほとんど、あるいはまったく見えないこともあります。
本来の正常な噛み合わせでは、上の前歯が下の前歯に少しかぶさる程度が理想的とされています。ところが、過蓋咬合ではその重なりが大きくなりすぎてしまうため、歯並びや口元のバランスに影響が出ることがあります。
このような噛み合わせになる原因はさまざまで、顎の骨の成長バランスに問題がある場合もあれば、歯そのものの傾きや位置に原因があることもあります。特に子どものころにその傾向が見られる場合、早めの対処が望ましいといえるでしょう。
見た目だけでなく、かみ合わせの深さが強すぎると、下の前歯が上の歯ぐきに当たって傷つけてしまったり、顎関節に負担がかかったりすることもあります。
噛み合わせの違い
「普通」と「深すぎる」の境目
噛み合わせなんて、ふだんはあまり気にしないかもしれません。
でも実は、ちょっとしたズレがじわじわと身体に影響を及ぼしてしまうこともあります。
理想的な噛み合わせでは、上の前歯が下の前歯にほんの少し重なる程度。食べるときも話すときもスムーズで、口元の印象も自然です。
ところが、上の歯が深くかぶさるように下の歯を隠してしまうと、「過蓋咬合(かがいこうごう)」と呼ばれる状態に。これが続くと、いろいろな不調が起きてきます。
たとえば、前歯がすり減ってきたり、歯ぐきに傷がついてしまったり。そのせいで、口元の印象が変わってしまうこともあるのです。笑ったときに表情がかたく見えたり、なんとなく違和感が出てくるのもそのせいかもしれません。
実は口だけの問題じゃない?
過蓋咬合が引き起こす意外な影響
口の中だけじゃない。体全体にも影響が
過蓋咬合の問題は、見た目や歯の摩耗にとどまりません。
しっかり噛めなくなると、食べ物を十分に噛み砕けず、そのまま飲み込んでしまいがち。そうなると、消化がうまくいかず胃腸に負担がかかることもあります。
さらに、前歯がいつもぶつかっているような状態では、歯ぐきや粘膜がこすれて炎症の原因になることも。地味だけど、毎日の積み重ねって意外と大きいのです。
顎に余計な力がかかり続けることで、顎関節が痛くなったり、頭痛や肩こりにつながる場合もあります。気づけば「なんだかずっと不調」ってことにもなりかねません。
見た目も影響を受けます。口元が奥まって見えたり、顔の輪郭に違和感が出たり。写真を見返したときに「あれ?」と感じたら、それがサインかもしれません。
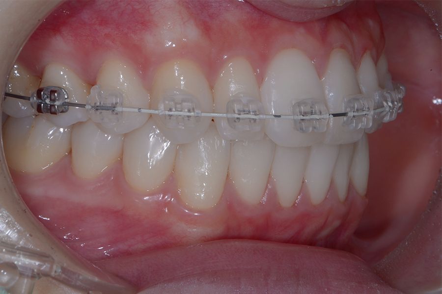
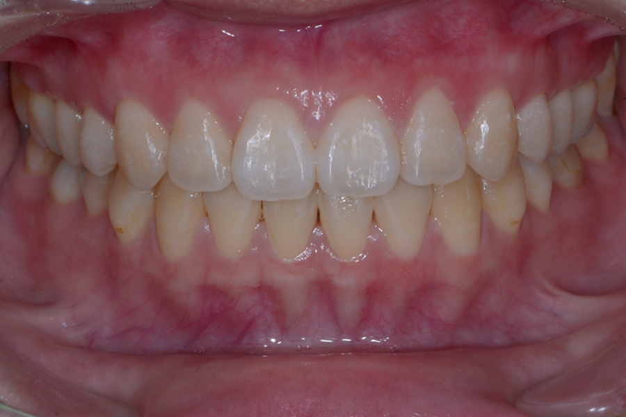
当院での矯正治療症例
矯正治療の流れ
- 問診・カウンセリング 患者さんのお悩みや、ご不安などをしっかり時間をかけてお伺いいたします。
- 検査 症状のある箇所を確認させていただいた後に、保険診療の範囲内で各種検査(パノラマ撮影、歯周基本検査等)を行っていきます。検査結果を基にどのような治療が必要なのか等を患者さんが納得できるまで丁寧にご説明します。
- 矯正治療計画のご説明 検査結果をもとに、治療費用、治療期間など丁寧にご説明いたします。少しでもご不明な点がございましたら、お気軽にご相談ください。
- 矯正治療開始治療内容によって数種類の装置を装着します。装置をつけた直後は食べづらかったりある程度の痛みがあります。歯磨きもしづらくなるので注意が必要です。 歯を動かし始めたら月に1度程度来院していただき、ワイヤーの調整や歯の動きの確認をしていきます。治療期間は6ヶ月~18ヶ月とケースによって異なります。
- 矯正治療終了後
- メンテナンス 矯正修了後も当院に定期的に通院していただき定期的な口腔衛星を保つため健康的な口腔環境を維持できるようにサポートさせて頂きます。ブラッシング指導をはじめ、フッ素塗布などを行いながら良好な状態を維持します。
- 保定期間 後戻り防止のためにリテーナーを装着していただきます。どの矯正治療においてもリテーナーを装着することが重要になります。



















