【30代女性】
一本だけ捻じれてる歯も含めて
全体的に前歯を引っ込めたい
【矯正歯科治療】
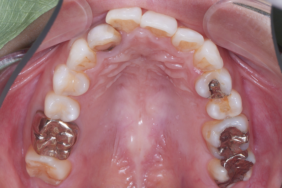
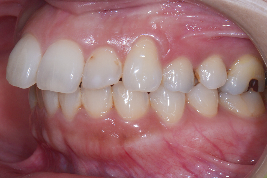
-
治療前
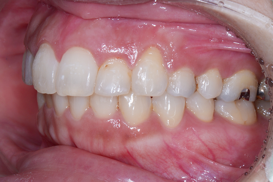
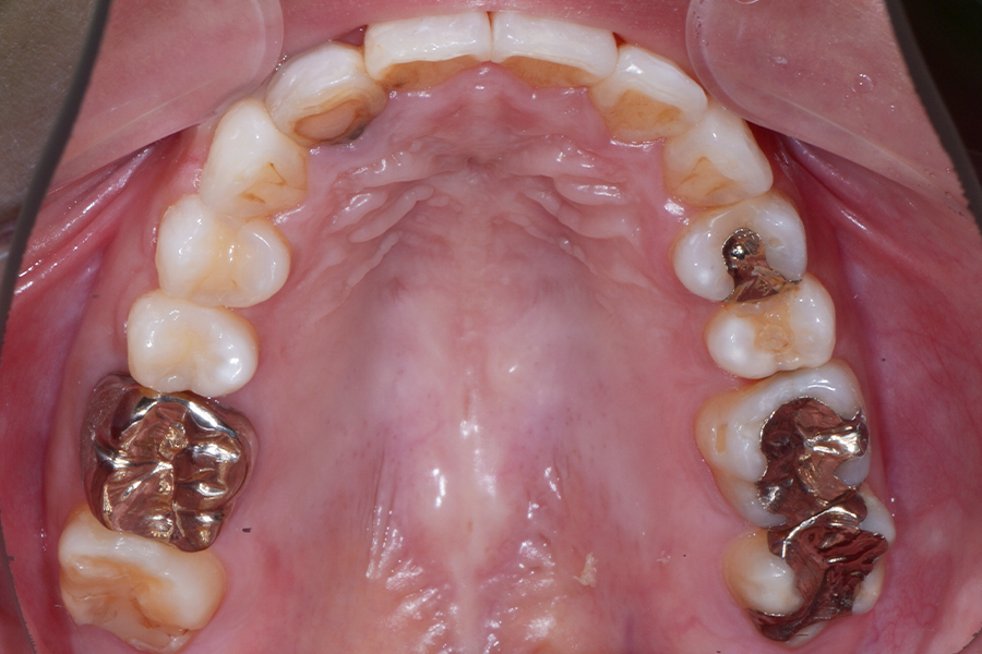
-
治療後
-
治療前
-
治療後
-
治療前
-
治療後
| 担当医 | 三留先生 |
|---|---|
| 主訴 | 一本だけ捻じれてる歯も含めて全体的に前歯を引っ込めたい |
| 期間 | 治療期間 8か月 |
| 費用 | 治療費20万(別途調整料) デンタルローン30回 ¥7,700/月 |
| 治療内容 | 上顎ラビアル矯正(表側矯正) |
| 治療に伴うリスク | 後戻り |



















