一本だけ隠れている歯を治したい
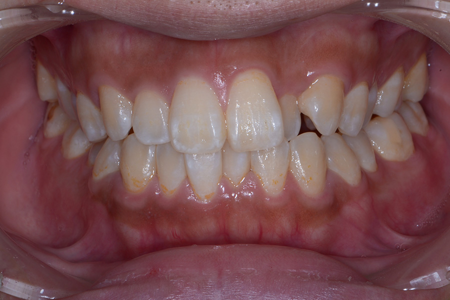
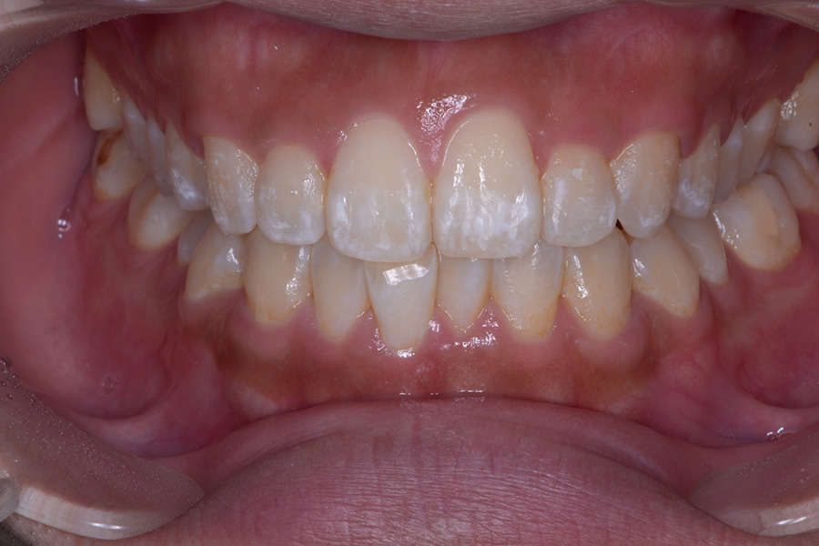
【20代男性】一本だけ隠れている歯を治したい
- 担当医
- 三留先生
- 主訴
- 一本だけ隠れている歯を治したい
- 期間
- 12か月
- 費用
- 20万(別途調整料)
デンタルローン70回 ¥3300/月
- 治療内容
- 上顎ラビアル矯正(表側矯正)
- 治療に伴うリスク
- 後戻り


一般歯科・矯正歯科「 エムデンタルオフィス」は五反田駅から徒歩1分の歯科医院です。
なるべく削らない・やり直しのない精密治療・痛くない丁寧な治療を行なっています。
五反田で歯医者をお探しならお気軽にご相談ください。