【30代女性】
一本だけ捻じれてる歯も含めて
全体的に前歯を引っ込めたい
【矯正歯科治療】
- 担当医
- 三留先生
- 主訴
- 一本だけ捻じれてる歯も含めて全体的に前歯を引っ込めたい
- 期間
- 治療期間 8か月
- 費用
- 治療費20万(別途調整料)
デンタルローン30回 ¥7,700/月
- 治療内容
- 上顎ラビアル矯正(表側矯正)
- 治療に伴うリスク
- 後戻り
【20代女性】
上の歯だけガタツキを治したい
【矯正歯科治療】
- 担当医
- 三留先生
- 主訴
- 上の歯だけガタツキを治したい
- 期間
- 治療期間 7か月
- 費用
- 治療費20万(別途調整料)
デンタルローン35回 ¥6,600/月
- 治療内容
- 上顎ラビアル矯正(表側矯正)
- 治療に伴うリスク
- 後戻り
【20代女性】
裏側矯正で目立たないように前歯を引っ込めたい
【矯正歯科治療】
- 担当医
- 三留先生
- 主訴
- 裏側矯正で目立たないように前歯を引っ込めたい
- 期間
- 治療期間9か月
- 費用
- 治療費35万(別途調整料)
デンタルローン75回 ¥5,400/月
- 治療内容
- 上顎リンガル矯正(裏側矯正)
- 治療に伴うリスク
- 後戻り
【30代女性】
前歯の段差と咬み合わせを
治したい
【矯正歯科治療】
- 担当医
- 三留先生
- 主訴
- 前歯の段差と咬み合わせを治したい
- 期間
- 治療期間 7か月
- 費用
- 治療費20万(別途調整料)
デンタルローン75回 ¥3,100/月
- 治療内容
- 上顎ラビアル矯正(表側矯正)
- 治療に伴うリスク
- 後戻り
【30代女性】
出っ歯とすきっ歯を
両方治したい
【矯正歯科治療】
【20代女性】
仮歯を外して自分の歯を
前に出したい
【矯正歯科治療】
- 担当医
- 三留先生
- 主訴
- 仮歯を外して自分の歯を前に出したい
- 期間
- 治療期間6か月
- 費用
- 治療費20万(別途調整料)
