すきっ歯を治したい方へ
「すきっ歯」について
なんだか歯と歯の間があいて見える…
それ、すきっ歯かもしれません
笑ったとき、前歯のすき間がちょっと気になる。
そんな風に感じたこと、ありませんか?
いわゆる「すきっ歯」は、歯と歯の間にすき間がある状態を指し、専門的には「空隙歯列」や「正中離開」と呼ばれます。特に目立ちやすいのが上の前歯で、気にして笑顔に自信を持てなくなるという声もよく耳にします。
それだけじゃありません。「食べ物がよく挟まる」「滑舌が悪くなった気がする」といった困りごとを感じている方も少なくないのです。
どうしてすきっ歯になるの?原因はひとつじゃありません
すきっ歯の原因には、生まれつきのものもあれば、日々のクセや生活習慣から生じるものもあります。
たとえば、歯が小さい、顎が大きいといった体質の影響。これらは歯並び全体にスペースができやすく、すき間が目立ってしまうことがあります。
一方で、舌で歯を押してしまうクセや、指しゃぶりが長く続いた場合なども、歯の位置をゆっくりずらしてしまいます。大人の場合でも、抜歯後の放置や歯周病による歯の移動で、すきっ歯が進行するケースがあるので注意が必要です。
すきっ歯がもたらすのは、見た目だけじゃありません
