受け口
受け口・反対咬合について
受け口・反対咬合とは?
いわゆる「受け口」は、専門的には「反対咬合」と呼ばれる状態で、下の歯が上の歯よりも前に出ている噛み合わせのことを指します。見た目にも分かりやすく、顎がしゃくれて見えたり、口元が前に突き出して見えることも。さらに、噛み合わせが悪いことで「サ行」の発音がしづらくなったり、英語の発音が不明瞭になるといった影響もあります。
見た目のコンプレックスから人前で口を開けるのをためらうようになったり、自己肯定感に影響を及ぼすケースも珍しくありません。放っておくと、発音や食事のしづらさだけでなく、顎関節症や姿勢の歪みなど、身体全体に影響が及ぶこともあるため、早めの対処が大切です。
「反対咬合」と「しゃくれ」はどう違うの?
「反対咬合」と「しゃくれ」は同じように扱われがちですが、実は別の意味を持つ言葉です。反対咬合は噛み合わせの異常を指すのに対し、しゃくれは下顎そのものが前に出ている見た目の状態を指します。
つまり、反対咬合が原因でしゃくれて見えることもあれば、噛み合わせに問題がなくても下顎の骨格によってしゃくれて見えるケースもあるのです。見た目だけでは判断が難しいため、正確な診断を受けることが治療の第一歩となります。
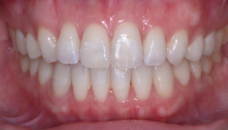
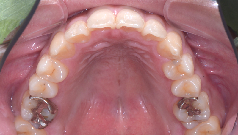
当院での矯正治療症例
矯正治療の流れ
- 問診・カウンセリング 患者さんのお悩みや、ご不安などをしっかり時間をかけてお伺いいたします。
- 検査 症状のある箇所を確認させていただいた後に、保険診療の範囲内で各種検査(パノラマ撮影、歯周基本検査等)を行っていきます。検査結果を基にどのような治療が必要なのか等を患者さんが納得できるまで丁寧にご説明します。
- 矯正治療計画のご説明 検査結果をもとに、治療費用、治療期間など丁寧にご説明いたします。少しでもご不明な点がございましたら、お気軽にご相談ください。
- 矯正治療開始治療内容によって数種類の装置を装着します。装置をつけた直後は食べづらかったりある程度の痛みがあります。歯磨きもしづらくなるので注意が必要です。 歯を動かし始めたら月に1度程度来院していただき、ワイヤーの調整や歯の動きの確認をしていきます。治療期間は6ヶ月~18ヶ月とケースによって異なります。
- 矯正治療終了後
- メンテナンス 矯正修了後も当院に定期的に通院していただき定期的な口腔衛星を保つため健康的な口腔環境を維持できるようにサポートさせて頂きます。ブラッシング指導をはじめ、フッ素塗布などを行いながら良好な状態を維持します。
- 保定期間 後戻り防止のためにリテーナーを装着していただきます。どの矯正治療においてもリテーナーを装着することが重要になります。



