デンタルローン65回 ¥3,500/月
- 治療内容
- 上顎ラビアル矯正(表側矯正)
- 治療に伴うリスク
- 後戻り
【30代女性】
下の歯だけ引っ込めて段差を綺麗にしたい
【矯正歯科治療】
- 担当医
- 三留先生
- 主訴
- 下の歯だけ引っ込めて段差を綺麗にしたい
- 期間
- 治療期間6か月
- 費用
- 治療費20万(別途調整料)
デンタルローン50回 ¥4,600/月
- 治療内容
- 下顎ラビアル矯正(表側矯正)
- 治療に伴うリスク
- 後戻り
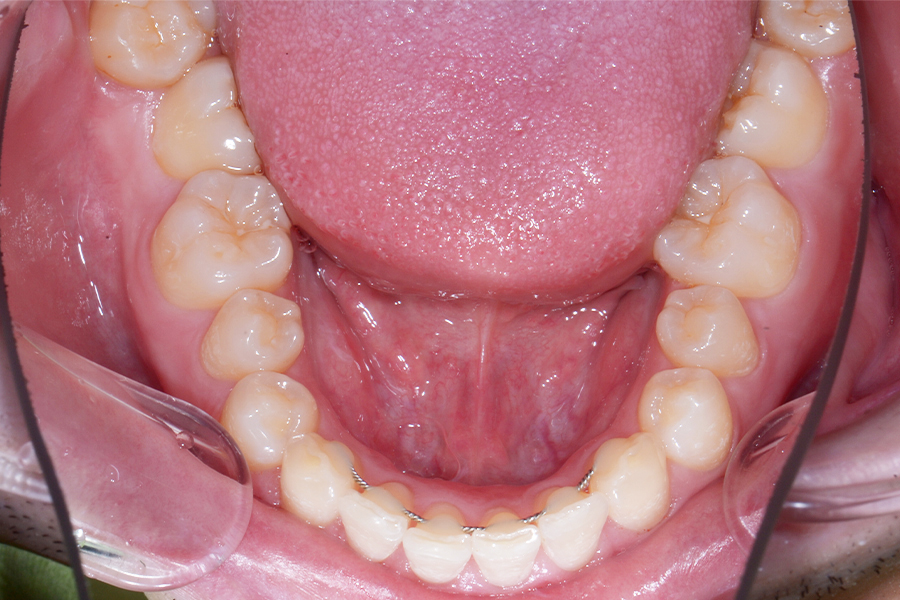
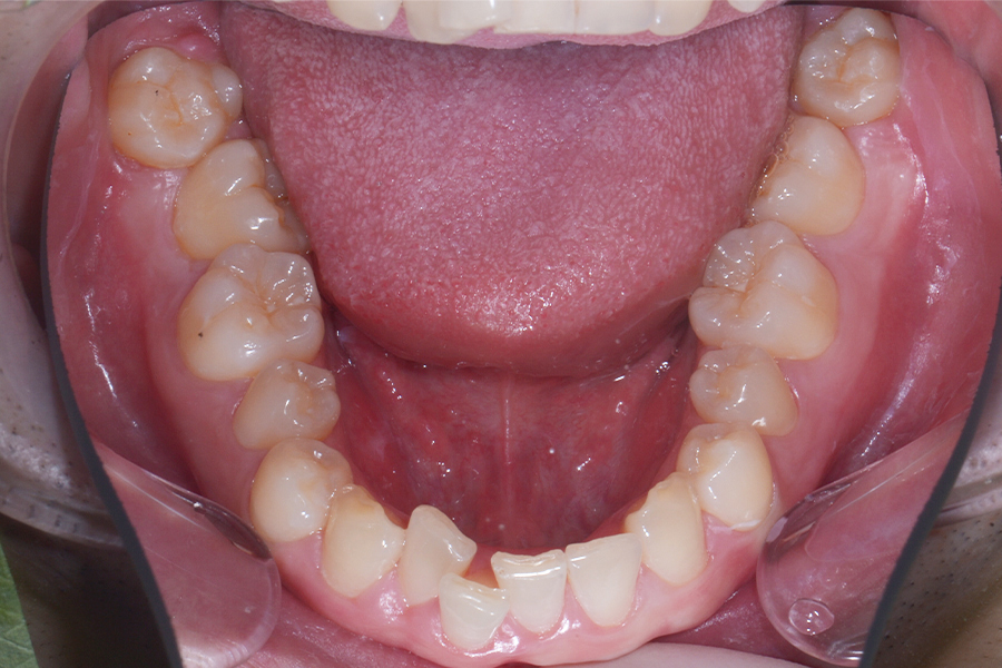
【20代女性】
下の歯の捻じれて飛び出している歯を引っ込めたい
【矯正歯科治療】
- 担当医
- 三留先生
- 主訴
- 下の歯の捻じれて飛び出している歯を引っ込めたい
- 期間
- 治療期間 6か月
- 費用
- 治療費20万(別途調整料)
デンタルローン50回 ¥4,600/月
- 治療内容
- 下顎ラビアル矯正(表側矯正)
- 治療に伴うリスク
- 後戻り
【30代女性】
すきっ歯の隙間を
無くしたい
【矯正歯科治療】
- 担当医
- 三留先生
- 主訴
- すきっ歯の隙間を無くしたい
- 期間
- 治療期間 8か月
- 費用
- 治療費20万+20万(別途調整料)
デンタルローン60回 ¥7,700/月
- 治療内容
- 上下顎ラビアル矯正(表側矯正)
- 治療に伴うリスク
- 後戻り
【20代女性】
捻じれて前に出ている歯を
綺麗に並べたい
【矯正歯科治療】
- 担当医
- 三留先生
- 主訴
- 捻じれて前に出ている歯を綺麗に並べたい
- 期間
- 治療期間 8か月
- 費用
- 治療費20万(別途調整料)
デンタルローン70回 ¥3,300/月
- 治療内容
- 上顎ラビアル矯正(表側矯正)
- 治療に伴うリスク
- 後戻り



