見た目の印象に大きく関わるのはもちろんですが、それだけでは済まないのがすきっ歯の厄介なところです。
まず、食べ物が挟まりやすい。
歯と歯のすき間に汚れがたまりやすくなり、虫歯や歯周病のリスクが上がってしまうことも。
それから意外と多いのが、発音のしづらさ。とくに「サ行」や「タ行」の音で空気がもれて、話しにくさを感じる人もいらっしゃいます。「なんだか声が通らない」「聞き返されることが増えた」そんな違和感の裏に、すきっ歯が潜んでいることもあるんです。
気になりだすと止まらない。それがすきっ歯
最初はちょっとした違和感だったのに、気づけば鏡を見るたびに目がいってしまう。
笑顔がぎこちなくなったり、口を開くのが億劫になったり。実はすきっ歯って、それくらい気持ちに影響するものなのです。
でも、もし今あなたが「どうにかしたい」と思っているなら――解決できる方法、あります。
すきっ歯の治療にはいくつかの選択肢がありますが、当院では1日で改善が可能な「ダイレクトボンディング治療」のご相談も承っています。
「短期間で目立たなくしたい」「まずは話を聞いてみたい」そんな方でも大丈夫。
どうぞお気軽にご相談ください。あなたの笑顔を、取り戻すお手伝いをさせていただきます。
