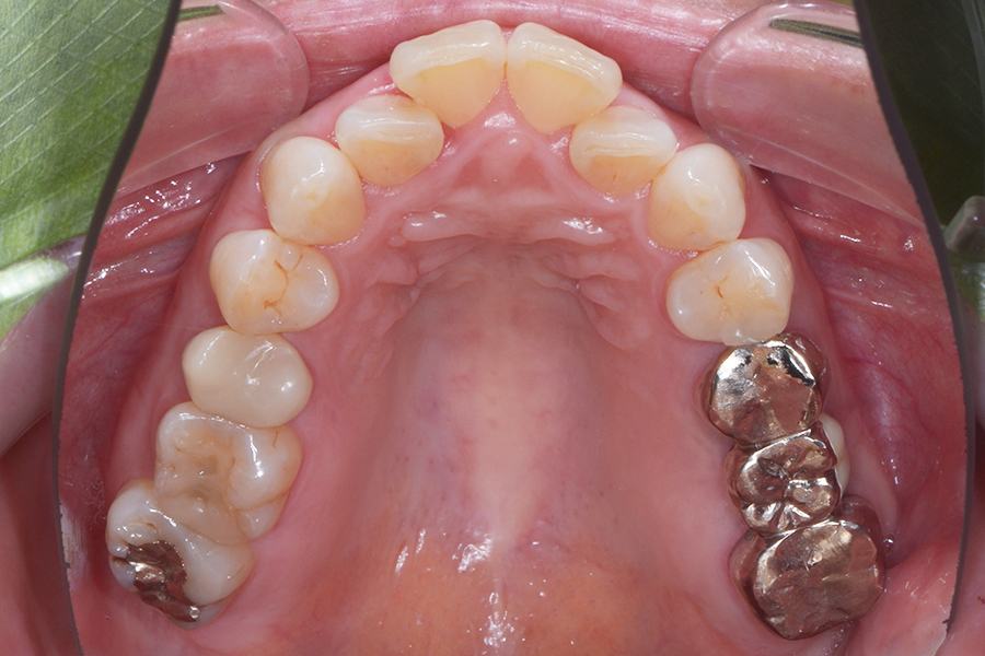
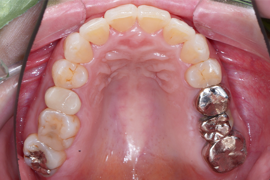
引っ込んでいる歯が気になる
【40代女性】
飛び出た歯と
引っ込んでいる歯を並べたい
【矯正歯科治療】
- 担当医
- 三留先生
- 主訴
- 飛び出た歯と引っ込んでいる歯を
並べたい
- 期間
- 治療期間9か月
- 費用
- 治療費20万(別途調整料)
※デンタルローン70回 ¥3,300/月
- 治療内容
- 上顎ラビアル矯正(表側矯正)
- 治療に伴うリスク
- 後戻り
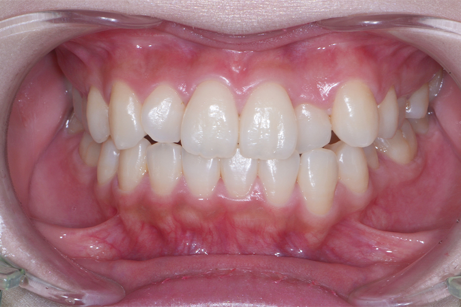
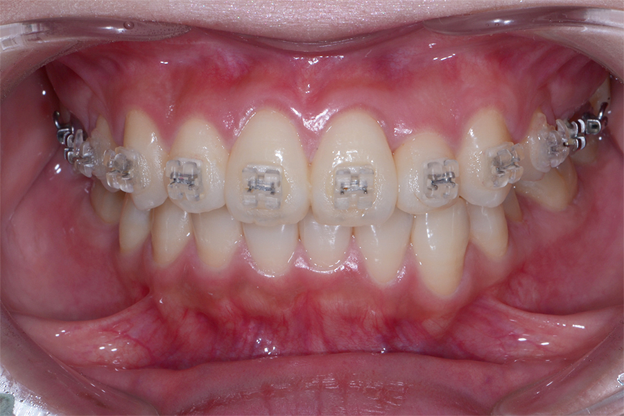
【30代女性】
引っ込んで捻じれてる歯を
綺麗にしたい
【矯正歯科治療】
- 担当医
- 三留先生
- 主訴
- 引っ込んで捻じれてる歯を
綺麗にしたい
- 期間
- 治療期間8か月
- 費用
- 治療費20万(別途調整料)
※デンタルローン70回 ¥3,300/月
- 治療内容
- 上顎ラビアル矯正(表側矯正)
- 治療に伴うリスク
- 後戻り