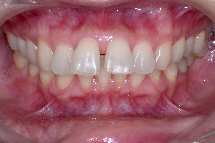
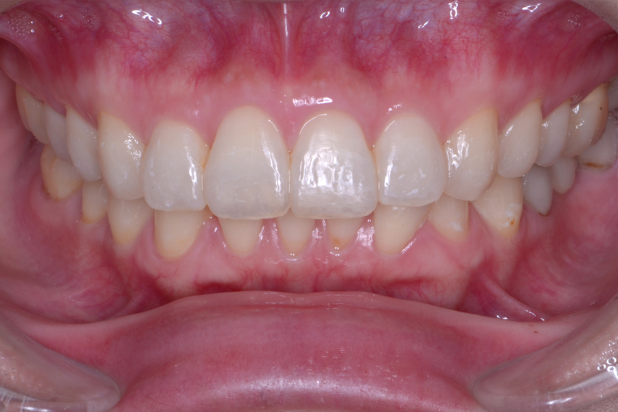
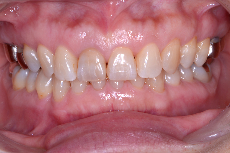
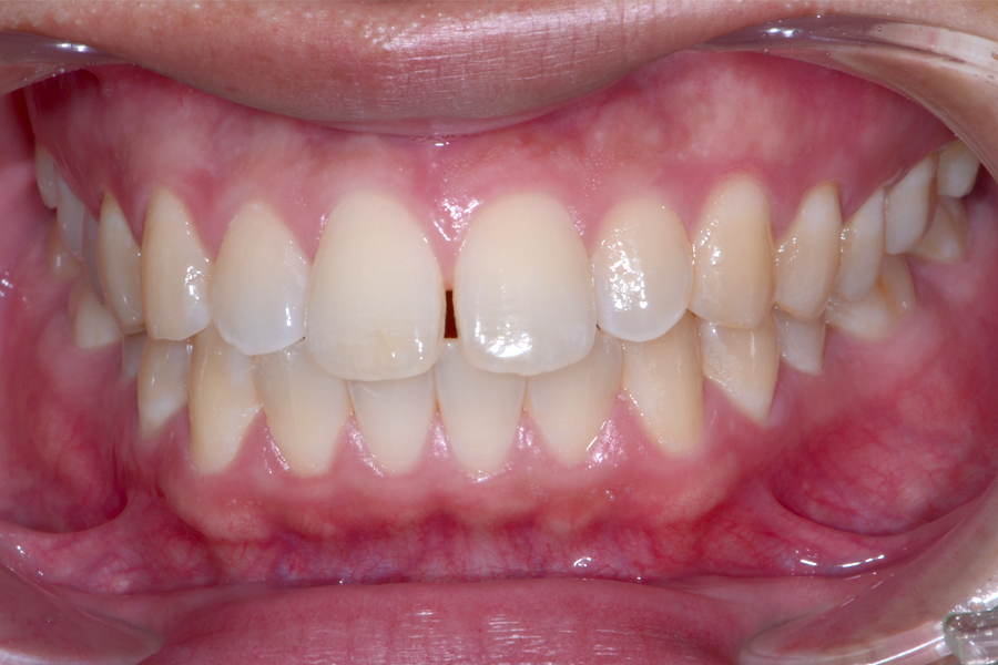
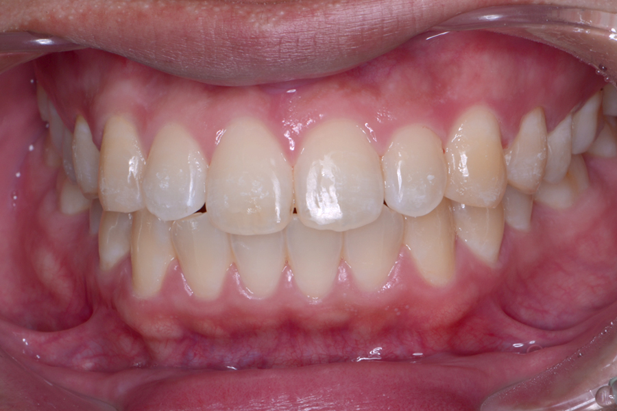
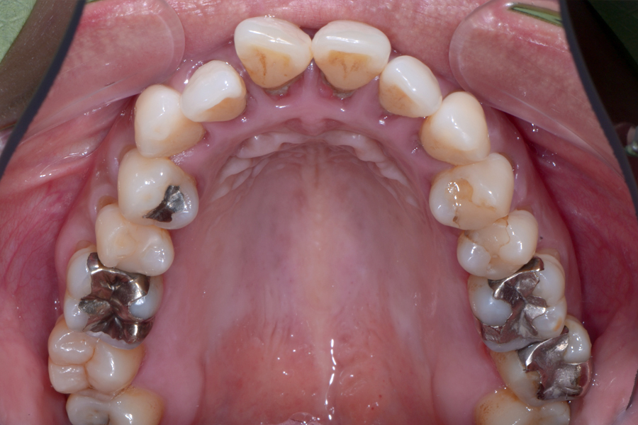
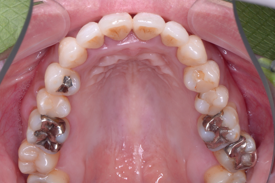
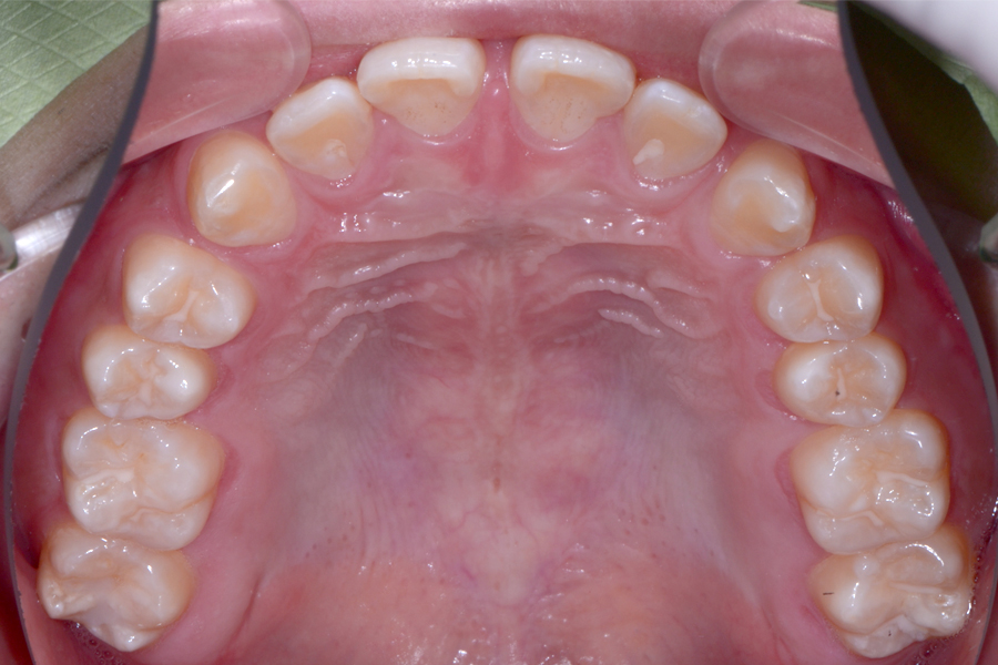
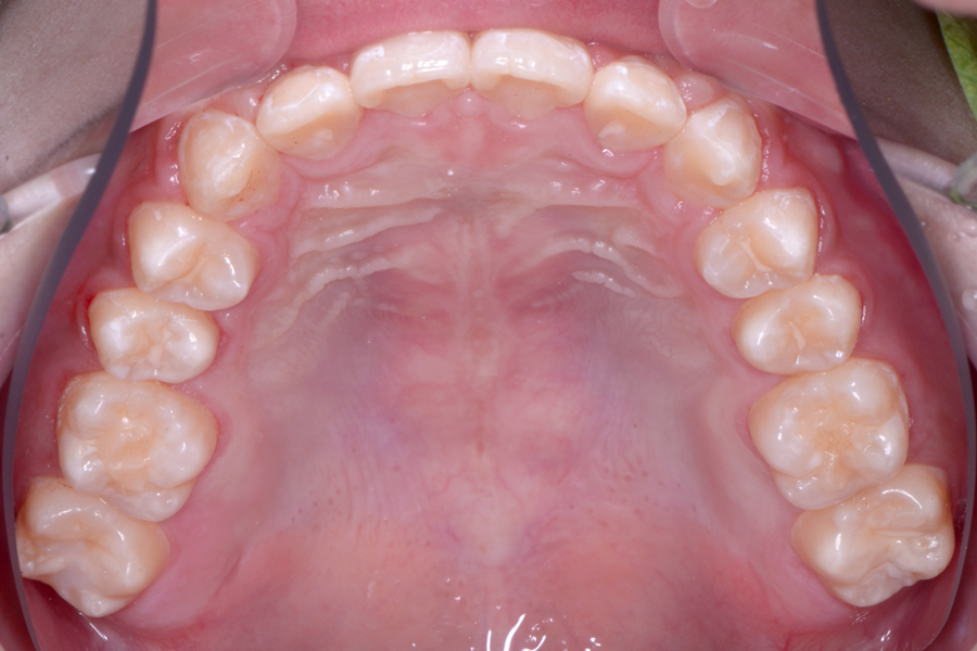
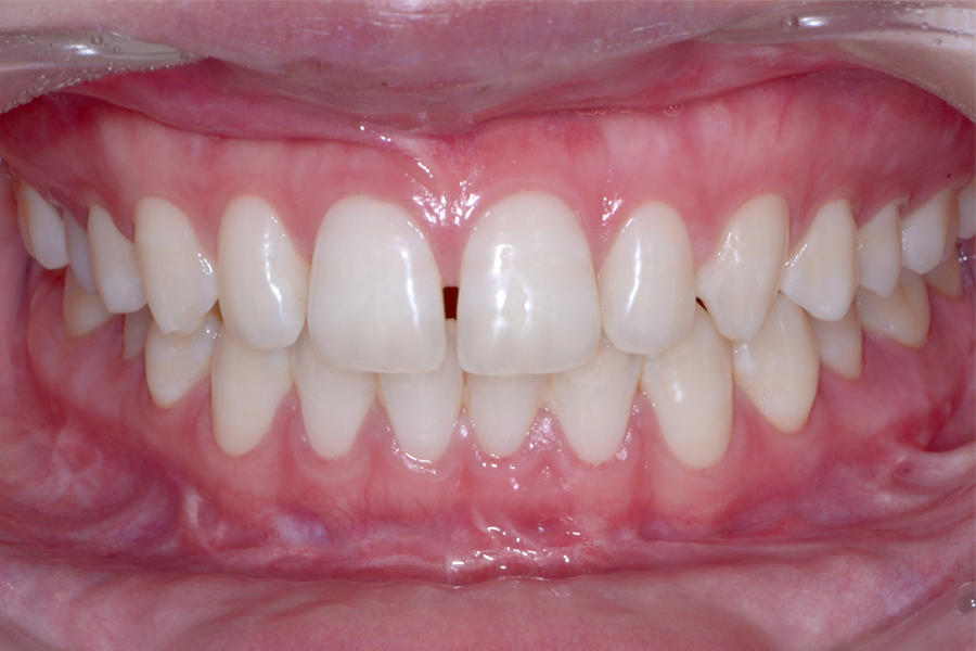
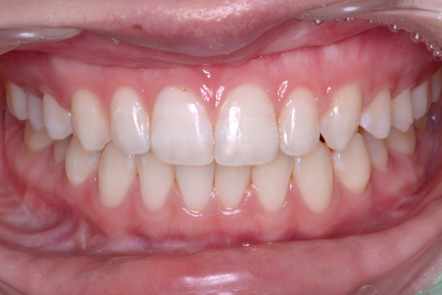
当院でのすきっ歯治療症例
矯正治療の流れ
- 問診・カウンセリング 患者さんのお悩みや、ご不安などをしっかり時間をかけてお伺いいたします。
- 検査 症状のある箇所を確認させていただいた後に、保険診療の範囲内で各種検査(パノラマ撮影、歯周基本検査等)を行っていきます。検査結果を基にどのような治療が必要なのか等を患者さんが納得できるまで丁寧にご説明します。
- 矯正治療計画のご説明 検査結果をもとに、治療費用、治療期間など丁寧にご説明いたします。少しでもご不明な点がございましたら、お気軽にご相談ください。
- 矯正治療開始治療内容によって数種類の装置を装着します。装置をつけた直後は食べづらかったりある程度の痛みがあります。歯磨きもしづらくなるので注意が必要です。 歯を動かし始めたら月に1度程度来院していただき、ワイヤーの調整や歯の動きの確認をしていきます。治療期間は6ヶ月~18ヶ月とケースによって異なります。
- 矯正治療終了後
- メンテナンス 矯正修了後も当院に定期的に通院していただき定期的な口腔衛星を保つため健康的な口腔環境を維持できるようにサポートさせて頂きます。ブラッシング指導をはじめ、フッ素塗布などを行いながら良好な状態を維持します。
- 保定期間 後戻り防止のためにリテーナーを装着していただきます。どの矯正治療においてもリテーナーを装着することが重要になります。



















